‼️DNR이라고 아시나요?
Do Not Resuscitate의 약어인 DNR은 환자 사망 시 심폐소생술을 하지 않겠다는 서약을 말합니다. 병원에서는 동의서 형태로 'DNR'에 동의(서명)를 하지요.
지난 밤 응급실 근무 중 내원한 "DNR"에 동의 후 입원한 환자의 케이스입니다.
80대 후반 남성분이 치매로 요양원에 입소한 지 2년이 넘은 시점 갑작스러운 호흡곤란, 의식저하가 생겨 119 신고 후 응급실로 내원하게 되었습니다.

환자분은 기저병력으로 고혈압과 치매가 있었고, 치매로 집에서 돌보기가 어려워지면서 2년 전부터는 요양원에서 지내오고 있습니다.
그 사이 양측 고관절골절이 생겨 수술도 받았었고, 폐렴이나 장염 등으로 수차례 병원에 입원한 적이 있었고, 1년 전부터는 걷지 못한 상태로 침상에만 누워서 지내오고 있었으며, 지난주부터는 콧줄(L-tube, nasogastric tube)**을 통해 경관식이만 해오고 있었습니다.
** 콧줄이 궁금하실분들을 위해..
2023.10.25 - [공부방/중환자의학] - 의식없는 환자는 어떻게 밥을 먹나요? L-tube(Levin tube, nasogastric tube)에 대해서
의식없는 환자는 어떻게 밥을 먹나요? L-tube(Levin tube, nasogastric tube)에 대해서
일반적으로 사람은 입으로 음식을 먹어서 위장관으로 소화 및 흡수를 하여 영양공급을 한다. 하지만, 의식이 없거나 기관삽관을 해서 필연적으로 입으로 식사를 하지 못하는 경우가 있다. 정맥
emdoc1988.tistory.com
산소 공급을 하며, 의식은 조금씩 회복되었으나
거친 호흡소리와 함께 입안에는 많은 양의 가래와 액체 형태의 음식이 고여 있었습니다.
아마도 콧줄을 통해 넣어준 경관유동식을 게워내면서 입안을 가득 채우고 있어 보였습니다.
입안에 있는 음식/가래를 suction을 통해 제거해내면 산소포화도가 오르고, 조금 지나면 다시 차오르면서 산소포화도가 떨어지기를 반복했습니다.
환자의 현재 상태를 파악하기 위해 혈액검사, x ray를 해보니 염증수치들이 상승되어 있으며, 흉부 x ray로는 우측 폐로 무기폐가 의심되는 소견이 보였습니다.
환자가 보이는 증상 및 검사 소견을 종합하면 음식물의 흡인으로 인해 기도폐쇄 및 흡인성 폐렴이 생긴 상태로 보였습니다.
다만, 최근 변비가 심하고 복부 팽만감이 있어보여 기능적 장폐색도 의심되었기에 흉부 복부 CT를 촬영하기로 하였습니다.
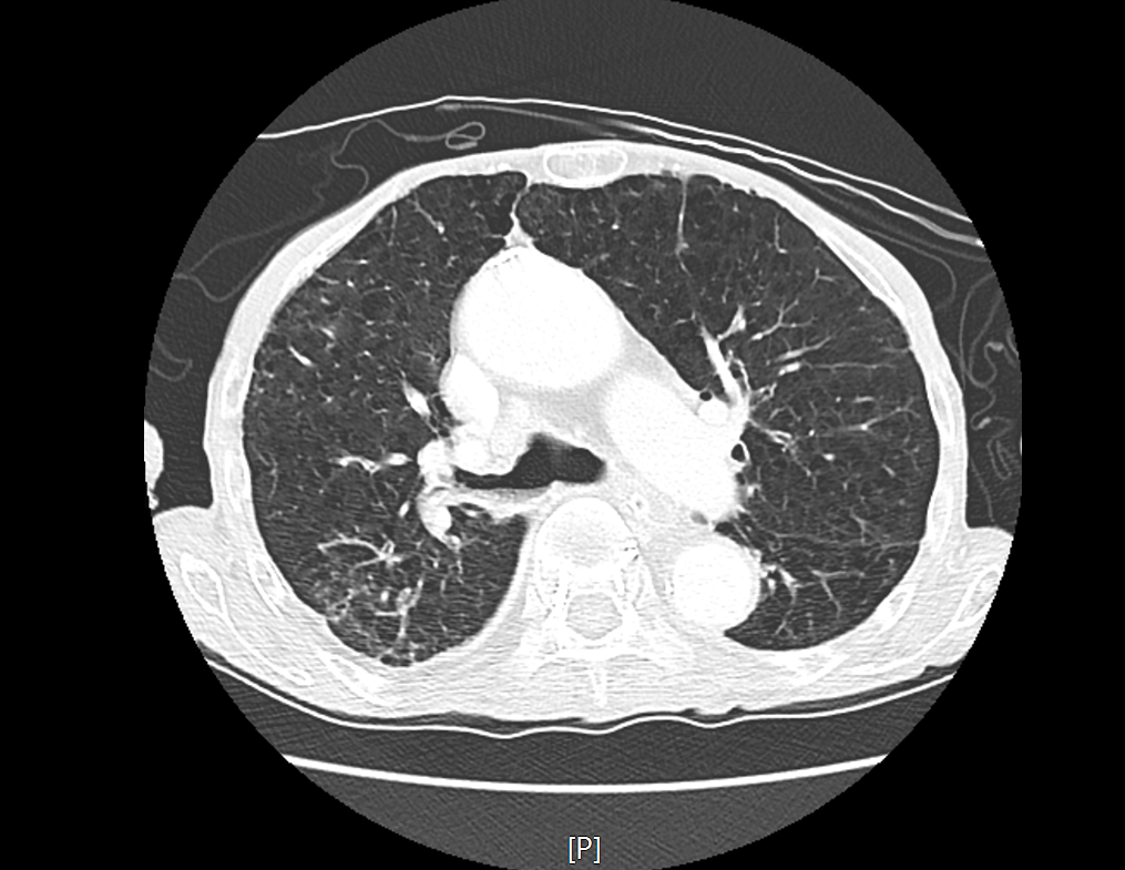
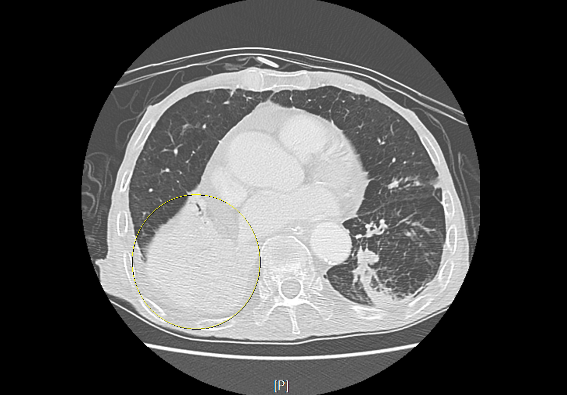
환자의 CT영상을 보시겠습니다.



