술은 백해무익(百害無益)하다.
술을 마시게 되면, 뇌가 쪼그라들고 전두엽의 기능이 마비되어 정확한 상황판단을 하기 어려울 뿐만 아니라, 억제력이 떨어져 평소 하지 않을 만한 행동을 서슴지 않고 하게 된다. 또한 소뇌기능이 떨어지면서 균형을 잡기 어려울 뿐만 아니라 운동 실조로 인해 팔다리를 제 맘대로 움직이기 어렵게 된다.
술을 장기간 마시게 되면, 영양결핍이 생기는데
밥을 안먹고 술만 마시기 때문에 생기기도 하지만, 특정 영양소는 술로 인해 인체 흡수가 떨어지게 되면서 발생하기도 한다.
그 대표적인 영양소가 바로 티아민(thiamine)이라고 하는 비타민이다.
티아민은 비타민 B1으로, 다양한 에너지 대사에 중요한 역할을 하는 영양소이다.
이러한 대사 과정에 문제가 생겨 생기는 뇌병증이 있는데, 이를 베르니케 뇌병증(Wernicke encephalopathy)이라고 한다.
#. Wernicke ecephalopathy (베르니케 뇌병증)
Wernicke-Korsakoff syndrome(베르니케-코르사코프 증후군)은 thiamine(vitamin B1)의 결핍으로 인해 발생하는 신경학적 합병증을 동반하는 증후군이다.
초기에 생기는 신경증상을 Wernicke encephalopathy(베르니케 뇌병증)으로 부르고, 만성적으로 남는 신경 증상을 Korsakoff syndrome(코르사코프 증후군)이라고 한다.

※ Wernicke encephalopathy(베르니케 뇌병증)의 증상
- mental confusion : 급성기 의식 변화로, 섬망, 혼란, 기면 상태에서 느린 반응을 보이게 된다.
- ophthalmoplegia ( most commonly horizontal nystagmus and conjugate gaze palsies) : 안구운동의 마비나, 수평방향의 안구진탕이 생긴다.
- gait ataxia : 운동 실조로 인해 사지를 잘 사용하지 못하는 모습을 보이고 잘 걷지 못하게 된다.
※ Korsakoff syndrome의 증상
- memory impair : 기억력 손상으로 인해 건망증이 생기며, 기억의 등록은 물론 회상도 잘 되지 않는 global amnesia 소견을 보이게 된다.
- confabulation : 작화증으로 환자가 직접 경험하지 않은 일을 경험한 것처럼 말하고, 그렇게 믿는 증상
1. 원인
Thiamine 결핍으로 인한 대사 장애로 발생하며, 임상에서는 대부분은 술을 장기간 먹어온 알코올 의존증(중독증) 환자에서 생긴다.
하지만, 다음과 같은 질환이나 상황의 환자들에서는 영양결핍으로 인해 해당 증후군이 유발될 수 있다.
· 만성 알코올 섭취
· 거식증을 비롯한 정신과적 질환으로 섭식 장애가 있는 경우
· 임신으로 인한 과도한 입덧 증상 (hyperemesis of pregnancy)
· 정맥 주사를 통해 장기간 불충분한 영양공급을 받은 환자
· 굶주림, 오랜 단식, 불균형 식사로 비타민 공급을 받지 못한 경우
· 위장관계 질환 또는 수술(특히, 비만 수술 - bariatirc surgery)
· 암 질환
· 장기 이식환자
· 혈액 투석, 복막 투석 환자
· 후천적 면역결핍 증후군
2. 병태생리 (Pathophysiology)
- Thiamine은 에너지 대사에 있어서 여러 중요 효소들의 보조인자(cofactor)로 중요한 역할을 하며, 주로는 transketolase, alpha-ketoglutarate dehydrogenase, pyruvate dehydrogenase와 같은 효소들의 작용을 돕는 역할을 한다.
- Thiamine의 요구량은 대사의 속도와 관련 있는데, 대사 요구량이 높을 때와 포도당 섭취가 높아질 경우엔 이러한 대사의 속도가 빨라지고 더불어 thiamine에 대한 요구량도 높아진다.
- 베르니케 뇌병증에서 thiamine의 역할은 쥐실험에서 thiamine의 길항제인 pyrithiamine을 사용했을 때, 쥐가 운동실조, 경련등의 증상이 유발된 것으로 확인할 수 있었다.
- 만성 알코올 중독 환자(chrnoic heavy alcohol use)에서 thiamine 결핍은 1)부적절한 음식섭취는 물론, 2) 소화기계에서의 흡수도 떨어지고, 3)간에서의 저장능력도 감소에서 기인하며 4) thamine의 활용 능력 또한 감소하게 된다.
