모든 급성 췌장염이 음주로 인한 것은 아니지만, 응급실에서 마주하는 가장 흔한 췌장염의 원인은 음주이다.
그것도 비교적 젊은 30~40대의 환자가 최근 과도한 음주를 한 이후, 심와부 통증이 심하고 뭘 먹기만 하면 울렁거린다며 응급실로 내원하는 경우가 많다.
최근 응급실에 췌장염으로 입원하는 환자가 많아 이번 포스팅을 작성해 본다.
급성 췌장염; acute pancreatitis
1. 원인
1) 음주, 담석(가장 흔한 원인)
2) 고중성지방혈증, 고칼슘혈증
3) 복부외상, 수술
4) post-ERCP pancreatitis: 내시경적 역행성 담췌관조영술(ERCP) 이후 발생
5) 오디괄약근 장애(Sphincter of Oddi dysfunction, SOD)
6) 분할 췌장(pancreas divisum)
7) 약물
* 급성 췌장염을 일으킬 수 있는 약물
- 직접적인 인과성이 입증된 약물
acetaminophen, asparaginase, azathioprine, bortezomib, capecitabine, carbamazepine, cimetidine, cisplatin, cytarabine, didanosine, enalapril, erythromycin, erythromycin, estrogens, furosemide, hydrochlorothiazide, interferon-alfa, itraconazole, lamivudine, mercarptopurine, mesalazine, olsalazine, methyldopa, metronidazole, octreotide, olanzapine, opiates, oxyphenbutazone, pentamidine, pentavalent antimony compounds, penfomin, simvastatin, steroids, sulfasalazine, co-trimazole
- 췌장염을 일으킬 수도 있는 약물
atorvastatin, carboplatin, dectaxel, deftraxone, cyclopenthiazide, didanosine, doxycycline, famotidine, ifosfamide, imatinib, liraglutide, maprotiline, mesalazine, orlistat, oxaliplatin, rifampin, secnidazole, sitagliptin, sorafenib, tigecycline, vidagliptin, sulindac, tamoxifen, tetracycline, valproate
2. 진단
다음 3가지 중 두 가지를 만족하면 췌장염으로 진단할 수 있다.
2-1. 복통
1) 급성으로 발생함.
2) 심한 지속적인 (severe persistent) 복통
3) 심와부 혹은 좌상복부 통증이 나타나며 등이나 어깨로 방사될 수 있음.
2-2. 췌장효소 수치의 상승
1) amylase, lipase가 정상보다 3배 이상 증가
- amylase 정상 범위 28~100U/L , lipase 정상 범위 22~51U/L
2) amylase : 이하선염, 담낭염 및 담관염, 장 천공/경색, 신부전 등의 상태에서 상승할 수 있으므로 해당 질환에 대한 감별이 필요하다.
3) lipase : 췌장염에서 좀 더 높은 특이도를 보인다.
4) 효소 수치의 상승은 췌장염의 중증도와 관련이 적음.
2-3. 영상검사에서 전형적인 소견
1) 복부 전산화단층촬영(CT), 자기공명영상(MRI), 복부 초음파(abdomen USG/SONO)
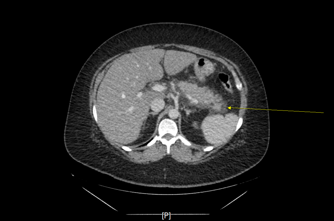
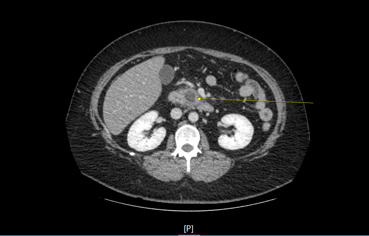
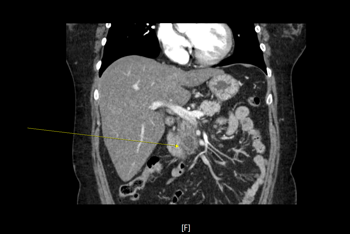
2) 복부 전산화단층촬영 : 급성 췌장염의 진단에 가장 중요한 영상검사로 혈청 amylase가 정상인 경우 췌장염의 진단에 필수적이다. 영상 소견을 통해 췌장의 괴사, 가성낭종(pseudocyst), 췌장성 복수와 같은 합병증도 함께 확인할 수 있어 유용하다.
3. 분류
3-1. 중등도에 따른 분류
1) Mild (경증)
- 장기부전 및 국소 혹은 전신 합병증이 없는 경우.
- 영상검사가 반드시 필요하지는 않음.
- 일반적으로 3~7일 이내에 퇴원 가능.
2) Moderately severe (중등도)
- 장기부전이 있으나 48시간 내에 해소되는 경우
- 국소 혹은 전신 합병증이 있는 경우
- 장기부전은 호흡기, 순환기, 신장의 3가지 중 1가지 이상.
3) Severe (중증)
- 장기부전이 48시간 이상 지속되는 경우
- 췌장괴사를 동반한 경우가 많으며, 사망률은 30%에 달한다.
* 장기부전에 대한 Marshall 점수 시스템
- Modified Marshall scoring system for organ dysfunction -
| Organ system | Score | ||||
| 0 | 1 | 2 | 3 | 4 | |
| Respiratory (PaO2/FiO2) | >400 | 301-400 | 201-300 | 101-200 | ≤101 |
| Renal* | |||||
| (serum creatinine, micromol/L) | ≤134 | 134-169 | 170-310 | 311-439 | >439 |
| (serum creatinine, mg/dL) | <1.4 | 1.4-1.8 | 1.9-3.6 | 3.6-4.9 | >4.9 |
| Cardiovascular (systolic blood pressure, mmHg)¶ | >90 | <90, fluid responsive | <90, not fluid responsive | <90, pH <7.3 | <90, pH <7.2 |
| For nonventilated patients, the FiO2 can be estimated from below: | |||||
| Supplemental oxygen (L/min) | FiO2 (percent) | ||||
| Room air | 21 | ||||
| 2 | 25 | ||||
| 4 | 30 | ||||
| 6-8 | 40 | ||||
| 9-10 | 50 | ||||
¶ Off inotropic support.
3-2. 영상소견에 따른 분류
1) 간질성 부종성 췌장염 (interstitial edematous pancreatitis)

