최근 응급실에 간농양이 진단된 환자들이 다수 있어 그중 하나의 사례를 공유해보고자 한다.
환자는 50대 남성으로
당뇨 및 고혈압 병력이 있었고
2주 전부터 열이 나기 시작하더니 간간히 심한 오한이 반복되어 검사를 위해 응급실에 내원 한 상황이었다.
기침, 콧물, 가래 등의 호흡기 증상은 없었으며
복통, 구토, 설사 등의 위장관 증상도 보이지 않았다.
또한, 빈뇨, 혈뇨, 잔뇨, 배뇨통 등의 비뇨기 증상도 없었다.
검진상으로 복부 압통도 없었고, 호흡음도 정상, 피부 발진도 없었고, 늑척추각 압통(CVAT)도 없었다.
혈액검사를 시행하였고,
염증 수치의 상승과 백혈구 증가를 보였고, 무엇보다 혈당이 300대를 보이고 있었다.
환자분께 최근 혈당조절이 잘 되고 있었는지를 물었더니, 열이 나기 시작한 뒤로는 혈당 조절도 잘 안된다고 하였다.
단순 감기와 같은 일반적인 바이러스 질환으로 오한을 동반한 열이 2주이상 나기는 어렵다고 판단되었고,
혈당조절이 잘 안되는 것도 어떤 감염 병소가 숨어 있을 가능성이 있어 보였다.
환자분을 설득하여, 복부 및 흉부 CT 검사를 시행해 보기로 하였다.



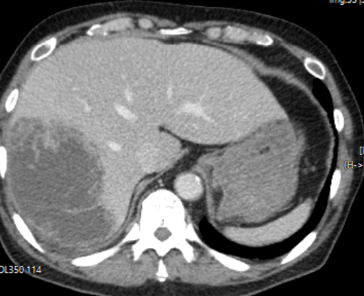
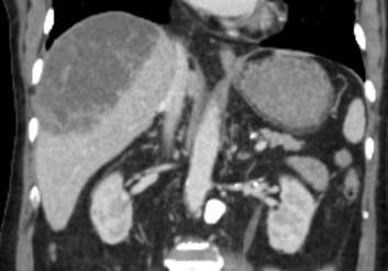
CT 촬영 결과는 충격적이었다.
환자의 우측 간의 절반정도가 농양화 되어 있었던 것이었다.
화농성 간농양의 양상을 보이고 있었고, 다행히 낮시간에 내원한 환자였기에 나는 곧바로 영상의학과 인터벤션 팀에 배농을 위한 경피적 삽관술을 의뢰하면서, 소화기내과로 환자 입원을 의뢰하였다.

경피적 삽관술(PCD)을 시행하였고, 배농 된 균주를 배양검사 접수를 하고 환자분은 입원하게 되었다.
며칠 뒤 입원 중인 환자분의 상태를 확인해 보았고,
환자분은 다행히 염증수치의 호전을 보이며, 잘 회복하고 있는 상태였다.
그리고 그 사이 접수해 둔 간농양의 원인균이 배양되었다.

화농성 간농양의 흔한 원인균 중 하나인 크렙시엘라가 배양되었다.
다행히 흔히 사용하는 3세대 세팔로스포린계열에 내성이 없는 균이었다.
아마도 환자분은 PCD로 배액 되는 농양이 충분히 줄어든 이후 PCD를 제거하고,
6주 정도 항생제를 유지하게 될 가능성이 높다.
** 간농양에 대해 좀 더 궁금하다면?
https://emdoc1988.tistory.com/290
간농양(liver abscess, hepatic abscess) - 간에 생긴 고름
최근들어 응급실에 간농양 환자들이 많이 보이고 있다. 오늘은 간농양에 대해 간략히 공부해보도록 하자.이번 내용은 응급의학 교과서 중 하나인 Rosens emergency medicine의 hepatic abscesses 파트를 참
emdoc1988.tistory.com
'공부방 > 위장관' 카테고리의 다른 글
| 만성질환을 가진 담낭염 환자의 치료 - 수술이 낫다.(JAMA surgery) (0) | 2025.11.18 |
|---|---|
| 위장 출혈 환자, 응급실에서 CT angiography 촬영에 관하여.(논문리뷰) (0) | 2025.09.24 |
| 간농양(liver abscess, hepatic abscess) - 간에 생긴 고름 (0) | 2025.05.13 |
| 치핵(hemorrhoid)의 발생요인과 예방 (0) | 2025.03.11 |
| 비만 대사 수술 이후 발생한 합병증 증례 (0) | 2024.12.11 |