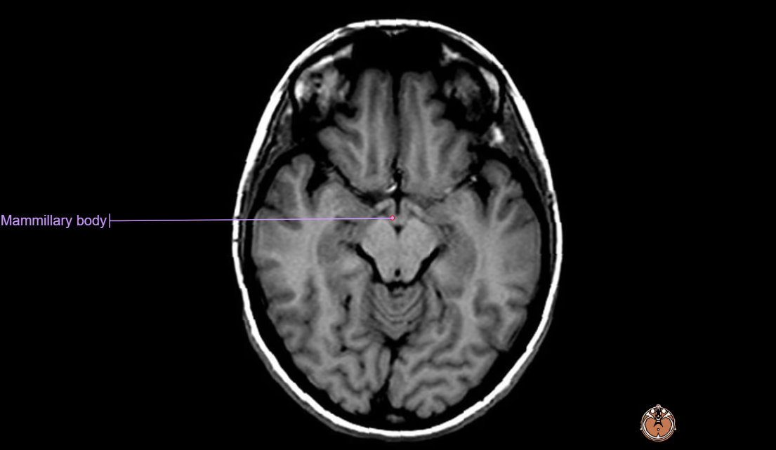
- 급성 베르니케 뇌병증의 병변은 vascular congestion(혈관 충혈), microglial proliferation(뇌 대식세포의 증식), petechial hemorrhage(점상 출혈)에 의해서 발생하며, 만성적으로는 demyelination(탈수초화), gliosis, neuropil의 소실로 이어지게 된다. 신경의 소실은 상대적으로 medial thalamus에서 현저히 발견되고, mamillary body의 위축은 베르니케 뇌병증, 코르사코프 증후군의 환자 최대 80%에서 확인되고 있다.
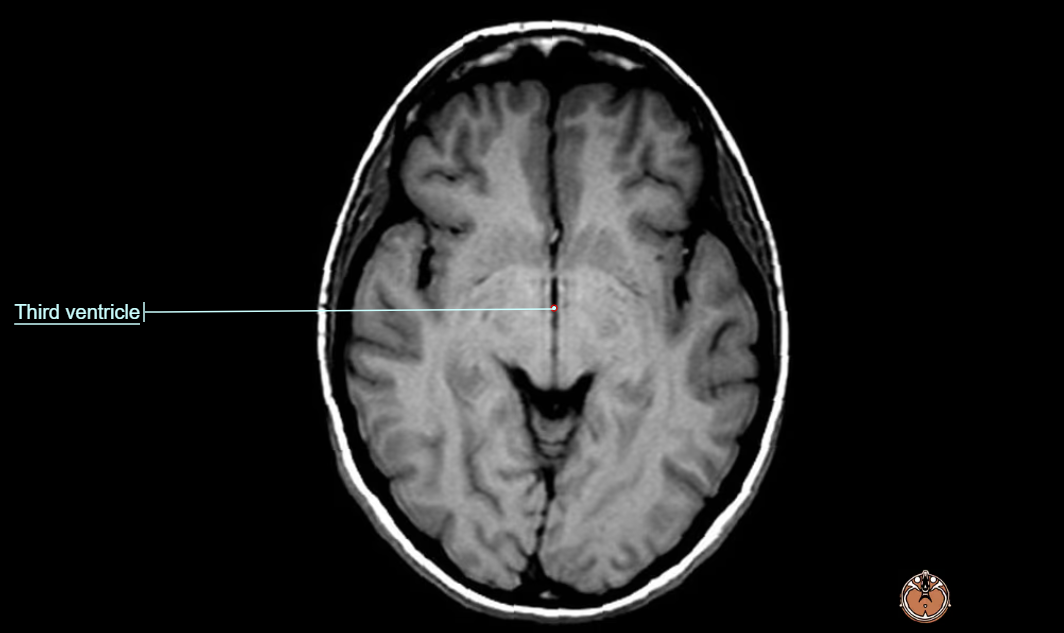
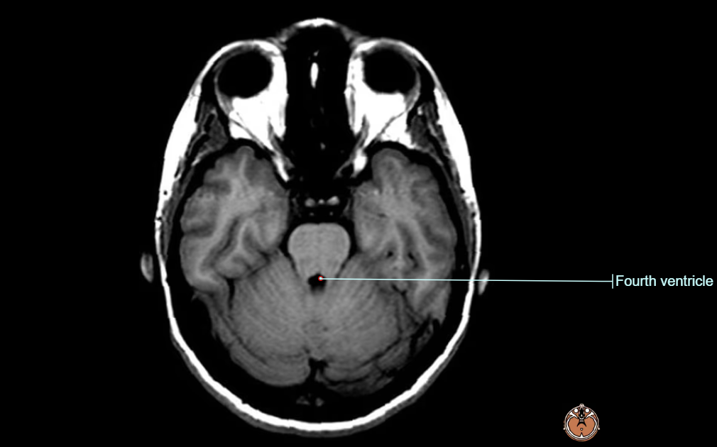
- 흔히 병변이 확인되는 구조물 : the 3rd ventricle, aqueduct, fourth ventricle, dorsomedial thalamus, locus ceruleus, peri-aqueductal gray, ocular motor nuclei, vestibular nuclei, fornices, septal region, hippocampus, cerebral cortex 등에서 보이며, 주로는 대칭적으로 확인된다.



