#. 급성 장동맥 질환 (Acute mesenteric ischemia)
갑작스러운 복통으로 내원 한 환자들 중 장동맥의 폐쇄로 인해 장으로 가는 혈액량이 줄어든 경우가 있다.
최근 타병원에서 SMA(superior mesenteric artery) embolism 환자가 전원 온 적이 있었다. 자주 보는 질환이 아니라 어떤 점을 고려하고, 어떤 치료법을 고려할 수 있는지가 바로 떠오르지 않았다.
이번 포스팅에서는 이와 관련된 공부를 해보고자 한다.
1. 장동맥의 해부학적 구조


대동맥에서 분지되어 나오는 상장간막동맥(SMA, superiror mesenteric artery)과 하장간막동맥(IMA, inferior mesenteric artery)를 통해 대부분의 소장, 대장이 혈류를 공급받고 있다.
2. Acute mesentric ischemia의 원인(etiology)
2-1. Acute mesenteric artery embolism
: 다른 곳에서 발생한 혈전이 날라가 장간막동맥을 막는 경우
2-2. Acute mesenteric artery thrombosis
: 장간막동맥의 동맥경화가 터지며 갑자기 혈전이 형성되는 경우
2-3. dissection
: 대동맥 박리의 영향을 받기도 하며, 장간막동맥 자체의 박리로 인한 경우도 있다.
2-4. Acute non-occlusive mesenteric ischemia
: 물리적으로 막힘이 발생하지 않았으나, 허혈이 발생하는 경우도 있다. 동맥경화로 인해 혈류량이 감소하게 되는 경우엔 상대적으로 혈류량이 줄어들어 허혈이 발생할 수 있다.
2-5. mesenteric venous thrombosis
: 동맥이 아닌 장에서 나가는 혈류인 정맥에 혈전이 생기는 경우에도 장에 혈액순환이 안되어 장이 붓고 허혈이 생긴다. 이 경우 상당수 간경화로 인해 간문맥압 상승이 동반되어 있다.
2-6. vasculitis
: 혈관에 생기는 염증, 혈관염으로 인한 경우
2-7. internal obstruction
: 장 폐색으로 인해 조직의 압력이 높아지면, 장으로 가는 혈류가 감소하고 그 결과 허혈이 발생한다.
2-8. trauamtic injury
: 심각한 복부 외상으로 장이 손상된 경우이다.
원인에 따라 치료방법이 다를 수 있다.
이번 포스팅에선 급성 장간막동맥의 허혈을 유발하는 질환 중 갑작스러운 소견으로 embolism, SMA dissection에 의한 mesenteric ischemia에 대해 공부해 보겠다.
#. acute mesenteric artery embolism


SMA에 혈전으로 혈류가 막혀있는 상태로 본래라면 조영제에 의해 밝게 보여야 할 혈관구조물에 어두운 혈전이 자리 잡고 있는 모습을 보인다.
대부분은 atrial fibrillation이 있음에도 항응고치료를 하지 않고 있었던 경우가 많다.
치료는 catheter를 이용한 thrombolysis를 하거나 embolectomy를 해서 막힌 혈류를 다시 뚫어주어야 한다.
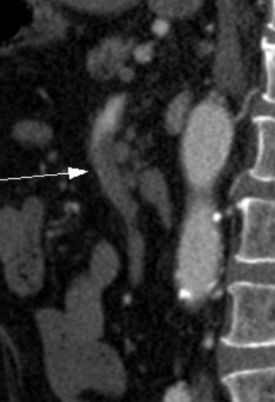
#. SMA dissection

박리된 혈관의 모습, 찢어진 동맥 혈관층 사이로 피가 조금씩 밀려 들어가 동맥혈관층 사이가 갈라지며 false lumen이 형성된다. false lumen은 피가 들어가는 입구는 있으나, 나오는 출구가 없어 내부 압력이 증가하여 박리의 범위가 늘어나게 되고, 오히려 true lumen의 혈류를 방해하는 결과를 초래하게 된다.

실제 환자의 CT angiography 영상.
빨간색 화살표는 true lumen을 가리키고, 노란색 화살표는 SMA dissection으로 형성된 false lumen을 가리킨다.
치료는 대부분 보존적으로
NPO(금식), IV hydration, anticoagulation(LMWH, NOAC or warfarin)를 하며 입원치료를 하게 되며,
필요시 endovascular treatment 또는 수술을 하게 된다.
'공부방 > 기타' 카테고리의 다른 글
| 사람의 마음을 치료하는 인공지능 챗봇; NEJM AI 논문 읽기 (0) | 2025.04.11 |
|---|---|
| 급성 장동맥 질환 증례 - SMA embolism, 진단을 위한 긴 여정 (2) | 2025.02.06 |
| 말초혈관질환(1) - 폐쇄동맥경화증(ASO) (0) | 2024.12.09 |
| 응급실에서 임신 테스트를 하는 이유 (0) | 2024.11.25 |
| 인공지능을 이용한 brain CT 스크리닝! (4) | 2024.04.03 |