반응형
#. May-Thurner Syndrome(메이-터너 증후군)이란?
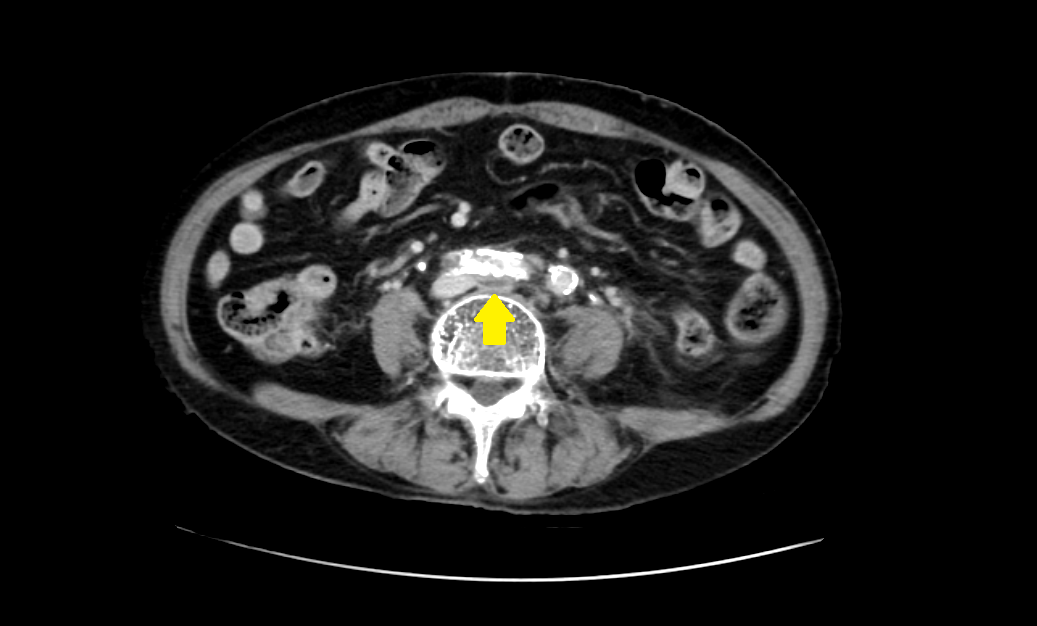
May-Thurner Syndrome(메이-터너 증후군, MTS)은 골반 부위의 해부학적 구조 때문에 생기는 혈관 질환이다. 오른쪽 장골동맥( iliac artery)이 왼쪽 장골정맥(iliac vein)을 누르면서, 왼쪽 다리에서 심장으로 가는 혈류가 방해받는 상태다. 이로 인해 다리에 피가 잘 안 빠지고 붓거나, 심하면 혈전(심부정맥혈전증, DVT)이 생길 수 있다.

#. 주요 증상
- 다리 부종(붓기): 주로 왼쪽 다리 한쪽만 붓는 게 특징이다.
- 통증: 다리나 골반 부위에 통증이 느껴질 수 있다. 오래 앉아 있거나 활동할 때 더 심해질 수 있다.
- 피부 변화: 피부가 어두워지거나, 정맥이 부풀어 오르는(정맥류) 현상이 나타날 수 있다.
- 혈전(DVT) 증상: 다리가 붓고 아프며, 따뜻해지거나 붉어질 수 있다. 심하면 폐색전증(폐혈전)으로 이어질 수 있다.
#. 원인과 위험 요인
- 해부학적 구조: 오른쪽 장골동맥이 왼쪽 장골정맥을 누르는 게 가장 큰 원인이다.
- 위험 요인: 여성, 임신, 장시간 앉아 있거나 움직이지 않는 경우, 장거리 비행, 경구피임약 복용, 암이나 방사선 치료, 척추측만증(스콜리오시스) 등이 위험을 높일 수 있다.
#. 진단 방법
- 영상 검사: CT(컴퓨터단층촬영), MRI, 초음파, 혈관조영술 등으로 진단한다.

- 주로 CT 사용: 빠르고 정확하게 혈관 압박 부위를 확인할 수 있다.
- 혈전 동반 시: 혈액검사나 초음파로 혈전 유무를 확인한다.
치료 방법
- 혈관 확장 및 스텐트 삽입: 혈관을 넓히는 풍선(풍선확장술)과 스텐트(금속 망)를 넣어 혈류를 개선한다.
- 혈전 치료: 혈전이 있으면 혈전용해제(혈전을 녹이는 약)나 항응고제(혈액을 묽게 하는 약)를 쓴다.
- 수술적 치료: 드물게 동맥 위치를 바꾸거나 혈관 우회술(바이패스)이 필요할 수 있다.
- 예방: 장시간 앉아 있지 않기, 다리 움직이기, 압박스타킹 착용 등이 도움이 된다.
예후와 주의사항
- 조기 진단과 치료가 중요하다: 방치하면 만성 정맥부전, 심한 부종, 피부 궤양, 혈전증 등 합병증이 생길 수 있다.
- 비교적 드문 질환: 하지만 증상이 있거나 위험 요인이 있다면 반드시 전문가와 상담하는 게 좋다.
반응형
'공부방 > 기타' 카테고리의 다른 글
| 더운날 조심하세요. 열사병, 열탈진, 열경련, 열실신 (6) | 2025.07.08 |
|---|---|
| May Thurner Syndrome(메이터너 증후군)의 증례 (0) | 2025.06.04 |
| CT 촬영으로 인한 암 발생 위험 예측 - 논문리뷰(JAMA internal medicine) (2) | 2025.05.09 |
| "복시(Diplopia)" 이야기: 물건이 두 개로 보여요! (0) | 2025.04.12 |
| 사람의 마음을 치료하는 인공지능 챗봇; NEJM AI 논문 읽기 (0) | 2025.04.11 |