최근 이물을 삼켜 응급실로 내원하는 경우와.. 어떤 경우에 응급/긴급 내시경을 해야 하는지에 대한 포스팅을 올렸다.
포스팅을 작성하던 기간에 신기하게도 이물이 목에 걸렸다며 응급실을 내원한 또다른 환자가 있었다.
지난 포스팅에서는 주말 저녁 내원한 환자의 복잡한 과정 끝에 결국에 이물을 제거하지 못했던 이야기와는 다르게 평일 낮에 응급실로 내원하여 비교적 빠르게 내시경을 할 수 있었던 환자의 이야기를 해보려고 한다.
(응급실이라고 하더라도 언제 방문하느냐에 따라 가용 가능한 검사와 자원에 차이가 있기에 실로 응급실에 방문하는 타이밍이 중요하다고 할 수밖에 없다.)
## 갈비탕을 먹다가 뼈를 삼켰다며 내원 한 59세 여자 ##
특이병력 없이 건강했던 환자분은 점심으로 갈비탕을 먹었다고 한다.
갈비탕을 먹으면서 작은 뼈쪼각을 본인도 모르게 삼켰다고 하며, 크기를 가늠할 수 없었고 목에 뭐가 걸린 느낌이 있어 밥을 두어 번 정도 삼켜 밀어 넣으려고 했다고 한다.
그럼에도 가슴부위 이물감과 불편감이 점차 심해져 바로 응급실로 내원하였다.
평일 점심시간이 지난 오후 2시 정도로 기억한다.
환자는 내원하자마자 빨리 이물좀 꺼내달라며 성화를 부리셨다.
간단한 검진과 병력청취를 마치고 우선은 x ray를 찍어보기를 권했다. 다짜고짜 내시경부터 해야 하는 거 아니냐며 성화를 부렸지만, 내시경이 필요한지 아닌지 먼저 확인부터 해야 하고, 평일 낮시간이긴 하나 내시경이 가능한 선생님이 있는지.. 그리고 오후에 내시경이 가능한지를 먼저 확인해야 했기에.. 급하게 내시경 담당 선생님께 전화를 해서 자초지종을 설명하고 내시경이 가능한지 물었다.
다행히 필요하다면 내시경을 해줄수 있다고 했다.
빠르게 환자에게 x ray를 찍어보자고 했다. 이물의 위치가 중요했기 때문이다. 다른 이물은 x ray에서 잘 안 보일 수 있으나 뼈는 x ray에서도 잘 보일 것이므로 x ray로 위치를 확인하고자 했다.
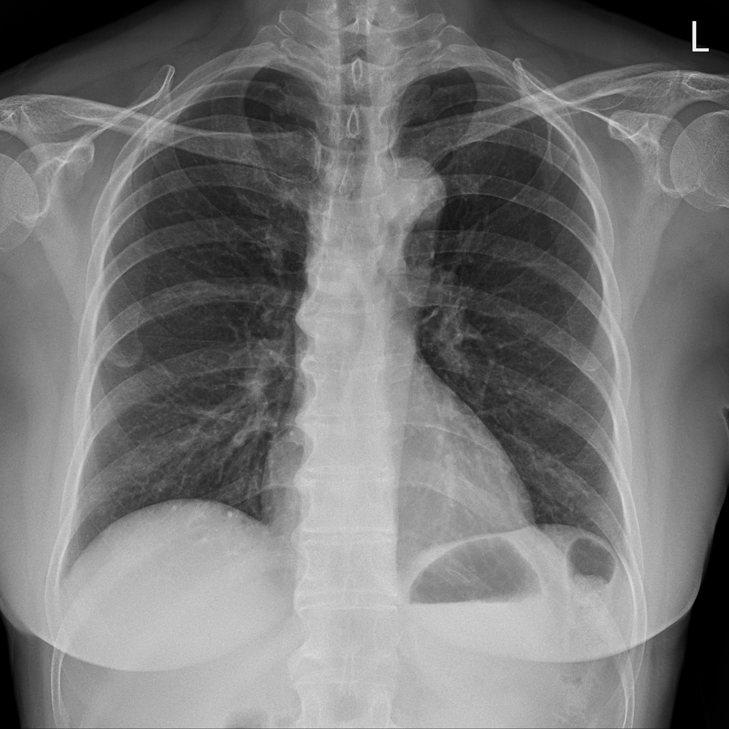
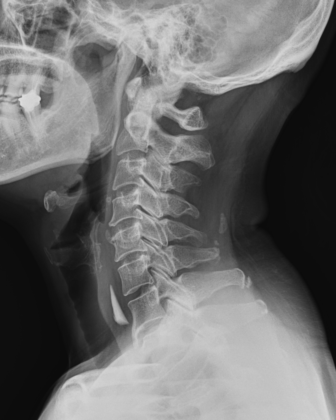
이물의 위치를 확정할 수 없으므로, 목부터 식도, 위장까지 확인하기 위해 흉부 x ray와 함께 경추 x ray(앞뒤와 측면)를 함께 촬영하였다.



예상과는 달리 chest PA, neck AP x ray 사진에서는 이물이 잘 보이지 않았다.
다행히 다른 x ray 영상 중 neck lateral x ray 사진에서 이물의 모양과 위치를 확인 할 수 있었다.
식도에 걸려있는 뾰족한 모양의 이물로, 환자의 증상도 심하여 빠르게 응급내시경을 의뢰하였다.
** 응급내시경은 언제?
https://emdoc1988.tistory.com/155
먹지 말아야 할 걸 먹은뒤 극심한 이물감! - 내시경은 언제해야 하나요?
이물을 삼켜 응급실로 내원하는 경우가 있다. 하지만 어떤 경우 응급하게 내시경을 할까? 모든 경우를 알 순 없으나, 대표적으로 내시경을 해야 하는 경우를 살펴보도록 하자. 내시경을 하는 경
emdoc1988.tistory.com
다행히 30분만에 소화기내시경을 받을 수 있었다.


내시경 영상을 확인해보니 뾰족한 뼈로 인해 식도 점막에 상처가 생겨있는 상태였다.
다행히 성공적으로 이물을 제거해냈고
그 이물은 다음과 같다.

대략 4 x 3 cm 정도 크기가 되는 갈비탕에 들어간 소갈비의 뼛조각이었다.
후일담이지만, 이 환자의 내시경을 한 소화기내과 선생님 말에 따르면 뼈가 식도에 박혀서 꺼내기가 너무 어려웠다고 한다. 대략 1시간 반 동안의 사투 끝에 이물을 제거했다고 하였다.
이 환자의 경우엔 평일 낮시간 운 좋은 시간대에 응급실에 내원하여 비교적 빠른 절차로 내시경을 받았던 케이스다.
하지만 모든 환자들이 이렇게 운이 좋을 순 없으므로..
되도록이면 이와 같은 상황이 생기지 않도록 하는 것이 최선일 것이다.
'공부방 > 위장관' 카테고리의 다른 글
| 십이지장 천공(duodenal perforation)으로 오인된 췌장염(pancreatitis)환자 (2) | 2024.06.22 |
|---|---|
| 술 먹은 다음날 명치가 아프다면? - 급성 췌장염(acute pancreatitis) (4) | 2024.03.07 |
| 먹지 말아야 할 걸 먹은뒤 극심한 이물감! - 내시경은 언제해야 하나요? (2) | 2024.01.13 |
| 못 먹을 걸 먹었는데 괜찮나요? - feat. 오쏘몰 뚜껑 (2) | 2024.01.09 |
| 위궤양이 심해지면? 위천공(gastric ulcer perforation) (0) | 2023.11.10 |