예전 의대를 다닐 당시 간질환의 권위자인 '이효석'교수님께서 복부 신체검진을 가르쳐 주시는 시간에 해주신 말씀이 기억에 남는다.
'요즘엔 영상 및 검사기술이 발달해서 젊은 의사들은 신체검진보다는 검사를 선호하고, 그 결과 점점 신체검진을 소홀히 여긴다.'라고 하였다. (정확한 워딩은 아니겠지만, 그 당시 내가 받아들였던 뉘앙스를 살려 적어보았다.)
의사가 된지 10여 년 전문의가 된지 5년 정도 된 현재..
내원한 환자의 흉부 x ray 사진을 보던중..
x ray 만으로는 너무 애매(정보가 충분치 않다는 의미)하다는 생각을 하며
갑자기 이효석 교수님이 하신 말이 떠올랐고,
요즘 CT 기술의 발달과 접근성이 용이해지면서 x ray를 점점 소홀히 해가는 나를 보며.. 다시 기본으로 돌아가보자는 생각으로 x ray의 해석에 대해 공부해보고자 한다.
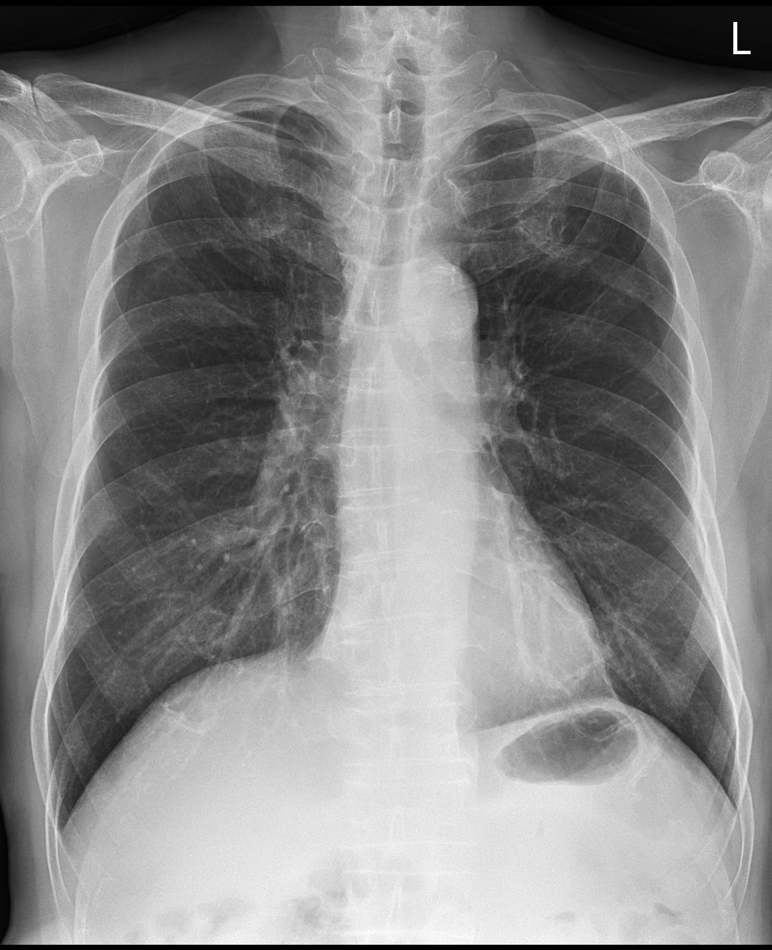
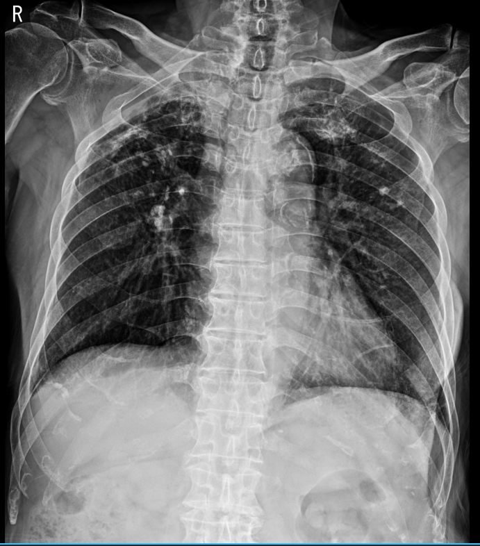
#. 기본 흉부 x ray - chest PA와 chest AP
응급실에서 흉부 x ray(chest x-ray) 검사는 기본 중에 기본적인 검사로, 흉통환자는 물론 호흡곤란, 기침/가래, 발열 등으로 내원한 환자들에게 기본적으로 시행할만한 검사이다.

