지난 포스팅에서 언급했던 May thurner syndrome의 case를 CT 영상을 토대로 공부해보고자 한다.
2025.06.03 - [공부방/기타] - May Thurner syndrome(메이터너 증후군)이란?
May Thurner syndrome(메이터너 증후군)이란?
#. May-Thurner Syndrome(메이-터너 증후군)이란? May-Thurner Syndrome(메이-터너 증후군, MTS)은 골반 부위의 해부학적 구조 때문에 생기는 혈관 질환이다. 오른쪽 장골동맥( iliac artery)이 왼쪽 장골정맥(iliac v
emdoc1988.tistory.com
환자는 60대 여성분으로 응급실 내원 하기 한 달 전 허리 압박골절을 진단받아 척추 성형술(VP, vertebroplasty)을 시행받고 대략 2주 정도 병원에서 입원치료를 받았던 분이었다. 2주 뒤부터 좌측 다리가 붓고, 통증이 생기면서 병원에 내원하게 된 것이다.
환자는 좌우 다리를 비교 했을때 왼쪽 다리만 부어 있었고,
말초 동맥의 맥압은 상대적으로 잘 유지되고 있었다.
정맥혈전증이 의심되었던 상황이기에 바로 CT 영상검사를 시행하게 되었다.
다리의 정맥혈전 여부를 확인하기 위한 CT lower leg venography와 폐색전증(PE, pulmonary embolism)을 확인하기 위한 CT chest angio를 함께 포함한 영상을 촬영하게 되었다.
폐색전증은 없었기에
CT 영상은 lower leg venography영상만을 첨부하였다.
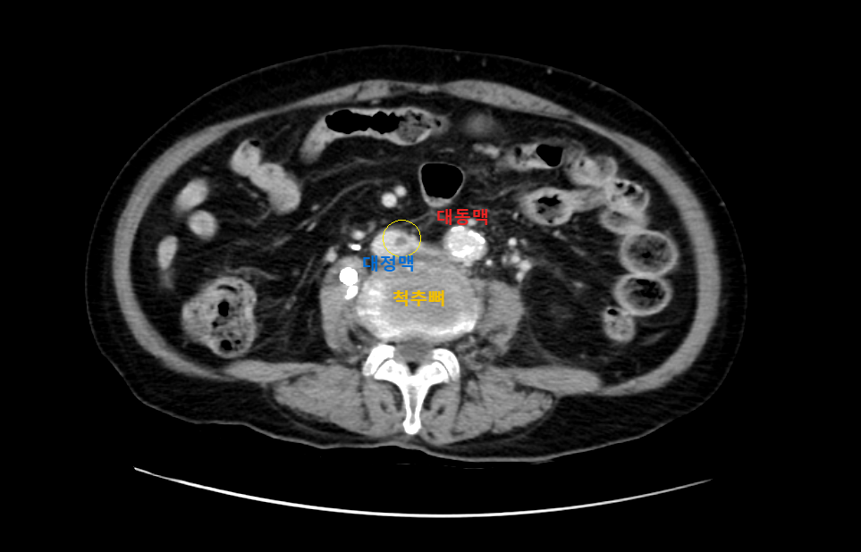
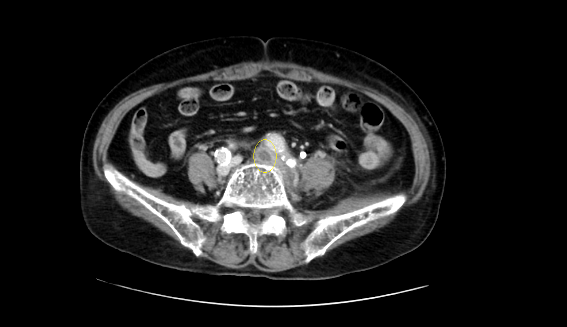
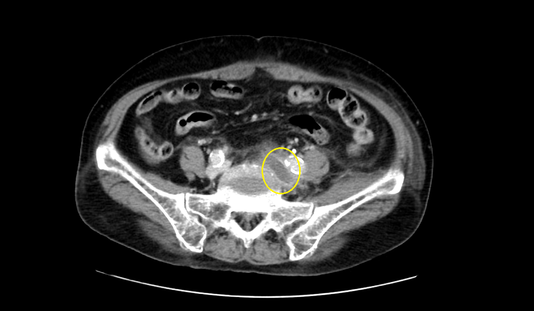
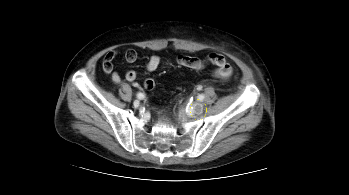
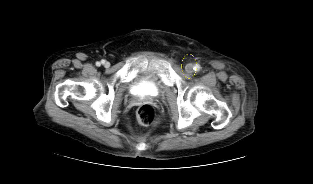
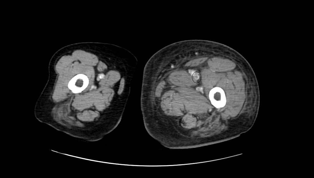
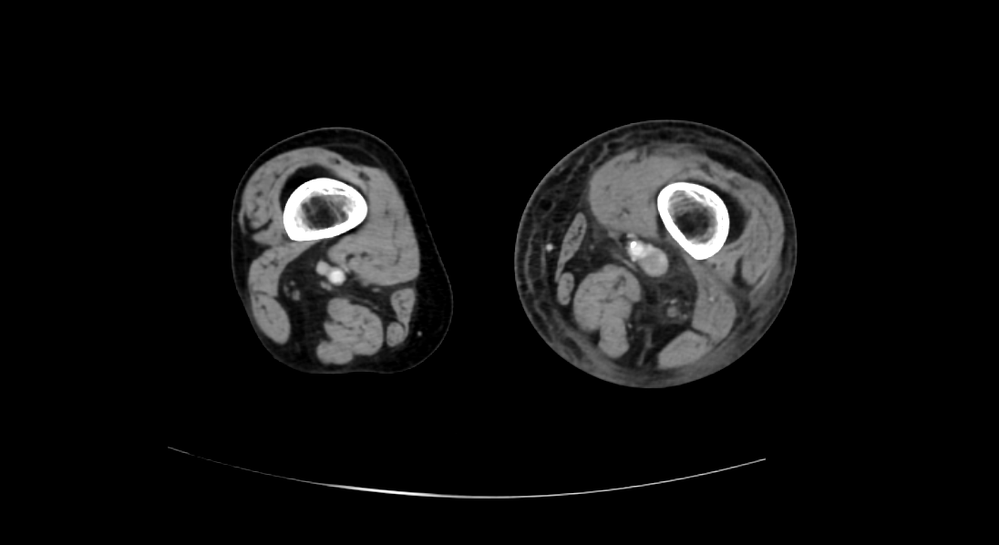
영상은 머리에 가까운 복부에서 다리 쪽으로 가는 순서로 나열하였다.









CT영상을 보면 좌측 장골정맥과 우측 장골동맥이 교차하는 지점에서부터 다리 말단 쪽으로 내려가며, 총장골정맥-외장골정맥-총대퇴정맥-표대대퇴정맥-오금정맥-경골정맥까지 혈전이 차있는 모습을 확인할 수 있었다.
이후 환자는 혈전 용해를 위한 항응고치료를 시작하였고
추후 폐색전증의 위험도가 높기에 IVC filter를 설치할 계획을 가지고 입원을 하게 되었다.
#. CT 정식 판독 결과
