83세 할머니가 배가 아프다고 응급실에 왔다.
내원일 점심 식사 후 배가 아프다가 점차 악화되는 소견으로 자녀분과 함께 응급실로 내원하였다.
내원 시 38도의 발열을 보였고,
활력징후는 V/S 159/76-107-20-O2 sat 100% 로 확인되었다.
(혈압 159/76 심박수 107 호흡수 20 산소포화도 100%)
복부 검진상 심와부~우측 복벽으로 압통과 반발통이 심한 상태였다.
가장 먼저 혈액검사를 시행하고 수액을 연결하였다.
#. 혈액검사 결과


백혈구는 증가, 그중에서도 심각한 세균감염을 시사하는 듯이 neutrophil(중성구) 분률이 높아져 96%를 보이고 있었다. 전해질 분균형이 보이긴 했으나 다행히도 신장(콩팥) 기능은 괜찮은 상태였다.
사진에 첨부되진 않았지만, 염증수치 CRP는 19.8 mg/dL로 확인되었다.
검진 소견과 혈액검사 결과를 종합하여 복부 CT 를 촬영하였다.
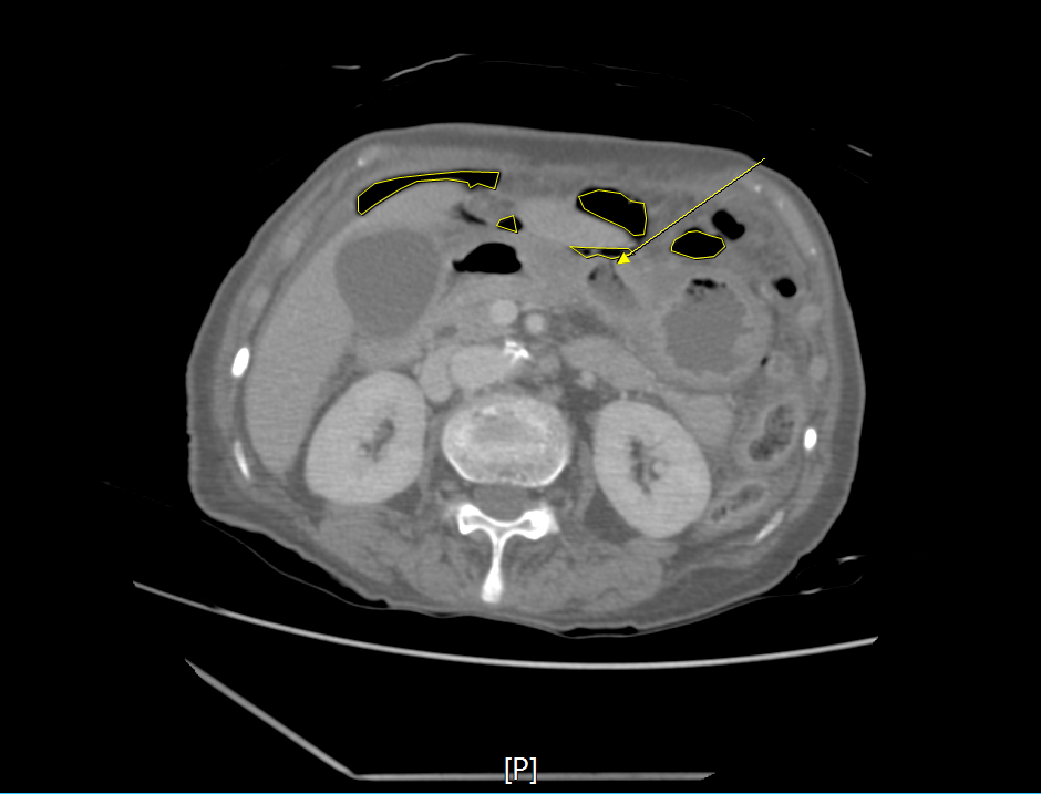
CT에서는 prehepatic area(간앞쪽으로)로 free-air(공기음영)가 보이는 상태였다.

위장(stomach)주변으로도 free-air가 많이 보이는 상태였다.

HU**를 조정하여 다시 확인해보면, free-air와 bowel 안쪽 공기음영을 확인할 수 있다.
그리고 장벽(bowel wall)의 경계를 확인할 수 있다.
** CT의 Hounsfield Unit(HU)을 조절하면 얇은 bowel wall의 경계를 확인하는데 도움이 된다.

HU을 조정한 이후 stomach wall 아래 앞쪽으로 구멍이 난 것을 확인할 수 있으며, 그 주변부를 기점으로 free-air가 많이 분포하고 있음을 알 수 있다.
#. CT 판독결과!
- CT abdomen & pelvis contrast
1. No evidence of active bleeding.
2. Perforation of stomach lower body anterior wall (Srs 605, Img 58).
3. Peritonitis with moderate amount of pneumoperitoneum and small amount of ascites.
4. 2.4cm sized hepatic hemangioma in LLS.
5. R/O benign or borderline cystadenomas in both adnexa.
결과적으로 할머니 복통의 원인은 위장 천공과 그로 인한 복막염 때문이었다.
일반적으로는 수술을 통해 구멍난 위장을 막아주고, 염증이 복막염을 잘 씻어 염증을 최소한으로 해줘야 한다.
따라서, 환자 수술 가능 여부를 외과 팀과 상의했다.
우리 병원의 규모상 환자는 고령에 수술 risk 가 높은 상태로 수술 및 post op care가 어렵다 판단하였고, 결국엔 상급병원으로 전원 결정되어 대학병원으로 전원 되었다.
'공부방 > 위장관' 카테고리의 다른 글
| 먹지 말아야 할 걸 먹은뒤 극심한 이물감! - 내시경은 언제해야 하나요? (2) | 2024.01.13 |
|---|---|
| 못 먹을 걸 먹었는데 괜찮나요? - feat. 오쏘몰 뚜껑 (2) | 2024.01.09 |
| 게실(diverticula)과 게실염(diverticulitis) (0) | 2023.07.08 |
| 밥먹고 뛰면 왜 배가 아플까? (0) | 2023.03.07 |
| 급성 충수돌기염(acute appendicitis)(2)-치료 최신지견 (0) | 2023.02.19 |