뇌졸중, 그중에서도 혈관이 막혀서 생기는 허혈성 뇌졸중(ischemic stroke=infarction)은 원인과 치료에 따라 예후가 천차만별일 수 있어, 빠른 검사와 처치가 중요하다.
보통 이러한 환자를 선별하기 위해 뇌졸중 의심환자가 오면 각 병원에서는 stroke CP(clinical pathway)를 이용하여 빠른 진단 및 치료를 위한 프로세스를 운용하고 있다.
https://emdoc1988.tistory.com/18
초급성 뇌졸중 환자가 응급실에 오면 (Stroke CP에 대하여..)
내가 일하는 응급실에선 초급성 뇌졸중환자를 대상으로 stroke CP (clinical pathway)를 적용하고 있다. CP란 같은 증상 및 진단으로 내원하는 환자를 체계적으로 진료 하기 위해 병원의 여러 파트(진료
emdoc1988.tistory.com
이번 포스팅에선 최근 응급실 근무 중 만난,"좀 더 일찍 응급실에 왔더라면 좋았을 안타까운 사례"를 소개하고자 한다.
환자는 68세 남자로,
고혈압과 당뇨병 이외 별다른 질병 없이 잘 지내오시던 분이었다.
자녀들과 따로 살고 있었는데, 전화 연락을 받지 않던 따님이 걱정되어 집에 가보니 우측편마비와 함께 실어증, 구음장애가 생겨 있었고, 그렇게 보호자들이 환자를 확인한 뒤에서야 응급실에 오게 되었다.
응급실에선 환자의 증상발생시각을 모르기에 급성 뇌졸중에 준하여 검사를 시행하였다.
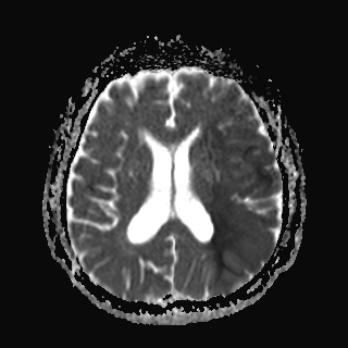
처음 시행한 환자의 brain DWI 검사이다.


환자의 brain DWI(뇌 확산영상)에서 좌측 MCA territory(중뇌동맥 영역)에 급성기 뇌졸중이 발생한 것을 확인할 수 있었다.
이정도로 큰 크기의 경색이면 대부분 큰 뇌동맥이 막혀서 생기는 질환(Large artery disease)이 많다.
때문에 바로 brain CT angio + perfusion 검사를 통해 뇌동맥의 막힌 부분을 찾고, 그 부분을 뚫어줄 경우 살아날만한 경계에 있는 뇌조직을 확인하기로 하였다.


예상대로 환자의 뇌동맥 중 좌측 중뇌동맥의 분지인 M2의 inferior division이 막혀 있는 상태로 확인되었다.

