반응형

최근들어 응급실에 간농양 환자들이 많이 보이고 있다.
오늘은 간농양에 대해 간략히 공부해보도록 하자.
이번 내용은 응급의학 교과서 중 하나인 Rosens emergency medicine의 hepatic abscesses 파트를 참고하였다.
##. 간농양(Liver abscess, Hepatic abscess)
1. 간농양이란?
- 정의 : 간에 고름이 쌓이는 염증성 질환을 말한다. 크게 세균으로 인한 화농성(pyogenic)과 기생충으로 인한 아메바성(amebic)으로 구분한다.
- 특징 : 오른쪽 간엽에서 흔히 발생하며, 단일 또는 다발성 농양이 생길 수 있다. 다발성으로 발생한 경우 보다 심각하다.
2. 간농양의 원인
2-1. 화농성 간농양(Pyogenic abscess)
- 담도 문제: 담석, 담관염.
- 복강내 감염: 맹장염, 게실염, 장염.
- 외상: 간 손상(드물게 발생)
- 이외 원인 불명으로 발생하는 경우도 많다.
- 흔한 원인균: 대장군(E.coli), 크렙시엘라(Klebsiella), 혐기성 세균 등.
2-2. 아베마성 간농양
- 기생충: Entamoeba histolytica(아메바)
- 전염: 오염된 물/음식(분면-구강 경로)
- 위험 지역: 인도, 아프리카, 멕시코, 중남미
3. 간농양의 증상
- 공통적으로 고열, 오한, 오른쪽 상복부 통증, 메스꺼움, 구토 등의 증상을 보일 수 있다.
- 검진 소견으로 간비대 소견, 우측 흉막삼출 소견으로 우측 폐음의 감소가 나타날 수 있다.
- 화농성: 보통 급격히 증상이 유발되며, 전신 쇠약이나 황달을 동반하는 경우가 있다.
- 아메바성: 오염된 물을 섭취한 이후 증상 발현까지 잠복기가 있을 수 있다(평균 12주 정도 소요). 또한, 소아에서는 설사가 흔히 동반된다.
4. 간농양의 진단
4-1. 혈액검사
- 백혈구 증가(70~80%)
- ALP(알칼리성 포스파타제) 상승(90%)
- 빌리루빈 증가(50%)
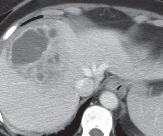
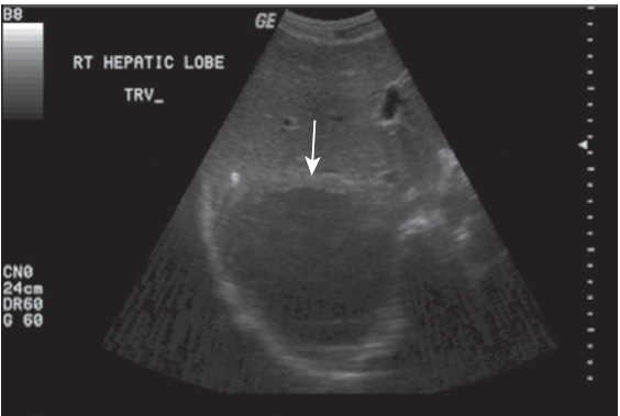
4-2. 영상


- 초음파
- 화농성 - 불규칙한 경계를 보인다.
- 아메바성 - 둥글고 뚜렷한 경계를 보인다.


- CT(computed tomography)
- 초음파에 비해 민감하고, 농양의 위치나 크기 확인에 용이하다.
- 조영제 사용으로 인한 알러지 반응, 신장기능의 악화 가능성이 있다.
4-3. 기타
- 아메바성에서 기생충을 확인하기 위한 방법으로 대변검사 또는 혈정 ELISA 검사를 시행해 볼 수 있다.
5. 간농양의 치료
5-1. 화농성 간농양
- 초기: 정맥 항생제, 통증관리
- 배액: 5cm 이상의 농양은 영상 유도하 배액, 복잡한 경우 수술적 치료를 고려해야 한다.
- 입원: 대부분 환자에서 정맥 항생제 투약을 위한 입원이 필요하다.
- 항생제의 선택
- 흔한 원인균(E. coli, Klebsiella, 혐기균)에 대한 커버를 고려한다.
- 6주 치료를 권고한다.
- 일반적으로
- cefotaxime 2g tid
- ceftriaxone 2g qd + metronidazole 500mg tid
- ampicillin 2g qid + gentamycin 1.7 mg/kg tid + metronidazole 500mg tid
- 심한 경우
- piperacillin-taxobactam 3.375 qid
- imipenem 500mg qid 또는 meropenem 1g tid + metronidazole 500mg tid
- 더불어 vancomcyin의 추가를 고려한다.
5-2. 아메바성 간농양
- 약물
- tissue clearance와 luminal clearance를 모두 고려해야 한다.
- metronidazole 500~750mg PO tid 를 7~10일 사용한 이후 paromomycin 10 mg/kg tid를 7일간 섭취한다.
- 배액: 화농성에 비해 드물게 시행하며, 합병증을 동반하는 경우나, 기존 약물치료에 반응을 보이지 않을 때 시행하게 된다.
- 입원 : 경증은 외래, 중증이거나 합병증을 동반하는 경우엔 입원을 고려한다.
반응형
'공부방 > 위장관' 카테고리의 다른 글
| 위장 출혈 환자, 응급실에서 CT angiography 촬영에 관하여.(논문리뷰) (0) | 2025.09.24 |
|---|---|
| 간에 고름이 생겼다.. liver abscess case (2) | 2025.05.20 |
| 치핵(hemorrhoid)의 발생요인과 예방 (0) | 2025.03.11 |
| 비만 대사 수술 이후 발생한 합병증 증례 (0) | 2024.12.11 |
| 덤핑 증후군이란?(dumping syndrome) (2) | 2024.11.30 |