Acute DVT, left CIV, EIV, IIV, CFV, SFV, popliteal and crural veins with compression of left CIV between vertebra and right CIA, c/w acute DVT with May Thurner syndrome.
Diffuse subcutaneous edema, left leg.
No acute or chronic PE, both.
Total atelectasis of RML.
Multilobulating cystic lesions of pancreatic neck.
Hepatic cysts.
S/P vertebroplasty of T11, L2-3.
====== [Conclusion] ======
c/w acute DVT with May Thurner syndrome.
Diffuse subcutaneous edema, left leg.
No acute or chronic PE, both.

** 판독에서 나온 약어
- DVT: deep vein thrombosis, 심부정맥혈전증
- CIV: common iliac vein, 총장골 정맥
- EIV: external iliac vein, 외장골 정맥
- IIV: internal iliac vein, 내장골 정맥
- CFV: common femoral vein, 총대퇴정맥
- SFV: superficial femoral vein, 표재대퇴정맥
- PE: pulmonary embolism, 폐색전증
- RML: right middle lobe, 우중엽
- CIA: common iliac artery, 총장골동맥
* 우측 정맥 주행 사진의 출처
: 위키피디아, https://ko.wikipedia.org/wiki/%EB%84%99%EB%8B%A4%EB%A6%AC%EC%A0%95%EB%A7%A5
넙다리정맥 - 위키백과, 우리 모두의 백과사전
위키백과, 우리 모두의 백과사전. 인체의 넙다리정맥(femoral vein) 또는 대퇴정맥(大腿靜脈)은 넙다리혈관집 안에서 넙다리동맥과 함께 주행하는 정맥이다. 큰모음근에 뚫려 있는 구멍인 모음근구
ko.wikipedia.org
'공부방 > 기타' 카테고리의 다른 글
| 대한민국 남녀의 평균 기대 수명과 건강 수명 (0) | 2025.09.05 |
|---|---|
| 더운날 조심하세요. 열사병, 열탈진, 열경련, 열실신 (6) | 2025.07.08 |
| May Thurner syndrome(메이터너 증후군)이란? (0) | 2025.06.03 |
| CT 촬영으로 인한 암 발생 위험 예측 - 논문리뷰(JAMA internal medicine) (2) | 2025.05.09 |
| "복시(Diplopia)" 이야기: 물건이 두 개로 보여요! (0) | 2025.04.12 |