https://emdoc1988.tistory.com/115
빈혈(anemia)에 대하여..(1)
빈혈이란, 우리 몸의 혈관 속을 돌고 있는 혈액 속에 erythrocyte(Red blood cell, RBC, 적혈구)가 부족한 것을 뜻한다. 적혈구의 가장 큰 역할은 우리몸 곳곳에 산소를 전달하는 것이다. 따라서 적혈구가
emdoc1988.tistory.com
이번 포스팅에서는 IDA나 ACD보단 응급실에서 마주하는 빈도는 낮은, 다른 빈혈의 원인들로 용혈성 빈혈, 재생불량성 빈혈에 대하여 간략히 정리해 보도록 하겠다. 이정도의 영역은 혈액종양내과 전문의의 진료가 필요한 영역이고 필자도 단순 IDA나 ACD의 pattern이 아닌 빈혈 환자는 소견서를 작성하여 대학병원 진료를 권유드리고 있다.
#. 용혈성 빈혈(Hemolytic anemia)
1. 정의
- 유전적 이상, 자가면역질환, 또는 혈관 문제 등에 의해 적혈구가 파괴되어 발생하는 빈혈
- 원인에 따라 유전성(Hereditary)/후천성(Acquired), 적혈구 파괴가 일어나는 장소에 따라 혈관 내(Intravascular)/혈관 외(Extravascular) 용혈로 구분할 수 있다.
| 혈관 내(Intravascular) | 혈관 외(Extravascular) | |
| 유전성 (Hereditary) |
Hemoglobinopathies Ezymopathyies membrane-cytoskeletal defects (Hereditary spherocytosis 등) |
Familial hemolytic uremic syndrome(HUS) |
| 후천성 (Acquired) |
Paroxysmal noctural hemoglobinuria(PNH) | mechanical destruction Microagiopathic hemolytic anemia(MAHA) Toxic agents/Drugs Infections Autoimmune hemolysis |
2. 진단
1) 증상
- 혈관 내 용혈 : 오한 및 발열, 빈맥, 몸살같은 통증 등이 함께 나타날 수 있다.
- 용혈로 인해 적혈구 내 성분이 혈액내로 유출되어 황달, 갈색뇨 등의 증상을 보일 수 있다.
- hereditary spherocytosis와 같은 질환에서는 비장의 종대로 인해 검진상 비장이 만져지는 소견이 생길 수 있다.
2) 검사
- 혈구세포의 파괴로 인해 세포내 물질의 혈액내 농도가 높아지고, 적혈구의 생성은 빨라짐.
- Reticulocyte : reticulocyte 증가
- bilirubin 증가 : indirect bilirubin의 증가를 보인다.
- serum LDH
- plasma hemoglobin : 증가, 비특이적
- urine hemosiderin : 증가
- haptoglobin : 감소
- PBS : 원인에 따라 schistocyte(helmet cell이라고도 부르는데, 혈관내 용혈에서 관찰됨), spherocytosis(hereditary spherocytosis), elliptocyte, sickle cell(sickle cell anemia), protozoa(말리라아감염) 등이 관찰 될 수 있다.
- Direct Coom's test, Indirect Coom's test : 자가면역용혈에서 자가항체 확인
- CD55, CD59 flow cytometry : 발작성야간혈색소뇨증(PNH) 확인을 위해 검사한다.

#. 재생불량성 빈혈 (Aplastic Anemia, AA)
1. 정의
- 골수 부전에 의해 범혈구감소증(Pancytopenia)이 발생하는 질환
2. 원인
- 원인을 알 수 없는 경우가 가장 흔하다. 이런경우 idiopathic 이라고 표현함.
- 방사선 조사
- 약물 : 항생제(chloramphenicol 등), 항암제, 항경련제, 소염제 등
- 감염 : Parvovirus 19, EBV, HIV, hepatitis virus
- 면역질환 : 저감마글로불린혈증 등
- 선천 질환 : Fanconi's anemia, Shwachman-Diamond syndrome 등
3. 진단
1) 증상
- 빈혈 자체 증상으로 위약감, 피로감, 두통, 활동시 숨참, 빈맥 등의 증상을 느낄 수 있다.
- 혈소판감소증(thrombocytopenia) : 피부 점상출혈(petechia, ecchymosis), 코피(epistaxis), 월경과다(menorrhagia), 잇몸출혈(gum bleeding) 등 주로 출혈성 경향을 보이게 된다.
- 호중구감소(neutropenia) : 감염에 취약해지므로, 반복되는 감염병에 시달리게 된다.
* hepatoslenomegaly(간비대, 비장비대)나 lymphadenopathy(림프절비대)는 동반되지 않으므로, 이러한 검진 소견을 보인다면 leukemia(백혈병) 등 다른 질환을 먼저 생각하고 감별해야 한다.
2) 검사
- reticulocyte : 낮음.
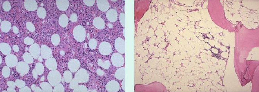
- bone marrow : 세포충실도가 감소되어 있고, 비어이는 골수가 지방으로 대체되어 있는 소견을 보인다.
- chromosome analysis : hypocellular MDS 등 종양질환 감별을 위해 시행한다.
- 중증 재생불량빈혈(severe Aplastic Anemia, severe AA) : ANC < 500 /uL, PLT < 20,000/mL, reticulocyte count < 20,000/mL 중 2가지 이상에 해당되는 경우

4. 치료
- 증상이 없거나 혈구감소증이 경미하면 특별한 치료 없이 경과 관찰
- 수혈 : Hb > 7 g/dL, PLT > 10,000/uL 을 기준으로 수혈을 한다.
* 재생불량빈혈 환자는 low Hb level에 적응이 되어 있는 경우가 많다. 따라서 급속히 Hb level을 정상화 시키기 위해 과다 수혈을 하는 경우 혈액량 과다로 인해 해로울 수 있으므로, 특별한 증상을 호소하지 않으면 수혈없이 경과관찰 가능하다.
- iron chelation therapy : deferoxamine, deferasirox
- C-CSF : 중증 neutropenia 환자의 감염에서 사용할 수 있다.
- ATG(antithymocyte globulin) or ALG(antilymphocyte globulin) + cyclosporine A
- other immunosuppresant : azathioprine, cyclophosphamide, corticosteroid
- allogenic hematopoietic cell transplantation(조혈모세포 이식) : 중증이면서 환자의 나이가 젊고 HLA가 일치하는 혈연관계의 공여자(Donor)가 있는 경우 일차적으로 권장됨.
'공부방 > 기타' 카테고리의 다른 글
| 빈혈(4), 거대적혈모구빈혈(megaloblastic anemia)- 비타민B12, 엽산 부족 (0) | 2023.08.05 |
|---|---|
| 말라리아 조심하세요~!! (0) | 2023.08.04 |
| 빈혈(3), 만성질환빈혈(ACD) (0) | 2023.07.23 |
| 제로칼로리, 아스파탐(aspatame)이 암을 일으킨다? (0) | 2023.07.22 |
| 빈혈(2) - 철결핍성 빈혈(IDA, iron deficiency anemia) (0) | 2023.07.18 |