최근 인공지능의 열풍이 엄청나다.
병원에서도 인공지능을 이용한 다양한 툴들이 개발되고 사용되고 있다.
대부분은 이미지나 다이어그램 형태를 분석하고 이상여부를 확인하는것에서 부터 시작하는 듯 하다.
심전도를 분석하여 환자의 부정맥은 물론 심근경색 등의 심장질환에 대한 예측, 위험도를 측정하기도 하며
다양한 영상 이미지를 학습시켜 비정상인 부분에 대한 단서를 제공하기도 한다.
최근 우리병원에도 brain CT와 MR에 대하여 이상여부를 확인해주는 툴이 도입되어 시범적으로 운용되기 시작했는데,
툴이 도입된지 얼마되지 않아 현장에서 실제로 놓칠뻔한 뇌병변를 찾아준 사례가 있었다.
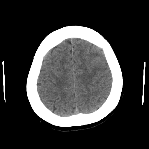
환자는 30대 여성으로 경련성 운동을 보여 응급실로 내원 하였고, 검사의 일환으로 brain CT를 촬영 했었다.
아래 3장의 사진이 환자의 brain CT 사진이다.



자 여기까지만 보면 크게 이상이 없다고 생각할 수도 있다.
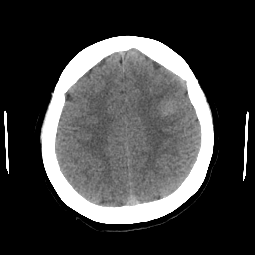
하지만 인공지능 프로그램은 여기서 이상을 찾아냈다!
바로 다음 처럼 말이다.

이렇게 인공지능이 이상하다고 생각하는 부분을 표시해주었고
다시 살펴보니 brain tumor나 focal한 SAH가능성이 있어보여 brain MR촬영을 하게 되었다. 그리고 뇌종양이 있음을 확인 할 수 있었다.
결과적으로 인공지능의 도움을 받아 놓칠 뻔한 뇌종양을 진단 했던 케이스였다.
인공지능을 이용한 기술은 아직 개발 초입 단계이므로 아직 신뢰도 측면에서는 많이 떨어지는것이 사실이다.
다만 민감도가 매우 높다는 장점이 있어 다양한 곳에서
특히, 진단을 놓치면 안되는 응급실에선 상당히 유용하게 사용할만 하다는 생각이 든다.
앞으로도 많은 도구, 프로그램들이 개발되어 진료에 도움을 받을 수 있으면 좋겠다는 생각이 들면서도
이러다간 머리쓰는 직업은 모두 인공지능에 대체될수도 있겠다는 생각이 드는 사건이었다.
'공부방 > 기타' 카테고리의 다른 글
| 말초혈관질환(1) - 폐쇄동맥경화증(ASO) (0) | 2024.12.09 |
|---|---|
| 응급실에서 임신 테스트를 하는 이유 (0) | 2024.11.25 |
| 코피(Epistaxis) (0) | 2024.02.27 |
| 하루걸이? 말라리아에 걸리면 왜 열이 났다가 안났다가 하나요? (0) | 2023.08.13 |
| 말라리아 관리지침 (치료 포함) (1) | 2023.08.11 |