https://emdoc1988.tistory.com/131
자전거 조심하세요! 자전거 타다 넘어진 환자
어느 한적한 일요일 낮 시간. 응급실은 어느 때보다도 사람들이 북적이는 시간이다. 인근에서 자전거 대회가 열린다고 하여 긴장을 하고 근무를 시작하였다. 근무를 시작한 지 얼마 지나지 않아
emdoc1988.tistory.com
지난 포스팅에 이어 같은 날 내원한 다른 자전거 타다가 다친 환자의 사례를 소개해본다.
지난 사례의 환자분은 70세 남자분으로 신체능력이 떨어질 수밖에 없는 나이의 환자분이었다. 하지만 젊은 사람도 자전거를 타다가 발생한 교통사고에는 안전할 순 없다.
운동능력이 좋은 만큼 더 빠르고 과감한 주행을 하기 때문에 사고가 발생했을 때 몸에 가해지는 충격량은 더 클 수밖에 없다.
이날은 인천 지역에서 자전거 경주대회가 있던 날이었고, 환자는 울산에서 사는 16세 남자로 선수 자격으로 대회에 참석하여 경주를 하다가 코너에서 다른 자전거들과 부딪히면서 넘어졌다고 했다.
잠깐이지만 2-3분간 의식도 잃고 두통도 심했던 상태라 환자가 오자마자 기본적인 검진과 처치를 마치고 brain CT를 촬영하게 되었다.
16살 환자의 brain CT를 보도록 하자.



어린 나이라 나이든 사람의 brain CT보다 뇌 실질 자체의 부피가 크고 빈 공간이 적어 보이게 된다.

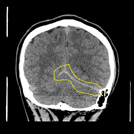
사람의 두개골 내에는 대뇌와 소뇌, 그리고 좌우 반구를 나누는 얇고 넓은 막이 있다. 좌우 대뇌를 나누는 구조물을 falx cerebri 라고 하며, 대뇌와 소뇌를 나누는 구조물을 tentorium cerebelli라고 한다.
위에 16살 환자의 경우 대뇌와 소뇌를 나누는 격벽 구조를 따라 뇌출혈이 발생한 경우이다.
다행히 예후가 나쁘지는 않지만, 출혈량이 늘어나는지 확인할 필요는 있기에 입원이나 단기간 외래 추적관찰이 반드시 요구되는 상황이다.
이날 내원했던 환자는 다른 지역에 살고 있던 환자로, 일시적인 의식소실에 두통이 심했던 상황이었다. 따라서 입원하여 경과 관찰하는 것을 권고하였고, 환자의 부모님은 연고지 인근 병원에서 입원치료 하길 원하시는 관계로 울산 소재 병원에 전원 문의 후 환자 수용이 가능함을 확인하고 인천에서 울산까지 전원을 하였다.
젊고 어린, 심지어 운동 선수조차도 자전거 사고는 위험할 수밖에 없다.
따라서 자전거를 탈 때는 정말 정말 주의해야 할 필요가 있고, 내 주변에 나이 드신 분들이 자전거 운전을 하고 있다면 갑작스러운 사고로 이어지지 않도록 조금은 배려해 주는 마음도 필요하겠다.
'넋두리 > 응급실&중환자실 이야기' 카테고리의 다른 글
| 보호자는 누구인가? (1) | 2023.10.19 |
|---|---|
| 응급실 이용할 때 참고할 점!(Tip?) (4) | 2023.10.02 |
| 자전거 조심하세요! 자전거 타다 넘어진 환자 (2) | 2023.09.12 |
| 알고보니 장천공(bowel perforation)..!! 응급실에 온 두 명의 장천공 환자.(2) (2) | 2023.09.08 |
| 알고보니 장천공(bowel perforation)..!! 응급실에 온 두 명의 장천공 환자.(1) (0) | 2023.09.04 |