이번 포스팅에서는 응급실에서 마주할 수 있는 가장 긴박한 상황으로 STEMI의 증례를 알아보도록 하겠다.
2023.12.12 - [공부방/심장] - 급성 심근경색(Acute myocardial infarction, AMI)
급성 심근경색(Acute myocardial infarction, AMI)
1. 정의 - 관상동맥 혈류량의 부족으로 갑작스러운 심근조직의 괴사가 일어나는 것. 2. 진단 - 심근 트로포닌(cardiac troponin)의 상승이 있으면서 아래 중 하나 이상 나타날 경우 1) 심근허혈에 의한
emdoc1988.tistory.com
STEMI는 급성 심근경색 중 심전도상 ST segment의 elevation이 동반되는 심근경색으로 보통은 심근허혈 초기에 위와 같은 변하가 관찰되므로, 빠른 재관류 치료가 필요한 상황이다.
급성 심근경색이 궁금하다면 위의 포스팅을 먼저 확인하고 오자!
환자는 47세 남자분으로
이전부터 혈압이 다소 높다고는 알고 있었으나, 특별한 약처방 없이 지냈었고
30PY(pack year)의 흡연력이 있었다.
내원일 새벽 2시경부터 체한듯한 느낌과 함께 가슴 답답함이 발생하였고, 환자분은 처음 체했다고 생각하여 인근 작은 규모의 의원에 방문하여 수액처치를 해보았으나 별다른 호전 없이 증상 지속되어 심전도를 촬영하게 되었고, 급성 심근경색이 의심된다며 응급실 방문을 권고받아 내원하게 된 상황이었다.
환자가 응급실에 도착 하자마자 촬영한 초기 심전도 사진이다.

환자 심전도를 확인하였다.
Anterolateral wall 쪽으로 MI가 생겼을 것으로 생각되는 심전도로 빠른 재관류 치료를 위해 심장내과 당직 선생님과 응급관상동맥조영술 팀을 호출하였다.
그사이 환자는 혈액검사 및 수액처치, 흉부 x ray 사진을 촬영하였다.
시술이 준비되는 동안, 적절한 산소공급과 함께 수액공급을 하고 관상동맥조영술을 하기 위해 두가지 항혈소판제와 heparin이라는 항응고제를 투약하였다.

위와 같은 처치를 진행하면서 환자 침상옆에서 간단히 심초음파를 확인한다.
예상했던 대로 심장 좌심실의 anterior wall과 lateral wall이 잘 움직이지 않는 모습이 확인되었다. 대동맥 뿌리 부분의 확장 소견이 없어 보여 type A dissection이 가능성은 낮아 보였다.
대략 40~50분정도가 지났을 때(혈액검사 결과도 안 나올 시간..) 환자는 관상동맥 조영술을 받으러 혈관조영실로 갈 수 있었다.
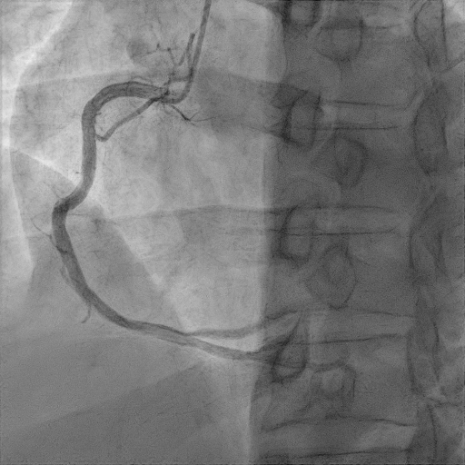
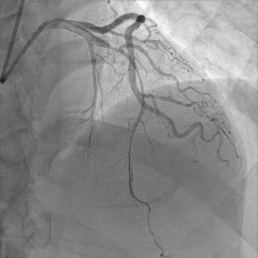
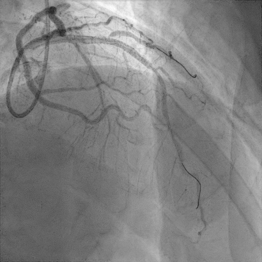
간단히 환자의 관상동맥 조영술 결과를 살펴보자






관상동맥조영술(coronary angiography) 결과 환자는 proximal LAD(left anterior descending)의 total occlusion으로 TIMI flow** 0점이었다.
** TIMI flow 란?
관상동맥 협착으로 혈류량을 나타내는 지표인 TIMI flow로 0점은 혈관이 완전히 막혀서 혈류가 없는 상태, 3점은 정상 혈관으로 혈류가 완전한 상태를 타나 내며 0~3점 총 4단계로 표시한다.
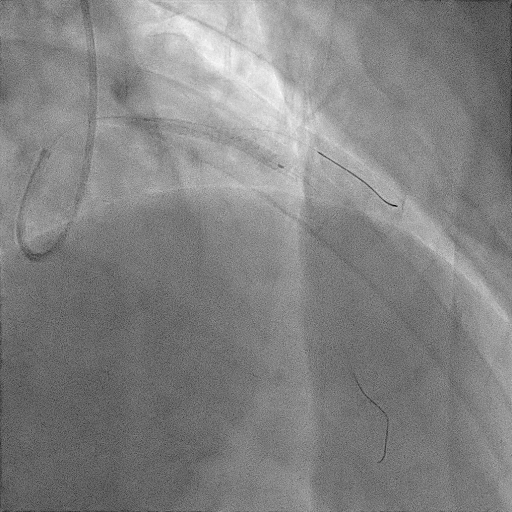
병변의 위치에 중재술을 마친 환자는 시술 후 합병증 발생여부 및 치료를 위해 중환자실에 입원을 하였다.
관상동맥 조영술이 궁금하다면?
2023.12.17 - [공부방/심장] - 동의서로 알아보는 심장 관상동맥조영술(CAG, coronary angiography)
동의서로 알아보는 심장 관상동맥조영술(CAG, coronary angiography)
중년의 남성이 출근준비를 하던 중 갑작스러운 흉통이 찾아왔다. 가슴이 답답하고 조이는 것 같았고, 약간 숨찬듯한 느낌과 함께 식은땀이 났다. 통증이 생긴 지 30분이 넘어도 좋아지질 않아 인
emdoc1988.tistory.com
'공부방 > 심장' 카테고리의 다른 글
| 심장에서 분비되는 호르몬 - BNP와 NT-proBNP (0) | 2024.08.08 |
|---|---|
| 심근효소(Cardiac enzyme) 검사의 해석 - Troponin (0) | 2024.08.06 |
| 폐고혈압(Pulmonary Hypertension) (0) | 2024.06.30 |
| 심장이 느리게 뛰는데 느리게 뛰는 약으로 치료를.. (0) | 2024.06.23 |
| 심부전(Heart failure) 시리즈 정리 (0) | 2024.05.19 |