#. 확장성 심근병증(Dilated cardiomyopathy)

1. 정의
- 심실의 수축기능이 저하되면서 심방과 심실의 확장이 진행되는 질환
- 심근병증 중에서 가장 흔한 타입!!

2. 원인
- 특발성(~50%), 가족성
- 이차성 : 만성적 과음, HIV 감염, 항암제(doxorubicin, herceptin, imatinib)
- Stress-induced cardiomyopathy(Takotsubo), peripartum, tachycardia-induced, alcoholic
3. 임상 양상
1) 병력
- 확장성 심근병증의 가족력
- 서서히 진행하는 좌, 우심실부전 증상
- 모호한 흉통이 동반될 수 있음.
- 전신 색전증이나 뇌경색, 부정맥에 의한 실신 등이 발생하기도 함.
2) 신체검진
- 작은 동맥압(narrow pulse pressure), 내경정맥압(IVP)의 상승
- 전수축기 잡음(pansystolic murmur), 제3/4 심음이 흔히 청진
4. 주요 검사 소견
1) 흉부 x 선
- 심비대, 폐울혈, 폐부종
2) 심전도
- 동성빈맥, poor R wave progression, 각차단, 비특이적 ST-T파 이상.
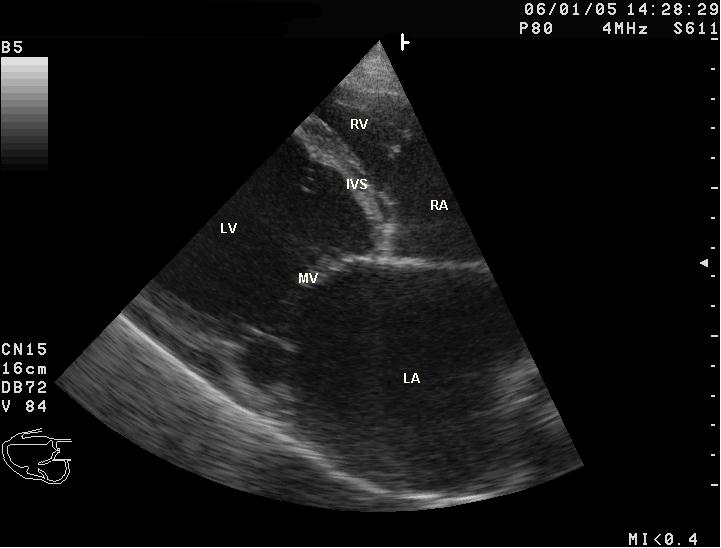
3) 심초음파
- 좌심실 확장, 좌심실 수축기능 저하, 심실중격 두께는 정상, 승모판 역류


4) 혈액검사
- TFTs, ANA, ESR, iron studies, HIV
5) 관상동맥조영술
- 허혈성 심질환 동반 의심 시에 시행
5. 치료
- 대부분 악화 경과를 보인다.
- 특히 55세 이상에서 증상이 발현한 경우 나쁜 예후
- 1/4에서 저절로 호전되거나 진행이 멈춘다.
- 주요 사인은 심부전의 악화 및 심실성 부정맥에 따른 급사
1) 심부전에 대한 일반적인 치료
2) 심실재동기화 치료 혹은 삽입형 제세동기 시술 고려
3) 내과적 치료에 반응하지 않은 경우 심장이식 고려
'공부방 > 심장' 카테고리의 다른 글
| 마음의 상처로 인한 심장병.. 상심 증후군(Broken Heart Syndrome) (0) | 2024.05.13 |
|---|---|
| 심근병증(2) - 비후성 심근병증(HCMP, hypertrophic cardiomyopathy) (0) | 2024.05.11 |
| Cardiac inotropics(수축촉진제)에 대해서 (0) | 2024.05.06 |
| 심부전(heart failure)(4) - 심부전의 급성악화 및 치료 (0) | 2024.05.04 |
| 심부전(heart failure)(3) - 심부전의 일반적 치료 (2) | 2024.04.26 |