지난번 무기폐 포스팅에 이어 오늘은 무기폐로 인해 중환자실까지 입원하게 된 케이스를 공유해보고자 한다.
2024.08.23 - [공부방/폐] - 폐에 공기가 빠지면? - 무기폐(Atelectasis, collapsed Lung)
폐에 공기가 빠지면? - 무기폐(Atelectasis, collapsed Lung)
폐는 얇은 막처럼 된 공기주머니 정상적으로 공기로 가득 채워진 장기이다. 공기가 들어있어야 할 장기에 공기가 들어가지 못하게 된다면, 어떻게 될까? 바람 빠진 풍선을 생각하면 된다.
emdoc1988.tistory.com
무기폐(Atelectasis) 증례
80대 남성분으로
과거 폐결핵으로 치료받은 병력 이외 고혈압과 당뇨병으로 약을 드시던 분이었다.
일상적으로 활동하는데는 별다른 무리 없이 지내던 분이었고, 그렇기에 별다른 건강검진 없이 지내오셨다.
환자는 수일전부터 숨이 좀 차더니.. 갑자기 호흡곤란이 심해진다 하였고, 이를 걱정한 자녀들이 저녁시간 환자분을 모시고 응급실로 내원하게 되었다.
내원 시부터 산소포화도가 낮게 측정되는 상황이었고, 이에 따라 환자의 활력징후를 모니터 할 수 있는 구역으로 옮겨 진료를 시행하게 되었다.
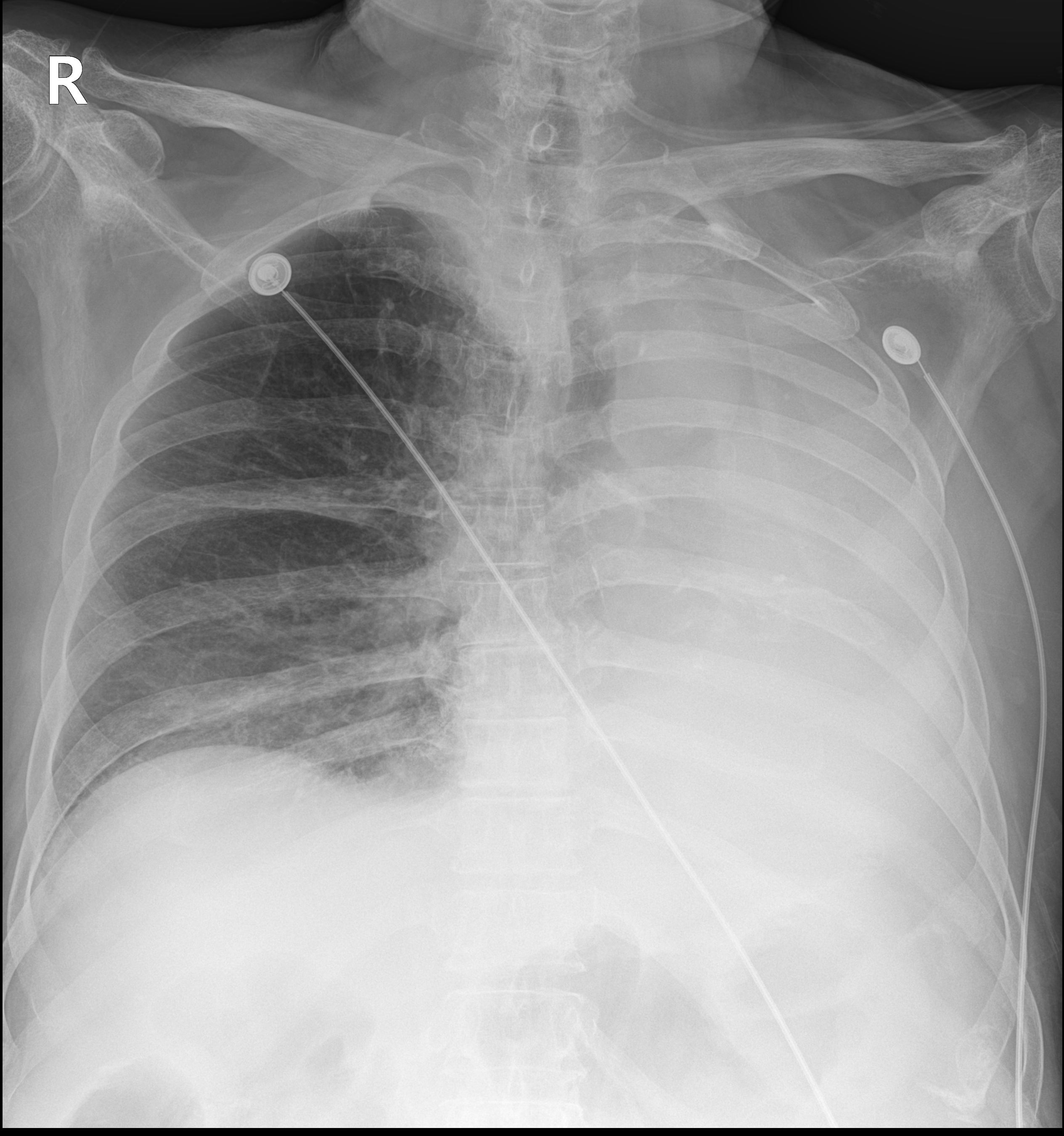
시행한 환자의 chest AP 사진이다.

