중년의 남성이 출근준비를 하던 중 갑작스러운 흉통이 찾아왔다.
가슴이 답답하고 조이는 것 같았고, 약간 숨찬듯한 느낌과 함께 식은땀이 났다.
통증이 생긴 지 30분이 넘어도 좋아지질 않아 인근 응급실을 방문하게 되었다.
이런 경우 일반적으로 가장 걱정하는 것은 '심근경색'을 비롯한 급성 관상동맥 질환이다.
다양한 검사를 거쳐 급성 관상동맥 질환이 의심된다면, 이후 정확한 검사 및 치료를 위해 시행해야 할 검사는 바로 심도자술을 통한 관동맥 조영술이다.
위와 같은 상황에서 환자는 시술의 대략적인 정보와 내용이 담긴 동의서에 대한 설명을 듣고 시술 여부를 결정하게 된다.
내가 환자라 생각하고 동의서의 내용을 먼저 살펴보자






자, 어떤가?
동의서의 내용이 쉽게 이해되는가?
동의서에 나오는 단어들은 의료인이 아니라면 상당히 생소하고 복잡한 이름일 것이다.
지금부터는 동의서를 조금씩 나눠서 그 의미를 살펴보도록 하자!
1. 환자의 정보

동의서의 맨 처음은 시술을 받는 환자의 정보를 기입하는 곳이다.
환자의 이름과 나이, 성별은 개인정보이므로 삭제하였다.
이 환자가 어떤 진단명으로 시술을 받는지, 받는 시술은 어떤 것인지, 언제 시술을 받는지, 누가 시술을 집도하는지를 기입하게 된다.
또한, 이 환자의 현재 상태로 기저병력은 어떤 게 있고, 흡연이나 알레르기, 약물 복용 여부등을 기록하게 된다.
2. 시술에 대한 설명
그다음으로는 시술에 대한 설명을 하게 된다.
해당 시술이 어떠한 목적으로 시행되고, 어떤 방법으로 하게 되는지, 그리고 발생 가능한 부작용과 시술을 하지 않았을 때 예상되는 결과 등을 차례대로 설명 듣게 된다.
그 용어가 어려우므로 하나씩 알아보도록 하자!
2-1. 심도자술

심도자술은 심장의 "심"과 catheterization을 뜻하는 "도자술"의 합성어이다.
Catheter라는 길고 가느다란 관을 카테터(catheter)라고 하는데, 이를 통한 시술을 catheterization(도자술)이라고 한다.

따라서 심도자술이란, 심장에 위와 같은 카테터를 이용하여 접근하여 심장내부에서 혈액을 취득하거나 압력을 측정할 수도 있고, 조영제를 뿌리고 x ray를 통해 그 조영제의 그림자를 확인하며 심장의 모양이나 혈류의 흐름을 확인할 수 있게 된다. 따라서 심장의 구조 및 심장 내의 압력, 산소포화도 등 다양한 정보를 얻을 수 있게 된다.
또한, 급성 심근경색으로 인해 응급하게 관상동맥 조영술을 하는 경우엔 대동맥궁의 모양을 확인하고 대동맥박리 여부를 확인할 수도 있다.
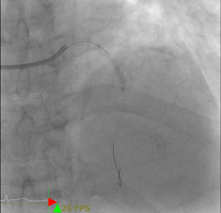
다만, 환자의 손목이나 사타구니의 큰 혈관을 이용하여 혈관내부로 위와 같은 카테터를 삽입해야 하기 때문에 비교적 침습적인 검사라 할 수 있으며, 대부분 입원을 통해 검사를 하게 된다.
2-2. 관동맥 조영술

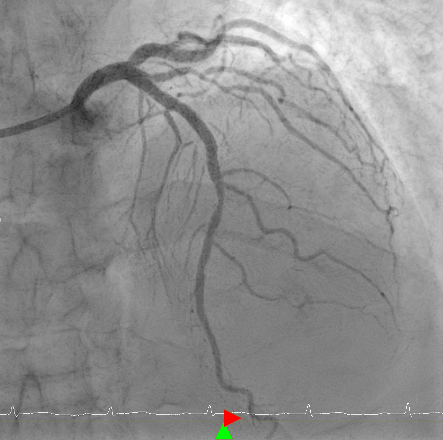
관동맥(관상동맥) 조영술이란, 심장에 위치한 심장을 먹여 살리는 혈관인 관상동맥의 상태를 확인하기 위해 시행하는 검사로 심도자술에서 사용한 카테터를 이용하여 심장 관상동맥 안쪽으로 조금씩 조영제를 써가며 그림자를 확인하는 방법이다.
영어로는 Coronary angiography라고 하는데, 조영제가 충전된 혈관의 그림자 모양을 본다는 의미에서 angiography(혈관조영술)라는 용어를 사용한다.

