응급실에서 근무를 하는 응급의학과 전문의들에게 물어보면 가장 힘들어하는 것 중 하나가 바로 전원일 것이다!
전원(transfer)이란, 환자가 입원이 필요한 상황인데 현재 환자가 위치한 병원에서는 입원병실이 없거나, 환자에게 필요한 처치(검사, 치료, 수술 등)가 불가능한 경우 환자가 적절한 치료를 받을 수 있는 병원을 알아보고 해당병원으로 환자를 옮기는 일련의 과정을 말한다.
이론적으로는 크게 어렵지 않으나, 이런 전원이 필요한 경우의 환자는 일반 병원에서는 검사와 치료가 용이하지 않은 복합적인 문제가 있거나, 중환자실 입원치료나 수술적 치료등이 필요한 경우가 많다.
따라서 대부분의 전원이 필요한 환자들은 상급병원으로 전원을 하는게 일반적이다.
최근 중환자실 근무를 하면서 있었던 사례를 하나 소개하고자 한다.
- M/47
- PMHx : DM, HTN, ESRD on HD (월,수,금)
- C.C: cardiac arrest during interrmittent hemodialysis
47세 남자 환자로, DM-ESRD로 월, 수, 금요일 인근병원에서 투석을 하면서 지내던 분이다.
환자는 내원일 투석을 시작한지 40분 만에 심정지가 발생하여, 서울에 있는 인근 병원 응급실로 후송이 되었고, 해당병원 도착 후 ROSC(return of spontaneous circulation으로 소생됨을 의미함.)되어 적절한 치료가 가능한 병원으로 전원을 알아보던 중 서울지역 상급종합병원들에서 수용이 모두 불가한 상태로 인천에 있는 우리 병원까지 전원을 오게된 환자였다.
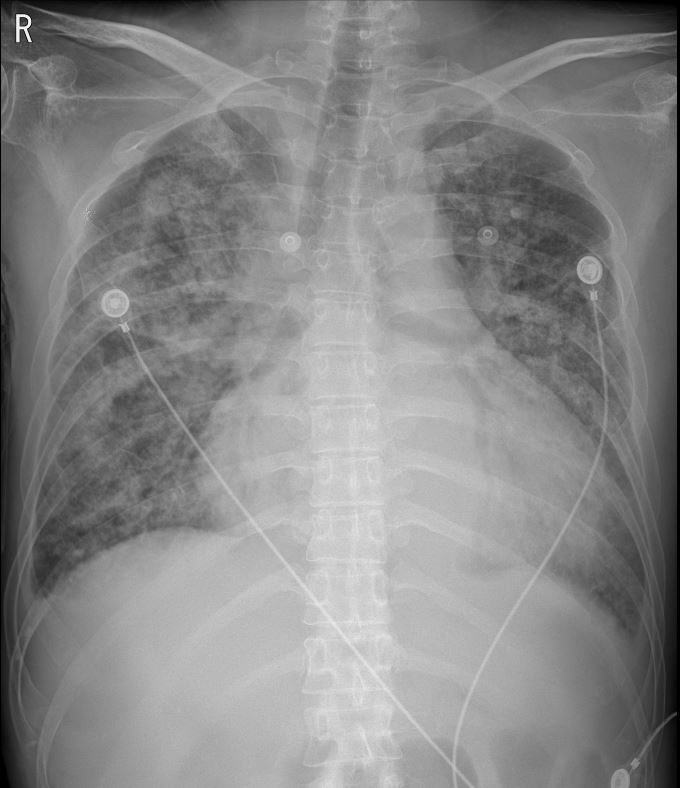
우리병원 응급실에 도착한 상태에서 환자의 의식은 회복된 상태였고, 혈압이나 심박수는 안정되어 있었다. 하지만 산소요구량이 높은 상황에서 양측 폐의 호흡음이 좋지 않았다. 발열 또한 동반되어 있는 상태였기에 호흡기감염병을 의심하여 격리실에 격리된 상태에서 코로나 검사 결과를 기다리며 흉부 CT를 촬영하게 되었고, 환자의 양측 폐는 심각한 정도의 폐렴이 있음이 확인되었다.
안타깝게도 응급 covid-19 pcr 결과에서 양성 소견을 보이게 되었고, 중증 코로나 격리병상이 이미 차있는 관계로 우리 병원에서도 환자의 입원이 불가능하게 되었다.
따라서 응급실에서 근무하던 선생님이 다시 격리가 가능한 중환자병상이 있는 병원으로 전원을 알아보게 되었고, 인천권역에서 다행히 수용가능한 병원이 있어 해당병원으로 전원을 준비하던 중 문제가 생기게 되었다.