위 CT영상을 보시면, 환자의 우측 기관지부터 공기 대신 음식물이 들어가 있는 모습을 볼 수있고, 그로 인해 폐실질에는 폐렴과 무기폐가 발생되어 있는 상황이었습니다.
이는 요양원에서 오는 환자분들에게서 흔히 보이는 폐렴의 형태로 흡인성 폐렴으로 생각할 수 있습니다.
위와 같은 질환은 삼킴장애가 있고, 구역반사 기능이 떨어진 환자, 주로는 노인 환자분에서 많이 생깁니다.
기관 삽관 후 기관지 내시경을 시행하고, 중환자실에서 치료를 하면 회복가능성은 있지만
퇴원 후에 비슷한 이벤트가 반복해서 생길 가능성이 높습니다.
자녀 보호자분에게 위와 같은 소견을 설명드렸고, 오랜 기간 환자를 간병하셨던 아드님은 결국 기관삽관 및 연명치료에 해당하는 치료들을 하지 않기로 하고, DNR에 서명을 하였습니다.
주로 연명치료의 범위로 설명드리는 부분은 다음과 같습니다.
1. 심폐소생술(CPR)
2. 기관삽관/기계환기 (intubation/mechanical ventilation)
3. 투석 (renal replacement therapy)
4. 승압제 사용 (vasopressor/inotropics)
5. 수혈 (transfusion)
6. 중환자실 입실 (ICU, intensive care unit)
기관삽관이나 투석은 몸에 새로운 도관을 삽입해야 하는 과정이 필요하며, 승압제(혈압을 올리는 약)와 수혈은 정맥 주사로 이뤄질 수 있습니다. 이러한 치료를 시시각각 환자 상태를 보며 시행하기 위해선 중환자실 입원이 필요하게 됩니다.
환자의 상태마다 차이가 있을 수 있으나, 심한 패혈증으로 임종기 과정에 있는 환자에게서는 어느 하나의 치료만 한다고 해서 회복을 기대하기는 어렵습니다.
우리몸이라는게 다양한 장기들이 서로 상호작용을 하면서 기능을 하므로, 이런 위기 상황을 극복하기 위해서는 위의 치료들이 동시 다발적으로 이뤄져야 하기 때문입니다.
고령화 시대, 노인인구가 지속적으로 늘어가고 있는 우리 사회에서
나와 가족의 미래에 대한 고민은 필수라 할 수 있겠습니다.
따라서, 부모님이나 가족들이 요양원에 입소하시게 되면 미래 언젠가는 발생할 수밖에 없는 상황에서 연명치료의 범위를 미리 생각해 두시는 게 좋습니다.
가족들을 모두 모아두고 실질적인 토의를 해보시고
사전연명의료 계획서를 작성하고
요양원에 이를 전달하는게 필요하다고 생각합니다.
가장 좋은건 요양원이나 의료시설 측에서 입소당시 환자 본인이나 가족들에게 직접적인 의사를 묻고 연명의료계획서(의향서)를 작성하게 하는 것이라 생각합니다.
이것만 잘 되어도 우리나라에서 의료비의 사회적 지출을 많이 줄일수 있지 않을까 생각합니다.
사전 연명의료의향서에 대해 궁금하시다면.. 아래 링크에 들어가서 확인해보시기 바랍니다.
https://lst.go.kr/addt/medicalintent.do
국립연명의료관리기관
제도소개, 작성 가능기관 찾기, 의료기관윤리위원회, 사전연명의료의향서 등록기관, 기록 열람, 교육안내
lst.go.kr
'넋두리 > 응급실&중환자실 이야기' 카테고리의 다른 글
| 할머니의 울음.. (0) | 2024.11.04 |
|---|---|
| 명절, 의료대란 응급실 이용 시 알아두면 좋은점 -응급실 프로세스 이해하기 (1) | 2024.09.15 |
| 응급실의 역할은 어디까지일까? (0) | 2024.09.04 |
| 적절한 흉수 천자의 예 - Pleural tapping / Thoracentesis (0) | 2024.08.19 |
| 140일 입원 끝에 회복 후 퇴원 하는 환자 (3) | 2024.08.05 |