2024.11.26 - [공부방/위장관] - 비만 수술? 위소매절제술(gastric sleeve surgery)
비만 수술? 위소매절제술(gastric sleeve surgery)
최근 응급실에 비만치료의 일환으로 위소매절제술(gastric sleeve surgery)을 받은 뒤 발생한 복통으로 내원 한 환자가 있었고, 그 환자의 CT를 해석하는데 난해함이 있었기에 이에 대한 공부를 해보려
emdoc1988.tistory.com
최근 포스팅으로 다룬 비만 수술(위소매절제술)을 시행한 환자가 급성 복통으로 응급실을 찾았다.
수술 후 발생한 합병증으로
개인적인 공부를 위해 기록으로 남겨둔다.
50대 후반 남성
비만, 고혈압, 뇌졸중 병력까지 있음.
대사질환에 대한 치료를 위해 위소매절제술을 선택하여 시행하였고, 수술 후 정상 식이까지 진행하여 퇴원함.
수술 후 17일째 되던 날 식사 이후 발생한 복통.
밤사이 점차 악화되는 소견 있어 새벽에 응급실로 내원함.
환자 검진상 심와부의 압통이 명확하며, 혈액검사 결과 leukocytosis와 inflammatory marker의 상승이 두드러짐.
x ray상으론 별다른 free air음영은 보이지 않음.
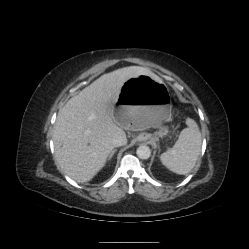
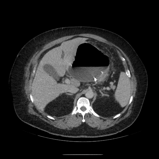
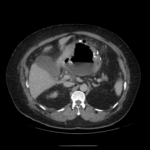
수술 후 복강 내 상태를 확인하기 위해 복부 CT를 촬영함.




복부 CT를 보면 수술부위 쪽으로 아주 큰 pocket이 형성되고 그 안쪽에 air-fluid level이 형성되어 있는 것을 확인할 수 있음.
해당 부분은 수술로 문합을 한 GE junction 쪽으로 염증의 위치로 생각할 수 있음.
추후 외과 과장님께 들어보니 sleeve op. 이후 leakage가 주로 생기는 위치는 gastro-esophageal junction 쪽이며, 천장으로는 liver(간), 좌측으론 spleen과 omentum이 있어 주변으로 염증이 퍼지지 않고 위 사진처럼 갇힌 형태의 염증이 생성된다고 한다.
추후 확인한 영상의학과 정식 영상 판독 소견
1. About 14cm sized air-containing complicated fluid collection around the stomach.
: probable leakage at sleeve gastrectomy site.
2. Fatty liver.
3. Small right hepatic cysts.
4. Both renal cysts.
'공부방 > 위장관' 카테고리의 다른 글
| 간농양(liver abscess, hepatic abscess) - 간에 생긴 고름 (0) | 2025.05.13 |
|---|---|
| 치핵(hemorrhoid)의 발생요인과 예방 (0) | 2025.03.11 |
| 덤핑 증후군이란?(dumping syndrome) (2) | 2024.11.30 |
| 비만 수술? 위소매절제술(gastric sleeve surgery) (2) | 2024.11.26 |
| CBD stone (총담관 담석)과 cholangitis (담도염) (4) | 2024.10.15 |