흔히 뇌졸중이라고 하면 혈관이 막혀서 생기는 허혈성 뇌졸중만을 떠올리기 쉽다.
하지만 뇌혈관이 터져서 발생하는 뇌출혈도 뇌졸중에 해당하고 전체 뇌졸중 환자의 15% 정도를 차지한다.
뇌출혈은 출혈이 어느 공간에 발생했는지에 따라
subarachnoid hemorrhage (SAH, 지주막하출혈)
intracerebral hemorrahge (ICH, 뇌내출혈)
subdural hemorrhage (SDH, 경막하출혈)
epidural hemorrhage (EDH, 경막외출혈)
intraventricular hemorrhage (IVH, 뇌실내출혈)
로 구분할 수 있다.
오늘은 그중에서도 지주막 아래에 생기는 출혈인 SAH에 대하여 알아보도록 하자!
1. 병태생리
- 일부 환자는 외상과 관련하여 발생할 수 있다.
- 외상과 무관하게 발생하는 SAH의 75% 정도는 뇌동맥류와 관련 있으며 나머지 중 일부는 동정맥기형(AVM, ateriovenous malformation)이나 교감신경 흥분제 사용과 관련되어 생기기도 한다.
- 위험인자 : 가족력이 있는 경우, 흡연, 고혈압이 있는 경우
- 가장 흔한 원인이 뇌동맥류의 파열이고, 뇌동맥류는 대부분 뇌혈관이 분지 되는 부분에 생긴다. 많은 경우 circle of Willis라고 부르는 뇌동맥의 기저 부분에서 만나고 분지되는 부분에서 많이 생긴다.

- 유전적 요인과 관련 있는 것으로 되어 있고, 5~10mm 이상되는 크기일 경우 파열의 위험성이 높아진다.
2. 임상적 특징
- 응급실로 내원하는 SAH 환자들은 주로 갑자기 유발된 극심한 두통('thunderclap headache')을 호소한다.
- 살면서 겪은 두통 중 가장 심한 정도는 아니더라도 평소보다 심하고 다른 양상의 두통이 발생할 경우엔 뇌출혈을 의심해봐야 한다.
- 의식의 저하 또는 소실, 경련, 오심, 구토, 복시, 다른 신경학적 이상소견을 동반하며, 목덜미 경직(nuchal rigidity)이 보이기도 한다.
- 20% 정도의 환자는 혈압이 상승할 수 있는 활동(예를 들어, 운동, 배변, 성관계 등)을 하다가 증상을 겪게 된다.
3. 진단
3-1. Ottawa SAH Rule : 100% 민감도를 가지고 다음 조건을 모두 만족하는 경우엔 SAH를 배제할 수 있다.
- 40세 미만의 나이
- 목 통증이 없고 검진상 목의 강직이 없는 경우
- 의식저하가 없는 경우
- thunderclap HA이 아닌 경우
- 활동 시 발생한 두통이 아닌 경우
- 목 굽힘에 제한이 없는 경우
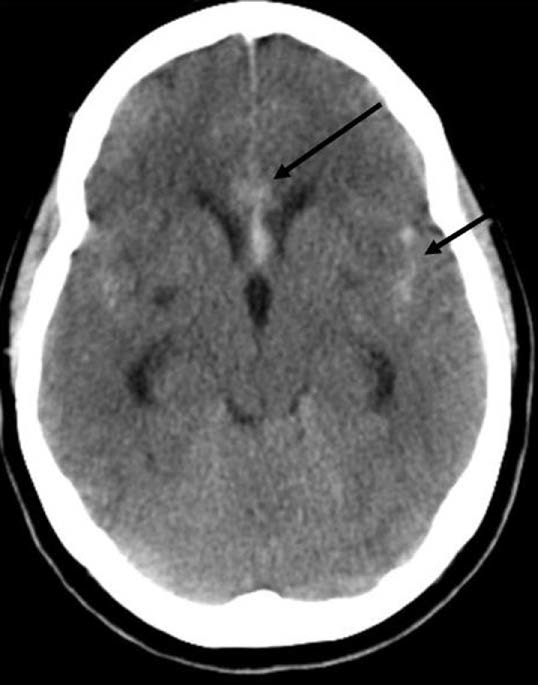
3-2. noncontrast brain CT : SAH가 의심되는 환자에서 가장 먼저 시행해야 할 검사이다.

- 증상 발생으로 부터 6~12시간 이내 촬영한 경우 민감도가 98%에 이른다.
- thunderclap HA 발생한 지 6시간 이내 환자에서 정상 brain CT 소견과 함께 정상 신경학적 검진소견은 SAH를 배제하는데 굉장히 민감하다. (SAH가 아니라 생각해도 무방!)
- 두통 발생 24시간 경과된 시점부터는 brain CT의 민감도가 떨어진다. 24시간에 91~93% 민감도, 1주 정도 지난 경우 50% 정도의 민감도를 갖는다.
- CT angiography나 brain MRI를 보조적인 수단으로 사용할 수도 있다.