사진을 보면 환자의 좌측 폐가 있어야 할 공간(사진의 우측이 환자의 좌측)이 하얗게 변해 있음을 알 수 있다.
기관이 좌측으로 편위(deviation)되어 있으며, 좌측 폐가 약간 쪼그라들어 보이는 소견을 보았을 때 무기폐를 의심해 볼 수 있는 상태였다.
문제는 환자가 서서히 증상이 발생한 것으로 생각되어, 암 때문이 아닐까 하는 생각에 CT를 촬영해 보게 되었다.

환자의 흉부 CT 검사 소견이다.
CT에 노랗게 표시한 부분이 환자의 좌측 폐로 가는 left main bronchus이고 여기에 뭔가가 안쪽으로 생겨 공기통로를 막고 있고, 그 결과로 좌측 폐 전체적으로 공기가 빠져나와 무기폐가 발생한 상태이다. 다만, CT 영상만을 가지고는 무엇이 기관지를 막고 있는지는 확인하기 어려웠다.
환자의 증상이 서서히 발생했다는 점과 최근 발열 및 다른 호흡기 증상(기침, 가래 등)이 없었다는 점을 고려했을 때 암의 가능성이 높다 판단했으나, 기관지내시경(bronchoscopy)을 하기 전까지는 정확히 무엇이 기관지를 막고 있는지 확신할 수 없었다.
환자는 입원하여 기관지내시경을 하게 되었다.
의료진의 염려와는 반대로 가래와 같은 점액이 확인되었고, 해당 점액을 씻어내고 시술을 종료하게 되었다.
이후 촬영한 환자의 흉부 x ray 사진을 보도록 하자.

쪼그라들어 있던 환자의 좌측 폐가 완전히 회복을하였고, 그 덕분에 편위 되었던 환자의 기관(trachea)도 제 위치를 찾아 중심에 위치한 모습을 볼 수 있다.
이후 환자는 산소 요구량을 줄일 수 있었고, 호흡곤란도 호전되었다.
결국 이 환자의 경우 찐득한 가래로 인해 기관지의 폐쇄, 그 결과로 무기폐가 발생한 상황이었다.
길지 않은 임상 경험이지만, 가래로 무기폐가 이렇게 심하게 발생한 경우는 처음이었기에 케이스를 공유해 본다.
'공부방 > 폐' 카테고리의 다른 글
| ARDS 환자에서 VV-ECMO 이후 mechanical ventilator의 setting (2) | 2025.06.16 |
|---|---|
| 폐색전증(PTE), 심부정맥 혈전증(DVT)의 위험 요소(Risk Factor) (0) | 2025.02.21 |
| 폐에 공기가 빠지면? - 무기폐(Atelectasis, collapsed Lung) (0) | 2024.08.23 |
| 흉부 x ray의 해석 - 체계적인 접근법(chest PA) (1) | 2024.08.15 |
| 흉부 x선 촬영에 대해(3) - chest x ray로 보이는 것들 (0) | 2024.07.17 |