우리 응급실에 있는 2-3시간 동안만에 환자의 산소요구량이 급격히 늘어나 적절한 산소포화도 유지가 어려운 상황이 되었고, 결국엔 기관삽관을 하기로 결정하고 RSI(rapid sequential intubation)의 일환으로 진정제와 근이완제를 투약하자마자 환자에게 다시 심정지가 생긴 것이다.
우리 병원엔 심정지가 발생함을 알리는 방송이 나왔고, 중환자실에서 환자를 돌보던 나도 돕기 위해 응급실로 어서 뛰어 내려갔다.
기관삽관을 하고, 다행히도 ambu bagging을 하면서 환자는 소생술 2사이클 정도만에 회복이 되었다. 하지만 상황은 여전히 좋지 않았다. 아무리 고용량의 산소를 줘도 환자의 산소포화도가 60~70%선에서 더 이상 오르지 않는 것이었다. (보통 96% 이상은 유지하는 것이 좋음)


여러모로 ventilator의 setting을 바꿔가며 산소포화도를 겨우 80%까지 유지하였고, 환자 상태를 업데이트하기 위해 전원 하기로 한 병원으로 연락을 했는데, 그 사이에 코로나 확진자가 발생하여 환자 수용이 어려울 것 같다는 답변을 받았다.
응급실 담당 주치의 선생님과 나는 다시 여기저기 병원에 연락을 돌리며, 겨우 한 군데 환자 수용이 가능하다고 하는 대학병원을 찾게 되었다. 하지만 환자 상태가 너무 좋지 않았기에, 해당병원까지 안전하게 이송하기 위해 의사 한 명이 동승하기로 했고, 응급실엔 다른 중환자들도 많았고 중환자실의 환자들이 상대적으로 더 안정된 있었기에 중환자실 당직인 내가 동승하여 환자를 후송하기로 했다.
환자의 자발호흡이 살아나고, 조금씩 눈을 뜨는듯한 모습을 보였다. 하지만 산소요구량이 높고 기관삽관이 되어 있기에 환자가 이대로 깬다면, 안전한 이송은 어려울 것이라 판단되어 진정제를 투약하여 환자를 다시 재우고 ambu baggging을 하며 환자를 후송하였다.
다시 심정지가 생기질 않길 바라며, 흔들리는 차 안을 20분 정도 달린 뒤 환자는 대학병원에 도착할 수 있었고, 나는 해당병원 근무자에게 환자 인계를 하고 환자의 활력징후를 확인한 뒤 우리 병원으로 발길을 돌렸다.

응급실에서 환자를 전원 하는 일은 항상 어렵다. 환자의 상태가 좋지 않을수록 더욱 그렇다. 환자에게 필요한 처치와 의료 수준이 높아야 하기 때문인데, 이를 만족하는 병원이 많지 않기 때문이다.
내가 일하는 병원도 거의 대학병원에 준하는 치료가 가능한 병원이라 전원을 하게 되는 사례가 많지는 않으나, 중환자실 여유병상이 없는 경우엔 전원을 할 수밖에 없는 실정이다. 서울을 비롯한 수도권 지역은 전원을 알아보면 중환자 수용이 가능한 병원을 찾기가 하늘의 별따기이다. 상대적으로 의료기관의 숫자가 적은 지방도 비슷한 상황이라고 들었다.
인구는 고령화되어가고, 점점 중환자실을 필요로 하는 환자들은 많아져 간다. 하지만 종합병원에서 중환자실을 늘리지 않는 이유는 수익이 남지 않기 때문일 것이다. 감기나 장염 등 중증도가 낮은 질환에 대한 공단부담금을 줄이고, 중환자 병상을 유지하고 이러한 치료를 제공하는 시설에 지원을 늘려나가는 방향이 맞지 않나 싶다.
'넋두리 > 응급실&중환자실 이야기' 카테고리의 다른 글
| 마스크 시대 이후 창궐하는 감염병! (0) | 2023.05.19 |
|---|---|
| 전원갈 땐 꼭 챙겨가세요! 전원의뢰서, 검사결과지, cd copy! (0) | 2023.05.11 |
| 환자의 권리와 의무 (0) | 2023.04.29 |
| 환자 본인만 자신이 왜 아픈지 모른다.(나쁜소식 전하기) (0) | 2023.04.21 |
| 타인에 대한 호칭, '선생님' (0) | 2023.04.09 |