2024.11.16 - [공부방/심장] - 혈압이 높다면 응급실에 가야 하나요?
혈압이 높다면 응급실에 가야하나요?
혈압이 높다며 응급실을 방문하는 경우가 있습니다. 이런 분들의 경우 대부분 본인의 증상보다는 혈압 수치, 즉 숫자가 얼마인데 하면서 응급실을 방문하게 되는 경우가 대부분입니
emdoc1988.tistory.com
이번 포스팅에선 응급실에서 보는 고혈압과 관련된 응급 상황에 대해 공부하며, 어떤 경우 응급실에 방문해야 하는지 알아보도록 하자!
#. 고혈압 위기(Hypertension Crisis)
- 일시적으로 혈압이 높은 것이 아닌, 어떤 질병 상태가 동반되거나 동반될 가능성이 높은 상황을 의미한다.
- 말단장기의 손상(End-organ damage) 여부에 따라 hypertensive emergency와 urgency로 구분하게 된다.
- 성인의 고혈압의 분류

1. Hypertensive emergency
- 급성기 고혈압 소견(SBP > 180 mmHg or DBP > 120mmHg)과 함께 말단 장기의 손상(end-organ damage)이 동반된 경우
- 위에서 언급된 말단 장기(end-organ): 뇌(brain), 심장(heart), 대동맥(aorta), 신장(kidneys), 눈(eyes) 등
- 아래 표에서 고혈압 응급 상황에 해당하는 질환들이 나열되어 있다.
- acute aortic dissection(급성 대동맥 박리), acute pulmonary edema(급성 폐부종), acute myocardial infarction(급성 심근경색), acute coronary syndrome(급성 관상동맥 증후군), acute renal failure(급성 신부전), severe pre-eclampsia/eclampsia(심한 전자간증/임신중독증), hypertensive retinopathy(고혈압성 망막병증), hypertensive encephalopathy(고혈압성 뇌병증), subarachnoid hemorrhage(SAH, 거미막하출혈), intracranial hemorrhage(두개내출혈), acute ischemic stroke(급성 허혈성 뇌졸중), acute perioperative hypertension(수술 전후 고혈압), sympathetic crisis(교감신경 위기)
- 고혈압 응급에 해당하는 소견이 보인다면, 약물을 통한 혈압 조절이 필요하다.

2. Hypertensive urgency **
- 논란이 있는 용어.
- 말단 장기의 손상이 없으면서 혈압이 높은 상황을 지칭함.
- 약물을 사용하여 혈압 강하를 유도할 수 있으나, 이에 대한 효과 및 이득은 입증되지 않음.
- 장기적인 관리를 위해 병원 및 의료기관의 재방문이 필요.
- **대부분 혈압이 높다며 걱정을 하며 응급실에 내원하는 환자들은 이 상황에 해당한다고 볼 수 있다.
#. Pathophysiology
- 만성적인 혈압의 상승은 말단 장기 및 혈관의 생화학적, 구조적 특성에 영향을 주어 장기적으로 조직의 적절한 관류를 도달하기 위해선 더 높은 혈압을 필요하로 하게 된다.
- 혈압의 상승은 혈관벽의 기계적 스트레스를 증가시키고, 혈관의 내피세포의 손상을 유발하게 된다.
- 이는 뇌, 심장, 신장과 같은 말단 조직에서 혈관-조직 사이 투과도를 증가시키고, hyperperfusion(과관류)를 유발하게 되며, 그 결과로 혈관 내 혈소판, 섬유질 등의 응집을 유발하고 미세동맥들의 손상을 야기하게 된다.
- 여기에 고혈압으로 인해 RAS(Renin-Angiotensin System)의 활성화로, vasoconstriction(혈관수축)이 유발되며, natriuretic peptide의 분비량도 늘어 이뇨작용으로 혈장량 또한 부족해지고 이는 다시 신장으로 향하는 혈관의 수축을 유발하는 악순환 고리를 형성하는 결과를 초래한다.
- 따라서 말단 장기의 저관류(hypoperfusion), 허혈(ischemia), 기능저하(dysfuction) 등이 생기고 만성화된 장기 기능의 악화를 유발한다.
#. 혈압의 측정
1. 혈압 측정 방법
- 환자는 조용하고 안정된 상태에서 짧은 시간 간격을 갖고 혈압을 측정하게 된다.
- 양측 팔에서 혈압을 측정하길 권고한다.
- 고혈압 약을 사용하기 전 적어도 수차례 혈압을 측정하고, 그래도 혈압이 높다면 혈압약을 사용하도록 한다.
2. 양팔에서 측정한 혈압이 다르다면?
- 양팔에서의 혈압을 측정한 결과 값의 차이가 크다면 대동맥 박리(aortic dissection), 대동맥 협착(coarctation of aorta), 말초혈관질환(peripheral artery disease) 등의 가능성이 있다.
- 그 차이에 대한 정확한 기준은 제시되어 있지 않으나, 대략 10~20 mmHg 이상의 혈압차이를 보인다면, 의미 있는 수준으로 생각한다.
