뇌출혈은 출혈의 위치에 따라 다음과 같이 분류할 수 있다.
subarachnoid hemorrhage (SAH, 지주막하출혈)
intracerebral hemorrahge (ICH, 뇌내출혈)
subdural hemorrhage (SDH, 경막하출혈)
epidural hemorrhage (EDH, 경막외출혈)
intraventricular hemorrhage (IVH, 뇌실내출혈)
지난번 SAH에 이어 오늘은 ICH, 뇌내출혈에 대해서 알아보도록 하자.
1. 역학, 위험요인
- 자발적인 ICH는 급성 뇌졸중의 8~11% 정도를 차지하고, SAH의 대략 2 배수에 이른다.
- 치명률, 사망률이 높은 질환으로 7일 사망률은 30%, 1년 사망률은 55%, 10년 사망률은 80%에 이른다.
- 생존자의 1/5 정도만 기능적으로 독립적인 생활을 할 수 있고, 나머지는 신경학적 문제를 안고 살아간다.
- 위험요인 : 고혈압, AVM(동정맥기형), 뇌동맥류, anticoagulant 사용, 교감신경흥분제의 사용, 뇌종양, 흡연, 고령
2. 증상
- 증상만 가지고는 뇌경색, SAH 등과 구분할 수 없다.
- 두통, 오심과 구토, 신경학적 이상소견을 동반할 수 있다. (출혈의 위치에 따른 신경학적 이상소견을 동반)
- 두통의 경우엔 SAH보다는 점진적으로 서서히 발생하는 양상을 보인다.
- 고혈압성 뇌내출혈 (hypertensive ICH)의 경우엔 brain의 putamen, thalamus, pons, cerebellum에 주로 발생한다.
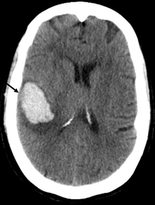
3. 진단

CT and MRI
- CT와 MRI 모두 진단적으로 사용 가능하고, 검사방법에 따라 장단점이 존재한다.
- CT는 출혈의 범위, 뇌실내로 출혈이 확장되는지 확인하기 용이하다.
- MRI는 뇌의 구조적인 병변을 확인하는데 용이하다.
- 응급실에서는 검사의 접근성 문제로 non-contrast brain CT가 추천된다.
- 응급수술이 필요하지 않은 안정적인 환자일 경우엔 원인에 대한 정보를 얻기 위해 CT angiography를 추가로 시행한다.
4. 치료
- 환자의 기도 확보 및 호흡보조를 시행한다.
- 신경학적 이상소견의 발생 여부를 주기적으로 확인한다.
- 두개내압상승(IICP, increased intracranial pressure)을 억제하기 위해 head elevation position(침상을 30도 정도 기울기로 만들어서 머리를 높게 위치시킴)을 취한다.
- 보다 적극적으로 두개내압을 감소시키기 위해서는 NM blocker를 사용 후 intubation을 하고 osmotic diuretics를 투약한다.
- 경련을 예방하기 위해 항경련제를 투약한다.
- 일반적으로 SBP 140~179mmHg을 목표로 혈압조절을 시행한다.
* SBP > 220mmHg인 경우엔, continous IV infusion을 이용하여 공격적으로 혈압을 조절한다.
* SBP 150~220mmHg인 경우엔, SBP target 140mmHg까지 혈압을 조절한다.
* antihypertensive treatment of Acute Cerebral Hemorrhage II study에서 SBP 110~139mmHg를 target으로 한 경우와 140~179mmHg를 target으로 조절 한 두 집단에서 사망률과 장애정도에 유의미한 차이가 없었다.
- 환자가 anticoagulant나 antiplatelt agent를 사용하고 있을 때에는 응고장애가 있을 수 있으므로 교정을 해준다.
* WFR의 antidote인 vit K, INR prolgation을 교정하기 위해 FFP를 사용한다.
* aspirin은 일반적으로 약을 중단하는 것으로 충분.
* heparin 계열의 약물은 protamine을 사용
* factor Xa inbitor(dabigatran)은 idarucizumab이라는 antidote가 있음.

'공부방 > 신경' 카테고리의 다른 글
| ICH management 최신지견 (0) | 2023.03.20 |
|---|---|
| 뇌출혈 환자의 약물로 인한 응고병증(coagulopathy)의 교정 (0) | 2023.03.12 |
| 뇌출혈(1) - 지주막하출혈 (SAH, subarachnoid hemorrahge) (0) | 2023.03.04 |
| 두통(Headache, HA) (0) | 2023.03.02 |
| 두통! 도끼로 내리 찍는것 같은 두통엔? CT or MRI (0) | 2023.03.01 |