관상동맥 조영술을 위해서는 동맥 혈관 안쪽으로 접근을 해야 한다. 주로는 사타구니에 위치한 대퇴동맥(femoral artery) 또는 손목에 있는 노동맥(radial artery)에 가느다란 바늘로 위치를 찾고 이후 시술을 위한 카테터가 드나들 수 있는 플라스틱 튜브를 거치하는 식으로 진행하게 된다.

실제 관상동맥 조영술 중 촬영한 영상으로, 가늘고 기다란 카테터를 진입하여 심장의 관상동맥을 확인하고 좁아지거나 막힌 부분을 찾게 된다.
이후 막혀있는 혈과는 뚫어주고, 좁아진 혈관은 넓혀주는 시술(ballooning)을 진행하게 된다. 그리고 이후 넓혀진 혈관의 내벽이 잘 유지되도록 스텐트(stent)를 삽입하게 된다. 스텐트는 그물모양의 금속을 뜻하며 스텐트를 설치하는 시술을 stenting이라고 한다. Ballooning과 stenting 등 조영술을 하면서 치료적 개념으로 하는 시술을 관상동맥중재술(PCI, percutaneous coronary intervention)이라고 한다.



3. 시술 전후 지켜야 할 사항

심도자술이나 관상동맥 조영술의 시술 전 준수해야 할 사항으로는 6시간 이상의 금식이 필요하다.
시술 이후엔 시술 도중 꿰둟은 혈관 부분으로 출혈이 생길 수 있으므로, 6시간 이상의 압박대의 사용과 함께 지혈이 필요하다. 손목의 노동맥(radial artery)으로 시술을 한 경우엔 간단한 장비를 이용하여 손목을 압박할 수 있으나, 사타구니의 대퇴동맥(femoral artery)의 경우엔 혈관의 크기도 크고, 혈관이 비교적 깊은 곳에 위치하므로 재출혈의 위험성이 높아 반드시 누운 상태에서 해당 부분을 특수 장비나, 모래주머니 또는 의료진이 직접 눌러서 지혈을 시켜야 한다.
4. 시술의 후유증과 합병증

