40대 후반의 남성
새벽부터 좌측 가슴이 조여 오고, 점점 심해지다가 좌측 팔로 방사되는 통증까지 발생.
통증 발생한 지 5시간여 지나 응급실에 내원하였다.
환자는 10여년전 고혈압이 있었으나, 적절한 체중관리를 통해 약을 먹다 중단하고 지내왔다고 하며,
대략 1달전 건강검진으로 고혈압과 고지혈증이 새로 발견되어 약을 먹기 시작했다고 하였다.
20대에 잠시 흡연을 했었으나, 지금은 피우지 않았었고
심근경색이나 급사의 가족력은 없다고 하였다.
NRS 6~7점 이상의 흉통으로 내원한 상태로..
트리아지(triage) 이후 바로 심전도(ECG=EKG, electrocardiogram)를 시행하였다.

처음 촬영한 심전도에선
aVR에서의 ST elevation 소견과 함께 inferior lead인 II, III, aVF에서의 ST depression, 그리고 precordial lead에서 광범위하게 ST depression이 보였다.
보통 LM(left main coronary artery), proximal LAD(left anterior descending)이 막혔을 때 보이는 De Winter pattern의 심전도로 생각이 되었다.
바로 혈액검사를 시행하며, 관상동맥 조영술과 중재술을 시행하기 위해 심장내과에 연락을 취하고
환자에게는 심혈관 조영술에 필요한 검사 하며, Dual antiplatelet 및 heparin 약물을 로딩하였다.
또한, 환자의 증상을 조절하기 위해 nitroglycerin과 morphine을 주었다.
통증이 다소 완화되었고, 검사를 위해 기다리던 중 환자의 통증이 다시 악화되며 힘들어 하는 모습을 보였다.
바로 다시 심전도 검사를 해보았다.

처음 보였던 소견에 V1~3의 ST segment 가 1mm 정도 올라가는 양상이 확인되었다.
이는 심장 전흉벽 쪽의 혈관이 급격히 막혔음을 시사하는 소견이다.
심전도 소견이 바낀 것을 근거로 바로 심혈관조영술을 요청했고, 환자분은 곧장 시술을 받으러 갈 수 있었다.






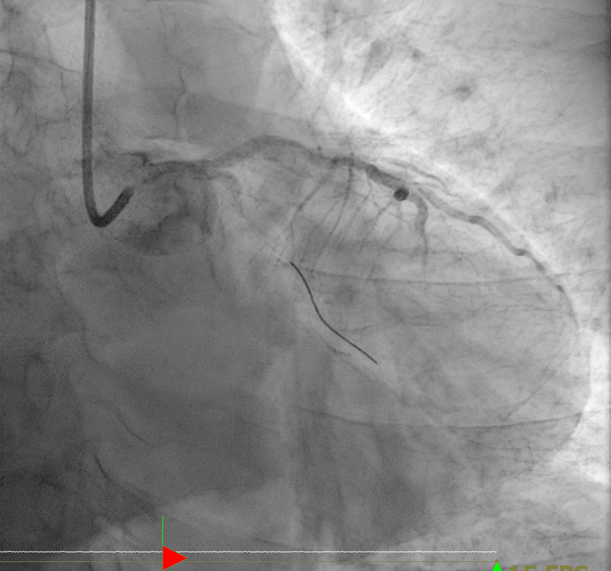
1번 영상에서 오른쪽으로 길게 뻗어있는 LAD(left anterior descending artery)의 모습과 근위부(proximal part)에서 막혀 있는 LCX(left circumflex artery)의 모습을 확인할 수 있다.
2~3번 영상에서는 막힌 LCX를 카테터를 통과시키고 thrombectomy를 하여 혈류가 어느 정도 나타난 상태이다.
4번에서는 다시 ballooning, stent insertion을 하는 모습이고
5번에서는 최종적으로 혈류가 회복된 모습을 보여주고 있다.
6번은 RCA(right coronary artery)의 모습을 보여주고 있다.
관상동맥 조영술 (Coronary angiography, CAG) 결과
- LM: OK
- LAD, prox. to mid, diffuse, 30-40% stenosis
Big D1, prox, diffuse, 60% stenosis
- LCX, prox. total occlusion -> thrombectomy ->No RS
- RCA, prox.to distal, diffuse, tandem, 30-40% stenosis
환자분은 성공적으로 막힌 관상동맥을 뚫어주는 시술을 하였고,
이후 중환자실로 입원하게 되었다.
시술을 마친 이후 시행한 심전도 사진

기존에 있었던 ST change 대부분 호전된 상태를 보이고 있다.
실제 시술하여 꺼낸 혈전의 모습을 마지막으로, 케이스 리뷰를 마친다.

'공부방 > 심장' 카테고리의 다른 글
| 고혈압 약은 언제 먹는 게 좋을까? (아침?, 저녁?) (0) | 2025.06.30 |
|---|---|
| De Winter 심전도란? (1) | 2025.05.03 |
| 심방세동( Afib, AF; Atrial Fibrillation)의 REVIEW ARTICLE (feat. JAMA) (0) | 2025.04.19 |
| 응급실에서 보는 고혈압 - Hypertensive crisis(고혈압 위기) (1) | 2024.11.20 |
| 혈압이 높다면 응급실에 가야하나요? (4) | 2024.11.16 |