3-3. Lumbar pucture (요추천자)
- SAH가 의심되는데 brain CT가 음성이라면 요추천자를 시행해 볼 필요가 있다.
- idiopathic intracranial hypertension이나 meningitis와 같은 다른 가능성도 평가할 수 있다.
- contraindiciation : coagulopathy, thrombocytopenia, brain herniation이 의심되는 경우
- CSF(뇌척수액)을 원심분리 시켰을 때 상청액에서 xanthocromia(황색색소증)을 띠는 경우에 SAH를 의심해야 한다. 다만, 검사 결과까지 12시간 정도가 소요되고, 다양한 변수로 검사 결과에 오류가 있을 수 있어 응급실에서는 잘 사용하지 않음.
- CSF의 RBC count(적혈구 숫자)를 측정하는 방법을 주로 사용한다. 보통 요추천자 후 3-4번째 튜브에 받은 CSF를 가지고 검사를 하게 되며, 여기서 RBC가 상당수 검출된다면 SAH를 의미한다.
- SAH를 진단에 필요한 RBC count의 cutoff value는 따로 제시되어 있지 않다. 다만 요추천자 과정 중에도 출혈이 생길 수 있고 이로 인해 RBC가 검출되는 것을 traumatic tapping이라고 한다. (보통 LP를 하면 10~15% 정도는 traumatic tapping 결과가 나옴) 이 두 가지 경우를 감별하기 위해 serial tube test로 보통 3~4개의 연속채취한 CSF tube를 함께 접수하여 RBC count를 비교해 보게 된다.
-일반적으로는 xanthochromia 반응이 없고 RBC count가 <5 × 10^6 RBCs/L 미만으로 검출되는 경우엔 SAH를 배제할 수 있다.
4. SAH의 분류, Grading scale
| Grade | Hunt and Hess scale | World Federation of Neurological Societies scale |
| 1 | mild HA, normal mental status, no cranial nerve or motor findings |
GCS of 15, no motor defecits |
| 2 | severe HA, normal mental status, may have cranial nerve defecit |
GCS of 13~14, no motor defecits |
| 3 | somnolent, confused, may have cranial nerve or mild motor defecit |
GCS of 13~14, with motor defecits |
| 4 | stupor, moderate to severe motor defecit, may have intermittent reflex posturing |
GCS of 7~12, with or without motor defecit |
| 5 | coma, reflex posturing or flaccid | GCS of 3-6, with or without motor defecits |
- 다양한 tool 이 있으나 Hunt and Hess sacle을 많이 사용한다.
- 점수가 높을수록 예후가 좋지 않음.
5. 치료
- SAH의 합병증으로 재출혈, 혈관연축, 뇌경색, 뇌부종, 수두증, 두개내 고혈압, 호흡부전, 심기능 이상, 패혈증 등 다양한 문제가 유발될 수 있다.
- 재출혈의 위험성을 낮추고, 뇌부종 미 두개내 고혈압 상황에서도 적절한 뇌혈류를 유지하기 위해 적정 혈압을 유지해 주는 것이 필요하다.
- 수축기혈압(SBP, systolic blood pressure)을 기준으로 120~160 mmHg 정도 유지하는 것이 합리적.
- 혈압이 매우 들쭉날쭉하게 되므로, titration 할 수 있는 정맥주사 약물을 선호, 주로는 labetalol이나 nicardipine을 사용.
- nitroglycerin이나 nitroprusside는 두개내 혈압을 올리고, 뇌부종을 악화시킬 수 있으므로 반드시 피해야 한다.
- 재출혈을 예방하기 위해 antifibrinolytics을 사용해 볼 수 있다. 다만, 약물 사용으로 ischemia가 생길 수도 있어 반드시 risk benefit을 따져 사용해야 한다.
- 혈관연축은 SAH 발생 2-3일 뒤에 주로 발생한다. 이를 예방하기 위해 nimodipine, 60mg po every 4 hours 용법을 추천한다.
- 호흡 보조 및 ICU care를 한다.
* 경험적으로는 SAH가 뇌출혈 중에서 가장 안좋은 예후를 보이는 것 같다. 의식 저하가 동반된 경우엔 적절한 치료 끝에도 사망하는 경우를 많이 보았다.
이번 포스팅을 통해 갑자기 극심한 두통을 경험하게 된다면 반드시 응급실로 내원하여 brain CT를 받아보시길 권유한다.
'공부방 > 신경' 카테고리의 다른 글
| 뇌출혈 환자의 약물로 인한 응고병증(coagulopathy)의 교정 (0) | 2023.03.12 |
|---|---|
| 뇌출혈(2) - 뇌내출혈 (ICH, intracerebral hemorrhage) (0) | 2023.03.05 |
| 두통(Headache, HA) (0) | 2023.03.02 |
| 두통! 도끼로 내리 찍는것 같은 두통엔? CT or MRI (0) | 2023.03.01 |
| 초급성 뇌졸중 환자가 응급실에 오면 (Stroke CP에 대하여..) (0) | 2022.12.20 |