기본적으로 x ray 검사는 장비를 이용하여 발생 시긴 방사능 x선을 환자의 몸에 투과시켜 필름에 투사시키는 방식으로 촬영하게 된다.
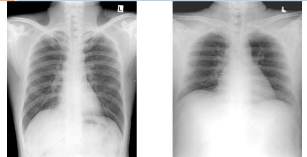
x ray를 뒤에서 앞으로 투과시키는 것을 posterior to anterior라고 해서 chest PA로 줄여 부르고, 반대로 앞에서 뒤로 투과시켜 얻은 영상을 anterior to posterior라고 하여 chest AP로 줄여 부르고 있다.

좌측의 x ray 사진은 chest PA를 오른쪽은 chest AP로 촬영한 사진이다.
한눈에 봐도 chest PA로 촬영한 것이 폐의 용적을 최대한으로 보여주기에 좀 더 선호되는 방식이고, chest AP는 환자가 서기 어려운 상황이거나 이동식 x ray 장비를 이용해야 하는 어쩔 수 없는 상황에서 촬영하는 방식이라 이해하면 편하겠다.
#. 특수한 흉부 x ray view - lateral view & decubitus, rib series
검사의 목적에 따라 추가로 촬영하게 되는 특수한 흉부 x ray 검사들도 있다.
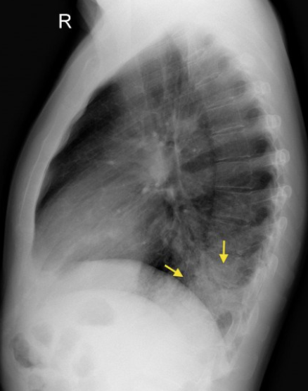
1. Lateral view ; 측면에서 촬영한 흉부 x ray
환자의 옆에서 촬영하게 되는 lateral view는 다음과 같은 뷰를 보여준다.



- 측면에서 촬영하는 lateral x ray view는 언제 촬영할까?
단순 chest PA에서 심장의 contour에 가려 잘 보이지 않은 병변이나, 폐에 생긴 병변의 위치를 3차원 적으로 파악할 수 있도록 도와줘 어느 폐엽에 병변이 생겼는지를 알 수 있도록 해준다. 위 사진에서는 좌측 폐, lower lobar pneumonia를 보여주는 사진이다.
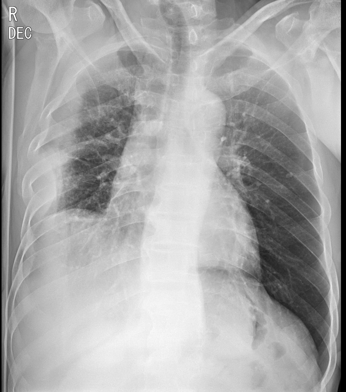
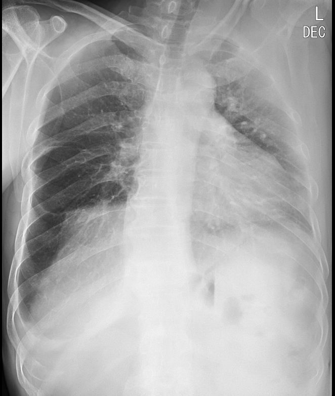
2. decubitus view ; 옆으로 누워 촬영하는 흉부 x ray
옆구리를 바닥에 대고 누워서 촬영한 영상은 다음과 같은 사진을 보여준다.