- 반면, 노인 인구에서는 특정 혈관의 죽상동맥경화 상태에 따라 양팔의 혈압에 큰 차이를 보이기도 한다.
- 양팔의 혈압차가 존재한다면, 높은 혈압을 기준으로 혈압 치료를 고려해야 하며, 약물에 대한 반응 역시 동일한 팔에서 측정한 혈압을 가지고 평가해야 한다.
Q. 혈압이 높아 걱정이 된다. 그렇다면 언제 응급실에 가야 하는가?
A-1. 혈압이 높은데, 가슴이 아픈 경우
- 흉통을 호소하는 심한 고혈압 환자는 심근경색과 같은 급성 관상동맥 질환 및 대동맥 박리와 관련된 상황일 수 있다.
- 수시간 이내 갑자기 죽을 수 있는 병인 대동맥 박리(aortic dissection)를 감별하는 것이 중요하다.
- anticoagulation을 하는 환자에서 aortic dissection이 발생하는 경우는 사망 가능성이 매우 높아진다.
- aortic dissection의 경우 '갑작스러운' 통증 발현, '찢어지는 듯한 통증 호소
| 진단 | 징후 및 증상 | 진단을 위한 근거 |
| Acute aortic dissection | 찢어지는 듯한 흉통, 등 통증 양팔에서 측정한 혈압의 차이를 보이는 경우 |
혈관 조영 CT 또는 경식도 심장초음파 |
| Acute myocardial infarction/Acute coronary syndrome | 흉통, 오심, 구토, 발한 | 심전도 변화 또는 혈액검사를 통한 심근효소 수치의 상승 |
| Acute pulmonary edema | 호흡곤란, 흉부 불편감 | 흉부 x ray, CT 상 보이는 폐부종 소견 |
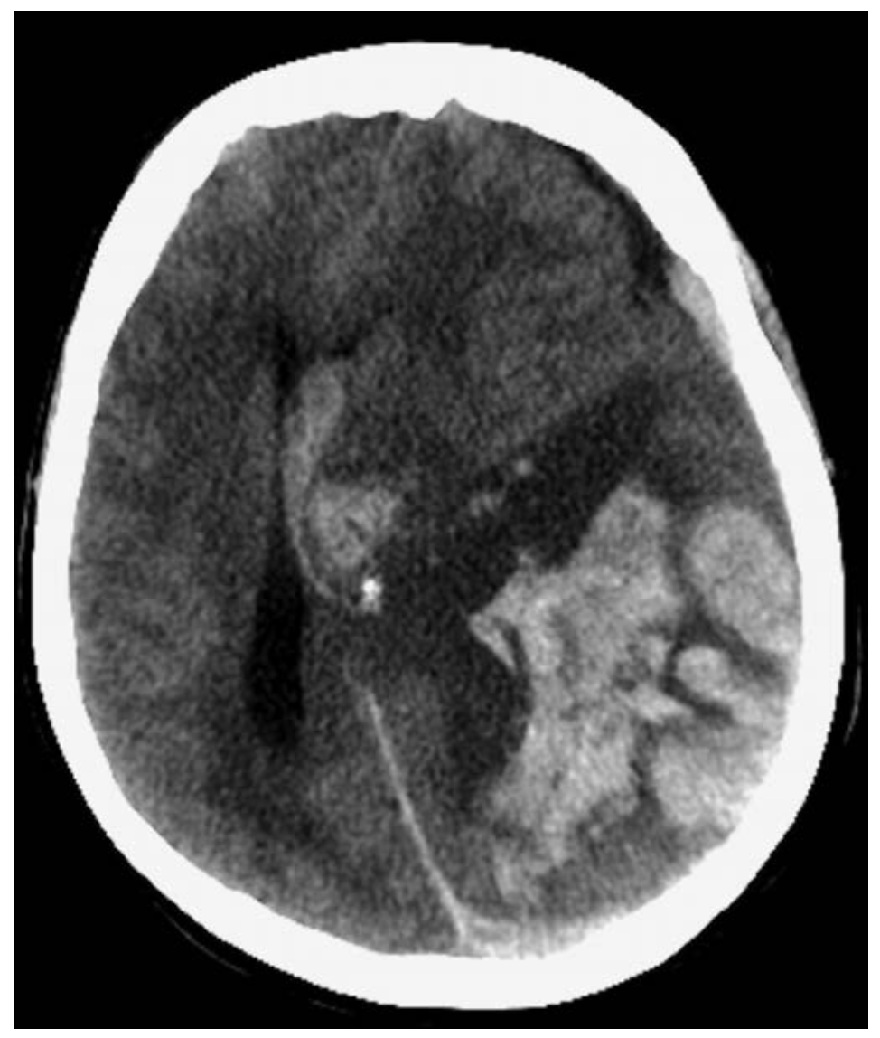
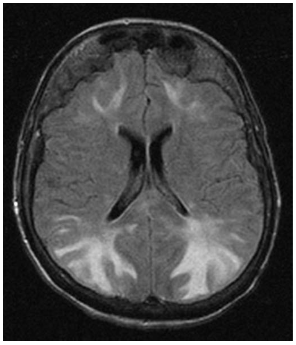
A-2. 혈압이 높은데, 심한 두통 또는 신경학적 이상소견을 보이는 경우
- 심한 두통과 함께 신경학적 증상을 호소하는 경우 허혈성 또는 출혈성 뇌졸중과 관련이 있을 수 있다.