또한 perfusion CT 영상에서도 좌뇌 MCA 영역의 앞쪽 일부분은 경우에 따라 기능 보전이 가능해 보이는 영역이 있었다.
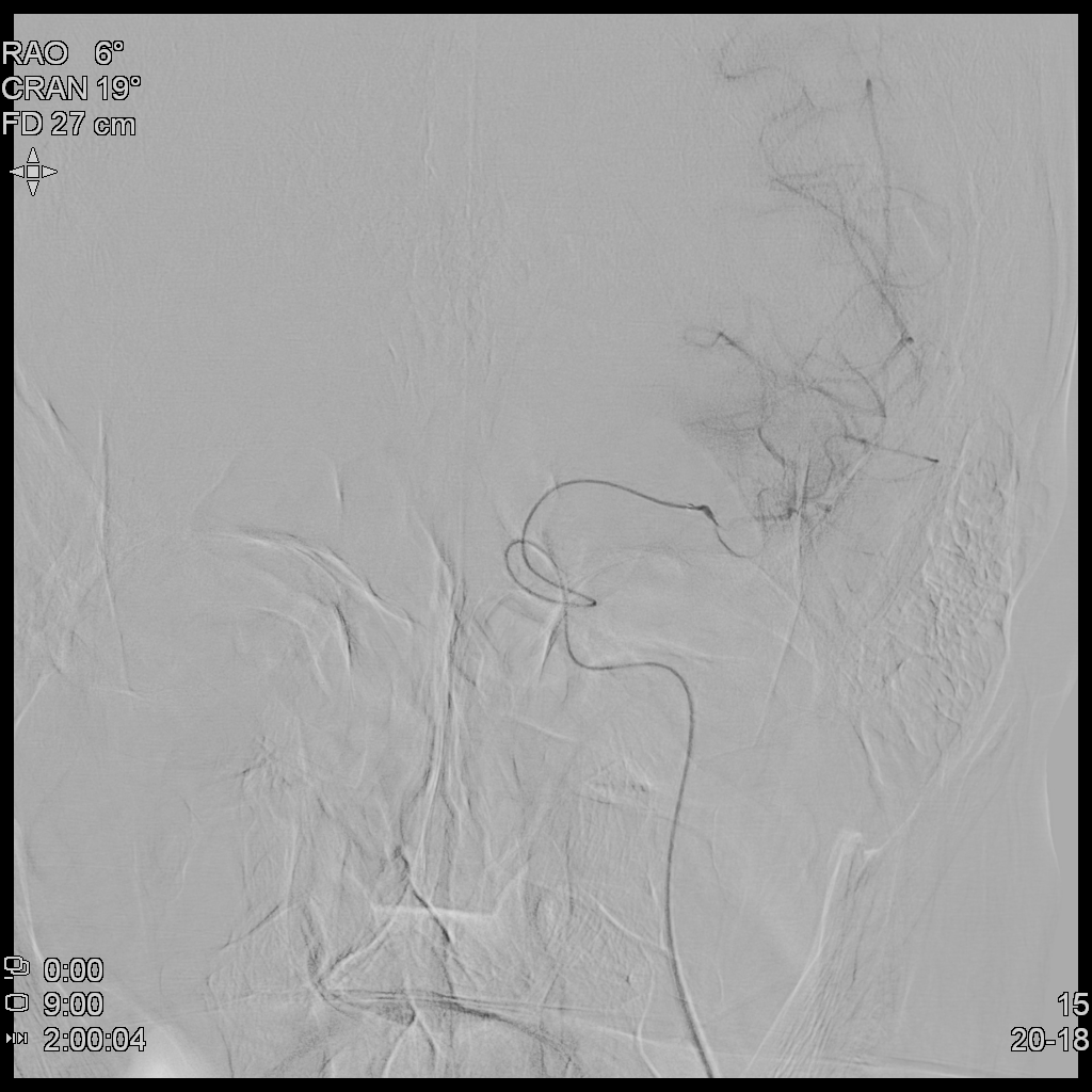
때문에 TFCA(Trans-Femoral Cerebral Angiography)를 통해 환자 뇌혈관의 막힌 혈관을 뚫어보고자 하였고, 환자는 1시간여만에 뇌혈관조영술을 시행하게 되었다.



뇌혈관조영술(TFCA)을 통해 어느정도 막힌 혈관의 일부를 뚫어내고 이후 혈류가 전달되는 모습을 확인하였다.
하지만, 환자가 병원에 시점은 뇌졸중이 발생한 지 상당히 시간이 지난 것으로 생각되었다.
환자는 TFCA 이후 약물 및 수액치료 등을 통한 재발방지, 재활치료를 위해 중환자실에 입원하게 되었다.
더군다나 경색의 범위가 넓어 손상된 뇌조직에 부종이 생기면 뇌 탈장(brain herniation), 뇌압상승(IICP) 등으로 생명도 위태로울 수 있는 상황이기에 반드시 중환자실로 입원해야만 하였다.
아쉽게도 이환자는 입원한지 10여 일이 지나도록 언어 및 운동기능에 별다른 회복 없는 상태로 지내고 있다.
이 환자야 말로 '골든타임(Golden time)' 이내 병원으로 후송되었다면, 지금과는 확연히 다른 예후를 보일 수 있는 환자였다는 생각에 아쉬움이 가득했다.
애매한 증상이 아닌 심각한 뇌졸중 증상에도 병원에 늦게 오는 환자들을 자주 보게 된다.
대부분은 가족들과 동떨어져서 지내는 독거노인들이 많은 것 같다.
문제는 이러한 환자들은 퇴원 한 이후에도 일상적인 생활로 복귀가 쉽지 않고, 건강관리 및 재활도 잘 안 되는 상태로 지내게 된다는데 있다.
사회는 발전해 가지만, 점차 가족들은 멀리 떨어져 지내게 되는 오늘날의 사회에서...
이러한 사례들이 점점 늘어만 갈 것 같아 씁쓸할 뿐이다.
'공부방 > 신경' 카테고리의 다른 글
| 이석증(BPPV, 양성 돌발성 체위 현훈) - PC(뒤쪽반고리관) (2) | 2024.06.12 |
|---|---|
| 급성 뇌졸중(acute stroke)에서 Perfusion CT의 역할! (1) | 2024.05.25 |
| 빙글빙글 어지러워요 - 이석증(BPPV - benign paroxysmal positional vertigo) (0) | 2024.05.18 |
| 응급실에 실신 환자가 온다면? - 실신의 평가 및 syncope rule (0) | 2024.02.20 |
| 의식 소실 후 완전한 회복 - 실신(Syncope) (2) | 2024.02.08 |