- 언제 Decubitus view를 촬영할까?
바로 pleural effusion(흉수)가 있거나 의심되는 상황에서 촬영하게 된다. 물병에 물을 담고 병을 세우거나 눕힐 때면 물은 중력에 의해 바닥에 깔리게 된다. 마찬가지로 흉수는 흉강안쪽에 차는 물이기 때문에 서있는 자세에서는 흉강의 가장 아래쪽 갈비뼈와 diaphragm이 만나는 위치인 CPA(costophrenic angle) 쪽으로 물이차게 된다. 따라서 chest PA에서는 해당 부분이 예리하지 않게 blunting 되는 모습을 보인다면 흉수를 의심할 수 있다. 양이 적을 경우엔 애매한 소견이 나타날 수 있는데, 이런 경우 decubitus view를 촬영하게 되면 흉수가 있는지 없는지 알 수 있게 된다.
위 사진을 예시로 보면 Chest PA로는 환자의 우측 흉강에만 흉수가 보인다. decubitus view를 촬영해 보면 우측으로는 흉수가 많이 보이고, 좌측은 적지만 흉수가 있어 보임을 알 수 있다.
3. Rib series ; 갈비뼈 골절을 확인하는 방법
갈비뼈 골절을 확인하기 위해 촬영하게 되는 chest x ray이다.



갈비뼈(rib)는 위아래로 근육이 잘 잡아주고 있는 구조로 이뤄져 있다. (돼지고기 등갈비를 생각하면 이해하기 쉽다.)
가만히 서있는 경우엔 주변 근육이 갈비뼈를 잘 잡아주고 있어 골절이 있는 부분도 어긋나는 경우는 매우 드문 일이다. 때문에 일반적인 chest pa로는 갈비뼈 골절을 찾아내는 것이 쉽지만은 않다.
하지만 좌우로 몸을 굽혀 갈비뼈 사이 공간을 벌어지게 만든다면 좀 더 쉽게 갈비뼈 골절을 진단할 수 있게 된다.
실제 케이스가 궁금하다면, 아래 포스팅을 확인해 보시길 바란다!
2024.05.28 - [공부방/외상, 근골격계] - 응급실 증례 - multiple rib Fracture (다발성 갈비뼈 골절)
응급실 증례 - multiple rib Fracture (다발성 갈비뼈 골절)
토요일에서 일요일로 넘어가는 새벽시간 경찰차 한대가 응급실 앞에 차를 주차한다. 응급실에서 간혹 경찰을 부르게 되는 경우가 있긴 하나 이번엔 아니었다. 얼마 지나지 않아 경찰관 두 분
emdoc1988.tistory.com
아래 출처와 본인의 지식을 이용하여 작성한 포스팅입니다.
출처 : https://www.stepwards.com/?page_id=4353
Interpreting A Chest X-Ray - Stepwards
Page Contents1 OVERVIEW2 ORIENTATIONS USED FOR CHEST X-RAYS3 QUALITY MEASURES FOR A CHEST X-RAY4 ANATOMY ON CHEST X-RAYS5 SYSTEMATIC APPROACH TO INTERPRETING A FRONTAL CHEST X-RAY: ABCDE APROACH6 FRONTAL VIEW: AIRWAY7 FRONTAL VIEW: BONES8 FRONTAL VIEW: C
www.stepwards.com
'공부방 > 폐' 카테고리의 다른 글
| 흉부 x ray의 해석 - 체계적인 접근법(chest PA) (1) | 2024.08.15 |
|---|---|
| 흉부 x선 촬영에 대해(3) - chest x ray로 보이는 것들 (0) | 2024.07.17 |
| 흉수(Pleural effusion)에 대한 감별진단 (4) | 2024.03.26 |
| Empyema(농흉) - Pleural cavity의 Pus (2) | 2024.03.24 |
| 천자를 했더니 고름이 2L가 나왔다. 농흉으로 진단된 환자! (0) | 2024.03.19 |