이제 본격적으로 chest x ray를 해석하기 위한 방법을 공부해 보자.
본래 검사란 환자 증상 및 검진 소견을 토대로 내가 확인하고자 하는 병변을 x ray로 확인하는 과정에 가깝다.
하지만 영상의학과에서는 x ray를 판독할 때 별다른 환자의 정보가 없거나, 제한된 상황에서 판독을 해야 하므로 체계적인 접근방법으로 이상여부를 확인하는 것이 좋다. 그렇지 않다면 분명 놓치는 부분이 생길 수밖에 없다.
#. 흉부 X-ray 판독을 위한 체계적인 접근
기억하기 편하기 위해 알파벳 ABCDE를 이용하여 흉부 x ray에서 확인해야 할 것들을 살펴보자.
- A (Airway, 기도)
- B (Bones, 뼈)
- C (Cardiac, 심장)
- D (Diaphragm, 횡격막)
- E (Everything else, 그 밖의 것들)
1. Airway (기도)
- x-ray에서 trachea는 정중앙 위쪽에서부터 아래쪽으로 주행하며 심장 위쪽에서 양측 main bronchus로 분지 된다. 보통은 수직 아래로 곧게 주행하게 되는데, 여기 주행이 바뀌어 있다면 어떤 종양성 병변의 mass effect(부피를 차지하는 덩어리가 생겨 주변 구조물에 영향을 주는 효과)로 인한 것은 아닌 지 확인해 봐야 한다.

2. Bones (뼈)
뼈를 확인하기 위해선 별도의 x-ray 프로토콜이 존재하지만, 흉부 x ray에서도 기본적인 뼈의 모양과 위치는 확인할 수 있기에, 보이는 뼈에 이상은 없는지 눈으로 확인할 필요가 있다.
양측 clavicle(빗장뼈), Ribs(갈비뼈), humerus(상완골)과 scapula(견갑골)의 일부, 그리고 가능하다면 verterbra body(척추뼈)의 기본적인 이상 여부를 확인한다.


하지만 필자의 생각으론 각 뼈를 좀 더 정확하게 보기 위한 x ray 프로토콜들이 존재하므로, 뼈를 평가하기 위해서는 chest x ray가 아닌 좀더 특화된 x ray를 촬영할 필요가 있다 생각한다.
3. Cardiac (심장)
- CT ratio: Cardio-thoracic ratio
심장의 크기를 확인하기 위한 방법으로 흉곽의 너비 대비, 심장의 너비를 비교한다. 일반적으로 chest PA에서는 CT ratio가 50% 이하로. 측정되어야 정상이며, 50% 초과의 경우엔 심비대(cardiomegaly)를 의심할 수 있다.

다만 CT ratio의 경우엔 chest PA보다 chest AP에서 증가되는 소견이 있으므로, 위 0.5라는 기준은 chest PA기준임을 잊지 말자.

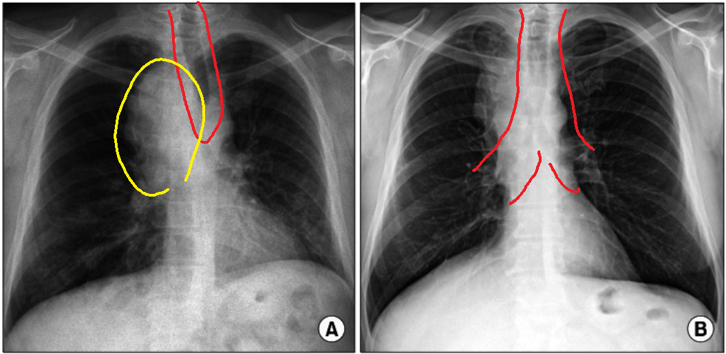
- Mediastinum: 종격동
종격동은 흉부의 좌우 폐의 가운데 공간으로, 아래 그림처럼 심장이 주로 자리 잡고 그 위로는 식도와 기관(trachea)이 있으나 x ray에서는 심장에서 나온 대동맥궁(aortic arch)이 종격동의 좌측 경계를 상대정맥(SVC, superior vena cava)이 종격동의 우측 경계를 형성하게 된다.

따라서 종격동의 확장(mediastinum widening) 소견이 확인된다면, 대동맥류와 같은 혈관이 커지는 질환을 의심해봐야 한다.
또한, 종격동에는 본래 공기가 차있지 않아야 하는데, 여기에 free-air가 확인된다면 기관이나 식도의 파열로 인해 종격동 기흉(pneumomediastinum)이 생기지 않았는지 확인해야 한다.

4. Diaphragm (횡격막)
횡격막은 폐와 복강을 나누는 구조로, 흉강의 압력을 생성하여 호흡을 가능하게 하는 근육이다. 상당히 얇지만 넓은 면적을 차지하고 있는데, 흉부 x ray에서는 횡격막 자체보다는 그 아래에 있는 간(liver)이나 장(stomach, intestine)으로 인해 하얗게 보이는 게 일반적이다.

원래 횡격막은 낙타의 봉우리처럼 다소 봉긋해야 하는데, 위 사진에서처럼 약간 평평해져 보이는 경우엔 폐가 과팽창 되어있기 때문일 수 있다. 이런 경우 COPD와 같은 폐쇄성 폐질환으로 폐의 용적이 증가한 경우일 수 있다.

추가로 위 사진에서는 얇은 횡격막이 확인되는데, 이는 장천공으로 인해 복강 내 free-air가 생겨 횡격막과 간, 장 사이에 공간이 생겼기 때문에 위 사진처럼 보이게 된다.
응급실에서 복통으로 내원하였음에도 흉부 x ray를 촬영하는 경우가 있는데, 이는 free-air 유무를 확인하기 위한 과정이라 생각하면 되겠다.
5. Everything else (그 밖의 것들..)
- 기흉 (pneumothorax)

- 폐렴 (pneumonia)

- 흉수 (pleural effusion)

출처 :
https://www.stepwards.com/?page_id=4353
Interpreting A Chest X-Ray - Stepwards
Page Contents1 OVERVIEW2 ORIENTATIONS USED FOR CHEST X-RAYS3 QUALITY MEASURES FOR A CHEST X-RAY4 ANATOMY ON CHEST X-RAYS5 SYSTEMATIC APPROACH TO INTERPRETING A FRONTAL CHEST X-RAY: ABCDE APROACH6 FRONTAL VIEW: AIRWAY7 FRONTAL VIEW: BONES8 FRONTAL VIEW: C
www.stepwards.com
'공부방 > 폐' 카테고리의 다른 글
| 무기폐(Atelectasis, collapsed Lung) - 증례 (0) | 2024.08.24 |
|---|---|
| 폐에 공기가 빠지면? - 무기폐(Atelectasis, collapsed Lung) (0) | 2024.08.23 |
| 흉부 x선 촬영에 대해(3) - chest x ray로 보이는 것들 (0) | 2024.07.17 |
| 흉부 x선 촬영에 대해(1) - 흉부 x ray의 종류 (0) | 2024.07.11 |
| 흉수(Pleural effusion)에 대한 감별진단 (4) | 2024.03.26 |