1) 혈관의 손상, 출혈, 염증
혈관에 직접적인 손상을 주는 시술이므로, 안정된 상태로 잘 지혈하지 않는다면 혈관과 관련된 다양한 문제들이 발생할 수 있다. 필자가 임상에서 겪어본 문제는 출혈이 가장 많고, 그다음으로는 혈관에 발생하는 가성동맥류가 있었다.
2) 부정맥
심장에 직접적인 영향을 주는 시술이다 보니 시술 도중 부정맥이 생길 위험성도 높다. 하지만, 꼭 시술 때문이라고 보기만은 어려운 게 급성심근경색만으로도 다양한 부정맥, 심정지 등이 발생할 수 있다. 당연히 시술도중에도 부정맥이 발생할 경우 대처할 수 있도록 심전도를 지속적으로 모니터링하고 즉각적인 전기충격이 가능하도록 준비를 하고 시술을 진행하는 게 일반적이다.
3) 뇌경색 및 뇌혈관의 출혈, 혈전
우리 몸의 혈액은 외부 공기에 노출되거나 다른 물질과 접촉하게 되면 응고하려는 성질을 갖게 된다. 따라서 혈관 안에 기다란 카테터를 넣는 시술 중에는 불가피하게 혈액응고를 억제하기 위해 헤파린이라고 하는 항응고제를 사용하게 된다. 가이드라인에 따라 적정 용량의 항응고제(주로는 헤파린)를 사용하게 되나, 약물에 대한 반응이 사람마다 다를 수 있으므로, 출혈이나 혈전생성등의 상황이 발생할 수 있다.
4) 심근경색증
시술도중 관상동맥 내의 불안정한 죽종(죽상동맥경화로 혈관 내에 축적된 콜레스테롤 및 단백질, 칼슘 등의 침착물)이 떠지면서 급성 심근경색이 발생할 수도 있고, 이형협심증 등을 진단함에 있어 사용하는 약물로 혈관 협착이 생기면서 심근경색증을 유발시킬 가능성도 있다.
5) 심장천공, 심장압전
죽상동맥경화가 심하게 진행된 혈관은 탄성을 잃고 딱딱해지게 되는데, 시술을 위해 사용하는 카테터에 의해 찢어는 경우가 발생할 수 있다. 이로 인해 심장 주변으로 피가 차면서 심장압전이 발생할 수 있다.
또한, 허혈로 인해 약해진 심장근육이 와이어로 인해 뚫리면서 심장천공이 발생하기도 한다.
6) 급성 스텐트 혈전증
조영술을 통해 스텐트를 삽입한 이후 스텐트 안쪽이 다시 막히는 경우이다. 스텐트는 우리 몸의 입장에서는 이물질이기 때문에 그 주변으로 피가 굳으려는 경향이 생긴다. 따라서 스텐트 안쪽으로 혈전이 생기며 다시 막히는 경우가 발생할 수 있다. 물론 지나면서 스텐트에 biofilm이 만들어지면 혈전이 생성되는 경향도 줄어들 수 있으나, 시술 직후 이러한 반응을 억제하기 위해 항혈소판제를 사용하게 되고, 갑작스러운 혈전생성으로 심근경색이 발생하는 것을 감시하기 위해 중환자실 또는 집중치료실에서 경과 관찰을 하는 경우가 대부분이다.
7) 조영제 알레르기 반응
조영술을 위해선 조영제라는 x ray가 잘 투과되지 않는 물질을 사용하게 되는데, 일부환자들에서는 조영제 알레르기가 있는 경우가 있다. 대부분 경미한 증상으로 피부 발진, 간지럼, 두드러기가 생기는 경우가 많으나 경우에 따라서는 극심한 알레르기 반응으로 호흡곤란, 흉통, 쇼크, 의식저하 등이 생길 수 있으며, 조영제 사용으로 인해 신장기능이 손상되는 경우도 발생할 수 있다.
8) 사망
위와 같은 합병증들로 인한 사망 가능성이 존재하며, 치명률은 시술 환자의 0.1% 정도로 보고 있다.
하지만 시술을 하지 않을 경우 발생할 위험성이 더 크다고 보기 때문에 시술을 강하게 권장하는 바이다.
5. 시술을 하지 않는다면?

위에 많은 시술 관련 합병증과 후유증을 보고 나면, 시술을 해야 할지 말아야 할지 걱정이 될 것이다. 하지만 적어도 응급실에서 위와 같은 시술을 권유한다면, 그것은 시술을 해서 발생가능한 합병증의 위험보다 시술을 하지 않아 생길 위험이 훨씬 더 크다고 보는 것이다. 따라서 본인이나 가족이 응급실에서 위와 같은 시술을 해야 한다 권유받았다면 시술을 받길 권유드린다.
다양한 합병증들이 생길 수 있으나, 실제 발생하는 빈도자체는 각각 1% 내외로 높지 않으며, 환자의 상태가 좋지 않을수록 위와 같은 합병증이 발생할 확률이 높아진다.
만에 하나 합병증이 발생하였다고 하더라도 대부분 추가적인 처치로 해결할 수 있는 경우가 많다.
따라서 합병증이 발생할까 걱정되어 검사 및 치료를 지연하는 것은 옳지 못하다고 생각한다.
6. 기타
- 시술과 관련하여 사용할 수 있는 비급여 항목들 : 검사 및 치료를 위해서는 부득이 사용해야 하나 건강보험 기준에 합당하지 않아 비급여 항목으로 추가 비용이 발생할 수 있는 부분이다.
- 수혈 : 출혈이 심하게 발생한 경우엔 수혈이 필요할 수 있다.
- 통증에 대한 설명
- 나머지 부분들은 크게 어렵지 않으므로 동의서 내용을 읽어보는 것으로 충분하다 생각된다.
'공부방 > 심장' 카테고리의 다른 글
| 협심증(Angina pectoralis)이란?(2) - 불안정 협심증 (2) | 2024.01.04 |
|---|---|
| 협심증(Angina pectoralis)이란?(1) - 안정 협심증 (8) | 2023.12.28 |
| 급성 심근경색(Acute myocardial infarction, AMI) (0) | 2023.12.12 |
| 대동맥판막의 노화의 결과; 대동맥판막협착(AS, Aortic stenosis) (1) | 2023.04.17 |
| 브루가다 증후군(Brugada syndrome)이란? (2) | 2023.03.15 |