- hypertensive encephalopathy : 임상진단으로 심한 고혈압을 보이는 환자에서 의식변화, 두통, 구토, 경련, 시야 장애가 있는 경우 의심할 수 있으며, 다른 가능성 있는 진단들을 배제하여 진단하게 된다. 안저검사에서 papilledema(유두부종) 소견을 보이며, MRI 검사를 시행하였을 때 주로 대뇌 후두부(occipital lobe) 쪽으로 부종 소견이 보이며, 이를 posterior reversible encephalopathy syndrome(PRES)라고 한다.
| 진단 | 징후 및 증상 | 진단을 위한 근거 |
| Intracranial hemorrhage / subarachnoid hemorrhage |
두통, 신경학적 이상, 심할 경우 의식 저하 | brina CT, 경미한 subarachnoid hemorrhage의 경우 요추천자를 통해 진단 |
| acute ischemic stroke | 두통 보다는 신경학적 이상 소견을 주로 보임 | brain MR or CT |
| hypertensive encephalopathy | 의식 변화, 오심/구토, 두통 | 안저검사 이상 소견(papilledema/anterior hemorrhage/exudate), brain MRI |
| hypertensive retinopathy | 흐린 시야 |


A-3. 혈압이 높은데, 몸이 붓고 소변량이 줄어든 경우
- 오랜 고혈압의 결과로 신부전이 발생한 경우인데, 임계점을 넘은 신손상의 소견으로 비교적 짧은 시간에 급격한 신장기능의 저하를 동반할 수 있다.
- 새로 진단된 신부전(renal failure)의 소견으로 말단 부종, 소변량 감소, 식욕부진, 오심과 구토, 혼돈 등의 증상을 보이게 된다.
- 일부 환자에서는 별다른 증상을 보이지 않는 경우를 보이기도 한다.
| 진단 | 징후 및 증상 | 진단을 위한 근거 |
| Acute renal failure | 몸의 부종, 소변량 감소, 식욕부진, 오심/구토, 혼돈, 호흡곤란 | 혈액검사 결과 creatinine 수치의 상승, 소변에서 보이는 단백뇨 |
A-4. 임신을 했는데, 혈압이 높은 경우 - preeclampsia and eclampsia(전자간증, 임신중독증)
- 임신 20주 이상의 임부에서 고혈압(SBP > 140, DBP > 90 mmHg) 소견을 보이며, 말단 장기의 손상 소견을 보이는 경우 전자간증(preeclampsia)을 의심할 수 있다. (단백뇨, 신손상, 혈소판감소증, 간수치 상승, 폐부종, 두통/시력장애)
- 전자간증 상태에서 경련을 하기도 하며, 이런 경우 임신중독증(자간증, eclampsia)으로 진단한다.
- 치료는 출산이며, 가능한 혈압을 조절하며 출산가능한 시기까지 임신을 유지하는 것이 목표가 된다.

A-5. 교감신경 항진 증상과 함께 나타나는 심한 고혈압
- 과도한 catecholamine 분비로 인해 고혈압성 위기가 초래된 경우 자율신경계의 과도한 자극에 의한 증상을 보이게 된다.
- 심계항진, 흉통, 발한, 불안, 초조, 두통 등 다양하고 복합적인 증상을 보이게 된다.
- 관련 질환 : pheochromocytoma(크롬친화세포종), sympathomimetic drugs(교감신경 유사체 약물), autonomic dysfuction(자율신경계 이상)
- pheochromocytoma는 드문 질환으로, 부신(adrenal gland)에 발생하는 종양이다. 아드레날린과 같은 체내 카테콜라민의 분비가 과다하게 이뤄져 과도한 혈관의 수축으로 심한 고혈압, 두통, 심계항진 등을 유발시키게 된다.
- sympathomimetic drugs으로 코카인, 암페타민과 같은 마약성 물질들로 인해 고혈압성 위기가 초래될 수 있다. 심계항진, 흉통, 의식변화, 발한. 등과 같은 증상이 동반된다.
- autonomic dysfuction은 척수신경 또는 극심한 두부손상 이후 발생 할 수 있다. 다른 상태에 비해 혈압이 경계성으로 높은 경우들이 있다.
'공부방 > 심장' 카테고리의 다른 글
| 급성 심근경색 케이스 (AMI case) (0) | 2025.04.25 |
|---|---|
| 심방세동( Afib, AF; Atrial Fibrillation)의 REVIEW ARTICLE (feat. JAMA) (0) | 2025.04.19 |
| 혈압이 높다면 응급실에 가야하나요? (4) | 2024.11.16 |
| 관상동맥 혈관조영술(CAG, Coronary angiography) 영상의 해석 (1) | 2024.11.06 |
| 심부전(heart failure)에서 중요한 약 - ARNI, SGLT2i (2) | 2024.11.02 |