3. 임상 증상
- classic triad of Wernicke encephalopathy
● Encephalopathy
● Oculomotor dysfunction
● Gait ataxia
- 베르니케 뇌병증은 위 3가지 증상을 기본으로 하며, 세 가지 증상이 비슷한 시기에 생기거나 운동실조(ataxia)가 수일에서 수주 간 먼저 생기기도 한다.
1) Encephalopathy (뇌병증)
- 지남력의 저하(disorientation), 무관심(indifference), 부주의(inattensiveness)가 특징적이다.
- 기역력이 저하되고, 무엇을 배우는 기능 또한 손상되어 기능이 떨어진다.
- 섬망과 같은 의식변화를 보이기도 하며, 치료받지 않은 환자들은 시간이 지남에 따라 의식이 저하되고 착란, 혼수, 사망에 이르기도 한다.
2) Oculomotor dysfuction (안구운동 장애)
- 안진(Nystagmus), 외직근 마비(lateral rectus palsy), 협응 주시 마비(conjugate gaze palsy)와 같은 증상이 나타나며, 단독보다는 두 가지 이상이 복합적으로 나타난다.
- 안진은 다양할 수 있으나, 보통은 양측성 수평복시가 나타나는 경우가 가장 많다. 이 외에도 상방 안진을 보이다가 점차적으로 하방 안진으로 바뀌는 경우도 있다. 회전성 수직 안진은 드문 편이다.
- 외직근 마비는 항시 양측성으로 나타나며, 수직 응시 마비는 다른 안구 마비보다 드물다.
- 동공의 반응도 떨어져 그 결과로 sluggish(느린 동공 수축의 속도와 정도)한 동공 반응, 양측의 비대칭적인 동공 반응을 보이기도 한다.
3) Gait ataxia (보행 실조)
- 걷기와 자세 유지에 있어 장애가 발생한다. 심한 경우 걷지 못하게 된다.
- 팔과 다리의 운동 실조, 심한 경우 구음장애(dysarthria)를 보이나 하지의 운동실조 증상이 가장 흔하다.
- polyneuropathy, cerebellar dysfuction, vestibular dysfuction으로 인해 발생한다.
4) 기타 증상들.
- 혈압의 저하 또는 저체온증 같은 증상도 유발할 수 있다.
4. 진단
- 베르니케 뇌병증의 진단은 임상 증상에 근거하여 진단하게 되는데, 가능한 감별진단들을 배제하면서 확진하게 된다.
- 위 베르니케 뇌병증의 classic triad(ecephalopathy, oculomotor dysfuction, gait ataxia)를 보이며, 병력상 알코올 중독을 의심할만하거나, thiamine 결핍이 의심되는 경우 진단할 수 있다.
1) Differential diagnosis(DDx., 감별진단)이 필요한 질환들
- 섬망 (delirium)
- 간성 혼수 (Hepatic encephalopathy)
- 뇌졸중 (stroke)
- 진전 섬망 (delirium tremens)
- 정상 뇌압 수두증 (NPH, normal pressure hydrocephalus)
- 저산소성 뇌병증 (hypoxic ecephalopathy)
- 뇌염 (encephalitis)
2) 임상 기준
- 아주 명확한 진단기준이 제시되어 있지는 않으나, 임상적으로 다음과 같은 기준에 만족하는 경우 베르니케 뇌병증, 코르사코프 증후군을 생각해 볼 수 있다.
만성적으로 알코올 소비량이 많은 병력을 보이면서 다음의 증상/소견을 동반하는 경우
+
● cerebellar dysfuction (소뇌 기능 이상)
● oculomotor dysfunction (안구운동 이상)
● altered mentality or memory impairment (의식변화 또는 기억력 장애)
● dietary deficiency (식이 부족)
3) 혈액검사
- 베르니케 뇌병증을 진단하기 위한 혈액검사는 없다.