- 췌장괴사의 증거가 보이지 않은 췌장실질의 염증성 변화
- CT에서 조영제에 의한 췌장실질의 조영증가로 나타남.
- 국소 합병증으로 췌장 주변의 액체 저류 소견인 fluid collection과 낭종벽을 형성한 가성낭종(pseudocyst)을 형성키도 한다.


2) 괴사성 췌장염 (necrotizing pancreatitis)
- 염증으로 인한 췌장실질 및 췌장주위조직의 괴사
- 이미 괴사된 조직으로 조영제에 의해 조영증강 되지 않음.
- 국소 합병증으로 췌장 주변으로 궤사조직이 저류 되는 necrotic collection을 보이거나, 췌장괴사조직이 벽을 형성한 경우 walled-off necrosis소견을 보이기도 한다.
4. 검사
4-1. 혈액검사
- serum amylase, lipase; 췌장염 진단에 필수적인 혈액검사
- CBC, electrolyte, BUN, Creatinine; 감염동반, 장기부전 여부를 확인
- LFT; 담도 폐쇄성 질환 감별.
- coagulation panel
4-2. 방사선검사
- chest x-ray: 흉수 저류, 혹은 폐부종 여부 확인하여 장기부전 여부 판단.
- simple abdomen
1) sentinel loop sign; 췌장의 염증으로 인접 부위인 jejunum 쪽에 국소적인 ileus가 생긴 모습
https://radiologykey.com/recognizing-bowel-obstruction-and-ileus/
2) colon cutoff sign; 췌장의 염증으로 인접 부위인 Transeverse colon 쪽에 국소적인 ileus가 생긴 모습, splenic flexure 이후 대장의 air는 보이지 않는 것이 특징.
https://radiopaedia.org/articles/colon-cut-off-sign
4-3. 초음파내시경 (EUS)
췌장염의 원인이 뚜렷하지 않은 경우 미세담석증(microlithiasis)과 췌장 종양 감별을 위해 사용.

