알코올 섭취량이 많은 환자들이 복통을 주수로 응급실에 온다면, 췌장염을 걱정하지 않을 수 없다.
알코올 의존증이 있다고 생각되는 대부분 환자들은 거의 매일 술 1~2병은 기본적으로 드시는 분들이 많은데, 일주일에 몇 번, 한 번에 얼마나 먹는지 세세하기 물어보기 전까지는 절대 이야기해 주지 않는다.
최근 우리 응급실을 통해 중환자실에 입원한 20대 여성분이 있는데, 진단명은 다름아닌 췌장염이었다.
젊은 여성분으로, 걷으로 볼 때는 알코올 의존증을 생각기 어려울 만큼 일반적인 환자로 보였다.(알코올 의존증 상태에 있는 사람들은 기본적인 위생관리도 안되어 있고, 삶이 망가져 있어 보이는 경우가 많은데 이 환자는 그렇지 않았다.)
상복부 통증을 주소로 내원하였고, 내원일 아침부터 오심과 구토가 동반된다고 하였다.
그런데, 검진을 해보니 복부 전체적으로 단단하고 반발통이 있었다.
장천공?, 복막염?, 난소 파열? 등과 같은 다양한 질환들이 머리속을 스쳐갔고.. 이런 상황들을 확인하고 배제하기 위해 혈액검사가 나오기도 전에 abdomen&pelvis CT 검사를 시행하였다.
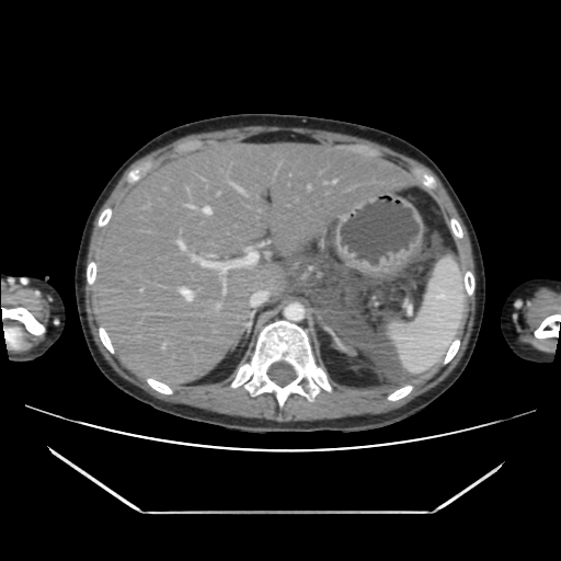
환자의 복부 CT 영상을 환자의 머리쪽에서부터 다리 쪽 방향으로 중간중간 한 컷씩 나열해 보았다.





CT 영상만 보더라도 환자는 괴사성췌장염으로 일부췌장과 주변 조직들이 녹아 있음을 알 수 있고, 이로 인해 복막염, 이차적으로 장마비 소견까지 보이고 있었다.
이에 췌장염을 확인하기 위한 혈액검사를 추가로 시행하게 되었고,

위와 같이 췌장에서 분비되는 효소가 아주 높아져 있음을 알 수 있었다. (** lipase는 췌장염에 특이도 높은 검사 결과로 lipase가 정상의 3배 이상 상승되어 있다면 췌장염으로 볼 수 있다.)
추후 확인해보니 환자는 수년간 하루 소주 1~2병 정도를 매일 마셨다고 했다.
환자의 중등도를 확인하기 위해 Marshall scoring을 확인했을때에는 0점으로 장기부전까지 악화된 상태는 아니었다.

다만, 환자의 전신 염증반응 상태를 확인하는 SIRS criteria는 3가지를 만족하여 심한 염증상태에 있다는 것을 확인할 수 있다.

환자의 mortality는 문헌에 따라 8~40% 정도로 상당히 중증의 괴사성 췌장염으로 생각되었고, 결국 중환자실로 입원하여 치료를 하게 되었다.
젊은 환자, 외관상 괜찮아 보이는 환자가 오더라도 실제론 상당히 중환자일 수 있다는 것을 이번 케이스를 통해 다시금 리마인드 할 수 있었다.
** 췌장염과 관련된 다른 포스팅이 궁금하다면, 아래 글들을 읽어보세요
2024.03.07 - [공부방/위장관] - 술 먹은 다음날 명치가 아프다면? - 급성 췌장염(acute pancreatitis)
술 먹은 다음날 명치가 아프다면? - 급성 췌장염(acute pancreatitis)
모든 급성 췌장염이 음주로 인한 것은 아니지만, 응급실에서 마주하는 가장 흔한 췌장염의 원인은 음주이다. 그것도 비교적 젊은 30~40대의 환자가 최근 과도한 음주를 한 이후, 심와부 통증이 심
emdoc1988.tistory.com
2024.06.22 - [공부방/위장관] - 십이지장 천공(duodenal perforation)으로 오인된 췌장염(pancreatitis)환자
십이지장 천공(duodenal perforation)으로 오인된 췌장염(pancreatitis)환자
오늘은 CT 판독으로 운명이 바뀐 case를 소개하고자 한다. 중앙조정센터를 통해 우리 병원으로 전원 된 69세 남자 환자의 CT 영상을 살펴보자.무엇이 보이는가? 위 CT는 복부 조영 CT를 촬영한 것
emdoc1988.tistory.com
'공부방 > 위장관' 카테고리의 다른 글
| CBD stone (총담관 담석)과 cholangitis (담도염) (4) | 2024.10.15 |
|---|---|
| Gallstone(담석)과 Acute cholecystitis(급성 담낭염) (5) | 2024.10.14 |
| 장천공, 복막염도 요즘엔 복강경 수술로 해결! (2) | 2024.07.01 |
| 동의서로 알아보는 내시경(1) - 상부위장관 내시경(EGD) (1) | 2024.06.26 |
| 십이지장 천공(duodenal perforation)으로 오인된 췌장염(pancreatitis)환자 (2) | 2024.06.22 |