- 혈중 thiamine 수치를 참고할 수는 있으나, 혈중 thiamine level이 응급실 단계에서 결과를 확인하기 어려운 경우가 많고, 이마저도 정확한 뇌조직 안에서의 thiamine 결핍 정도를 정확히 반영하기 어렵다는 근본적 한계가 존재한다.
4) 영상검사
- 베르니케 뇌병증을 진단하기 위해 뇌 영상 검사가 반드시 필요하지는 않으나, 다른 감별진단을 위한 질환들을 배제하기 위해 촬영하게 된다.
- 뇌 CT(brain CT) 영상은 일반적으로 정상이다.
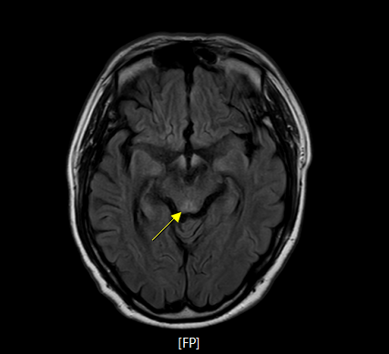
- 뇌 MRI(brain MRI) 영상은 T2 flair 및 brain DWI 영상에서 아래와 같은 영역에서 양측성 signal intensity의 증가 소견을 보이게 된다.
- mammillary body
- dorsomedial thalami
- tectal plate
- periaqueductal grey matter
- around the third ventricle
- cerebral cortex




5. 치료
- 베르니케 뇌병증의 진단은 명확한 하나의 검사가 있는 것이 아니고 임상적으로 의심, 다른 감별진단을 배제하여 진단하므로 어려운 편이다.
- 베르니케 뇌병증을 치료하지 않은 경우엔 대부분 의식의 저하로 혼수에 빠지거나 사망에 이를 수 있으므로, 진단을 위해 치료를 지연하는 것은 옳지 못하다.
- 따라서, 베르니케 뇌병증이 의심된다면 정맥주사를 통한 thiamine의 주입이 가장 효과적이면서도 안전하고 저렴한 치료 방법이다. thiamine의 주사의 부작용으로 아낙필락스시(anaphylaxis)나 bronchospasm이 생기는 경우가 있다고는 하나, 극히 드문 부작용으로 100만 명 중 한 명 정도의 부작용이다.
※ IV thiamine regimen(정맥 주사 용법) - high dose parenteral thiamine therapy
- 500mg의 thiamine을 30분 동안 정맥 주사하며, 처음 이틀 동안 하루 3번씩 투약한다.
- 이후 5일 동안 250mg의 thiamine을 하루 한차례 근육주사(IM, intramuscular) 또는 정맥주사(IV, intravenous)한다.
- 이후에도 하루 100mg의 thiamine을 경구로 섭취하는 것이 좋다.
- thiamine 없이 glucose만 주게 되면 베르니케 뇌병증을 악화시킬 수 있으므로, glucose 수액을 사용하기 전 thiamine을 먼저 주는 것이 좋다.
- 만성 알코올 중독자들에게 thiamine을 경구약으로 복용시키는 것은 옳지 않다. 이들은 소화기관에서 thiamine의 흡수가 잘 이뤄지지 않기 때문이다. 따라서 베르니케 뇌병증이 의심된다면 thiamine을 정맥 주사, 근육 주사로 줘야 한다.
- 마그네슘이나 다른 비타민 등 미량원소들 또한 잘 보충해줘야 한다.
6. 임상 경과 및 예후
- 적절한 치료가 이뤄지게 된다면, thiamine 주입 수시간~수일 내에 안구 운동 기능이 회복되고, 수주에 걸쳐 전정기능의 개선과 운동 실조 등의 기능이 개선된다.
- 임상 증상이 회복되며 brain MR에서 보이던 signal intensity의 변화들도 정상화되어 간다.
- 다만, 수평방향 안진의 경우 대략 60%의 환자들에서 영구적으로 남아 지속될 수 있다.
- 걷기 능력에서도 일부 환자들에서는 어느 정도의 기능 결손이 남아 넓은 보폭으로, 느리게, 다리를 질질 끄는 모양으로 걷게 되는 경우가 있다.
'공부방 > 신경' 카테고리의 다른 글
| 실신과 발작을 구분하기 - Syncope과 seizure (2) | 2025.02.11 |
|---|---|
| 한 쪽 얼굴이 마비되었다! 벨마비(Bell’s palsy) (0) | 2025.02.04 |
| 노인 우울증 - 단축형 노인우울척도(SGDS-K) (0) | 2024.08.01 |
| 복잡한 이석증(BPPV)의 진단 프로세스 이해하기! (0) | 2024.06.20 |
| 이석증(BPPV, 양성 돌발성 체위 현훈) - AC(앞반고리관) (0) | 2024.06.17 |