#. 제한성 심근병증 (Restrictive cardiomyopathy)
1. 정의
- 심실벽 경직으로 확장기 심실충만장애를 특징으로 한다. 한마디로 심장이 딱딱해지는 병.
- 말기로 갈수록 수축기 장애도 동반된다.
- 아밀로이드증(amyloidosis)의 심근침범이 흔한 원인
- 이식 심장, 혈색소증(memochromatosis), 파브리병(Fabry's disease), 심내막 섬유화, 사르코이드증(sarcoidosis), 과호산구 증후군(hypereosinophilic syndrome), 경피증(scleroderma), 폐/종격동 방사선 조사, 악성 종양의 심장 침윤 등
2. 임상 양상
- 심실충만장애로 심박출량이 감소함으로써 운동능력저하(exercise intolerance)
- 하지 부종과 복수, 간종대
- 경정맥압 상승, 쿠스마울 징후(Kussmaul's sign), 흔히 제3, 4 심음이 청진됨.
3. 주요 검사 소견
1) 심전도검사
- 저전압
- 비특이적 ST-T파 이상, 다양한 부정맥
2) 추가 혈액검사
- 혈색소증 : ferritin
- 사르코이드증 : calcium, angiotensin-converting enzyme(ACE)
3) 심초음파검사
- 대칭적으로 두꺼워진 좌심실 벽, 좌심방, 우심방 확장
- 제한성 생리(restrictive pathology) : E >> A, E/A > 1.5, E/E' > 15의 소견을 보일 때
4) 심도자술
- 심실압파 : 전형적인 dip and plateau 형태 (square root sign)
- 심방압파 : M자 또는 W자 형태 (prominent x and y descents)
5) 심내막 조직생검
- 심근 침윤 혹은 섬유화
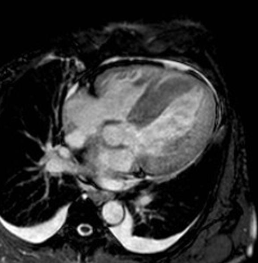
6) 심장 자기공명영상


출처 : https://radiopaedia.org/articles/restrictive-cardiomyopathy?lang=us
Restrictive cardiomyopathy | Radiology Reference Article | Radiopaedia.org
Restrictive cardiomyopathy is the least common subtype of cardiomyopathy and is characterized by a marked decrease in ventricular compliance. Clinical presentation Patients can present with symptoms and signs of left ventricular failure and/or...
radiopaedia.org
4. 치료
- 치료 반응이 좋지 않음(예외 : 혈색소증, 파브리병)
- 혈색소증 : 사혈(phlebotomy)과 deferoxamine으로 기저질환을 치료
- 파브리병 : alpha-galactosidase 효소 대체용법
- 저용량의 이뇨제와 혈관확장제 : 일부 증상의 개선 가능(단, 저혈압과 저관류 주의)
- digoxin : 좌심부전 동반 시 사용(단, amyloidosis 환자에서 부정맥 위험성이 증가하므로 주의)
- 만성 항응고요법
5. 심장 아밀로이드증(cardiac Amyloidosis)
1) 진단
- 심초음파 : 심실벽 두께 증가, 심방 확장, 종종 심막삼출을 동반한다. 심실벽에 아밀로이드가 침착해서 반짝거리는 모양으로 보이기도 하며 이를 Sparkling & granular appearance라고 함.
- 심장자기공명영상 : 민감도가 높은 검사법
- 심내막 조직생검 : congo-red stain 후 편광현미경으로 확인
- 관련 장기 조직검사 : 특별한 이유 없는 좌심실 비후 + 타 장기의 아밀로이드증 침범의 조직학적 증거가 있을 때 시행한다.

출처 : https://radiopaedia.org/articles/cardiac-amyloidosis
Cardiac amyloidosis | Radiology Reference Article | Radiopaedia.org
Cardiac amyloidosis (plural: amyloidoses) is a significant source of morbidity among patients with systemic amyloidosis and is the most common cause of restrictive cardiomyopathy outside the tropics. Pathology Amyloidosis represents the extrace...
radiopaedia.org
2) 치료
- 제한성 심근병증에 대한 일반적인 치료를 시행
- AL amyloidosis (immunoglobulin light chain) : 항암치료, 자가조혈모세포이식, 심장이식
- ATTR amyloidosis (transthyretin amyloidosis) : 간이식 고려
- AA amyloidosis : 특별한 치료 없으나 예후가 양호하다.
'공부방 > 심장' 카테고리의 다른 글
| 심장이 느리게 뛰는데 느리게 뛰는 약으로 치료를.. (0) | 2024.06.23 |
|---|---|
| 심부전(Heart failure) 시리즈 정리 (0) | 2024.05.19 |
| 마음의 상처로 인한 심장병.. 상심 증후군(Broken Heart Syndrome) (0) | 2024.05.13 |
| 심근병증(2) - 비후성 심근병증(HCMP, hypertrophic cardiomyopathy) (0) | 2024.05.11 |
| 심근병증(1) - 확장성 심근병증(DCMP, dilated cardiomyopathy) (0) | 2024.05.10 |