4-4. 복부 전산화단층촬영(Abdomen CT)
- 경증 췌장염에서는 불필요.
- 전형적인 증상 발생 4일 이내 시행하는 경우 타 질환으로 진단되는 경우는 거의 없으며, 괴사 여부, 합병증 여부 판정에 도움을 주지 않는다.
- CT를 시행해야 하는 경우
1) 췌장염의 진단이 불확실할 때
2) 중증(severe) 췌장염인 경우
3) 보존적 치료에 반응이 없거나 악화되어 중재 치료(Intervention)가 필요한 경우
- 가능하면 췌담도 질환에 대한 변별력을 높이기 위해 arterial, portal, venous phase를 촬영하는 3-phase CT의 촬영을 추천함.
5. 예후의 평가
급성 췌장염에서는 예후를 판정하는 것이 중요하다.
과거에 Ranson's criteria를 사용하였으나, 내용이 복잡하며 단순한 criteria보다 예측에 우수하지 못하여 SIRS를 예후 예측지표로 사용하는 추세이다. CT severity index 역시 과거에 사용되었으나, 최근에는 임상적 지표에 비해서 예후 예측에 좋지 않은 것으로 알려져 잘 활용되지 않는다.
** SIRS: 4가지 지표 중 2가지 이상 만족할 때
- 체온 < 36도 혹은 > 38도
- 맥박 수 > 90 회/분
- 호흡 수 > 20 회/분
- 백혈구 수 > 12,000/mm3 혹은 < 4,000/mm3
1) SIRS 기준에 해당하지 않은 경우엔 매우 낮은 mortality를 보인다.
2) 48시간 이하 일시적인 SIRS 소견을 보이는 경우 mortality는 대략 8%
3) 48시간 초과 지속적인 SIRS 소견을 보이는 경우 mortality는 대략 25%
6. 치료
6-1. 수액요법
1) Ringer's lactate(Hartmann solution)이 추천됨.
- NS(normal saline)에 비해서 전해질 불균형이 좀 더 잘 교정이 되며, pH가 낮아져 trypsinogen 활성화에 의한 acinar cell injury를 막아주며, 대량으로 투여하더라도 hyperchloremic metabolic acidosis 발생이 적다는 장점이 있음.
2) 5~10 ml/kg/hr로 시작, 목표 달성까지 유지, 달성 이후 감량
3) 목표 : 심박수 < 120회/분, 평균동맥압 65~85 mmHg, 소변량 > 0.5~1 ml/kg/hr
4) 보통 첫 8시간에 2L, 24시간에 4L를 투여하며, 4L 이상은 benefit이 크지 않음.
6-2. 항생제
1) 급성 췌장염에서 예방적인 항생제 사용은 추천되지 않음.
2) 대부분의 환자에서 항생제 치료가 필요하지 않으며, 감염의 근거가 뚜렷한 경우에만 투여한다.
3) 광범위 항생제로는 3rd generation cephalosporin + Metronidazle 혹은 Quinolone, carbapenem이 추천된다.
6-3. 영양공급
1) 복통과 염증이 호전추세이고 장음이 정상이면 경구 식이를 시작한다.
2) 혈중 췌장효소 수치 혹은 염증수치와 식이의 시작은 무관하다.
3) 48시간 이내 경구 식이를 시작하는 것이 예후에 좋다.
4) 중증 급성 췌장염의 경우 enteral tube feeding이 고려되어야 한다. 이 경우 경비위(nasogastric)과 경비공장(nasojejunal) 튜브 모두 가능하다.
6-4. 담석에 의한 췌장염
1) 내시경적 역행성 담췌관조영술(ERCP)


- 담석 혹은 담도염의 증거가 있는 경우에 시행한다. 뚜렷한 증거 없이 진단적 목적으로 시행하지 않는다.
2) EUS(endoscopic ultrasound, 내시경초음파)와 MRCP(MR cholangiopancreatography, 자기공명담췌관조영술)

- 임상적으로 담관염의 증거는 없지만 담석에 의한 췌장염이 의심되는 경우 EUS 혹은 MRCP를 시행할 수 있다.
- EUS는 미세담석을 찾는데 좀 더 효과적이며, MRCP는 상대적으로 덜 침습적인 장점이 있다.
6-5. 중재적 치료
- 증상이 수 주 이상 지속될 때
- 내과적 치료에도 장기부전이 1주 이상 지속될 때
- 감염이 동반되어 있으며 내과적 치료만으로 호전되지 않을 때
- 압박에 의한 장폐색, 담도폐색이 있거나, 췌도가 손상되었을 때
-> 일차적으로는 경피배액술(PCD, percutaneous drainage) 혹은 내시경을 이용한 내배액술(internal drain)을 시행해 볼 수 있으며, 이러한 치료에도 효과가 없는 경우엔 수술적으로 괴사조직 제거를 시도할 수 있다. 수술은 보통 췌장염 발생 4주 이후에 시행하는 것이 권고된다.
'공부방 > 위장관' 카테고리의 다른 글
| 동의서로 알아보는 내시경(1) - 상부위장관 내시경(EGD) (1) | 2024.06.26 |
|---|---|
| 십이지장 천공(duodenal perforation)으로 오인된 췌장염(pancreatitis)환자 (2) | 2024.06.22 |
| 식도에 뼈가 걸렸어요.. feat. 갈비탕 (0) | 2024.01.17 |
| 먹지 말아야 할 걸 먹은뒤 극심한 이물감! - 내시경은 언제해야 하나요? (2) | 2024.01.13 |
| 못 먹을 걸 먹었는데 괜찮나요? - feat. 오쏘몰 뚜껑 (2) | 2024.01.09 |