피는 물보다 진한가?

90대 할머니가
복통으로 응급실에 내원하였다.
복부 전체의 압통과 반발통을 보였고, 기력이 없음에도 얕고 빠른 호흡을 보이고 있었다.
검사는 해봐야겠지만
딱 보기에도 복막염이 있어 보였다.
먼저 나온 혈액검사 결과는 나쁘지 않았다.
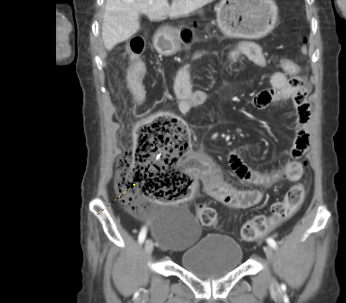
복막염을 의심하고 있었기에, 곧바로 CT검사를 진행하였다.
CT 검사 결과는 충격적이었다.
상행대장이 터지면서 복강 내로 대변이 잔뜩 흘러나와 있었고
장파열에 의한 복막염이 심한 상태였다.

응급수술을 하더라도 심한 복막염이 조절되지 않아 사망가능성이 높은 상황!
하지만 수술을 하지 않으면 수일 내 사망하실게 분명하였다.
고령의 환자로 상태 설명과 추후 치료방법을 논의하기 위해 보호자를 찾았다.
환자를 병원에 모시고 온 보호자는 며느리분이셨다.
남편과 사별한 이후에도 시어머니를 모시고 사셨다고 한다.
본인이 모든 것을 결정하겠다고 하셨다.
하지만, 임종이 예상되는 환자의 입원과 치료에 법적 책임을 지는 사람들은 다름 아닌 혈족.. 바로 직계 존속들이다.
환자분에게는 사망한 아들을 제외한 3명의 따님이 있었고
며느리분께 연락처를 받아 차례대로 연락을 드려보았다.
하지만.. 각자의 이유를 대며, 본인은 결정할 수 없다고 하며
서로에게 환자분의 치료 결정을 미룰 뿐이었다.
세 따님 모두 병원에 내원하길 꺼려하였다.
오랜 시간 거듭 설득하여 자녀들이 내원하였다.
환자분 본인도, 내원한 자녀들도 수술을 원하지 않았다.
악화가 예상되는 상황에서 악화시에라도 연명치료는 하지 않기로 DNR(Do not resuscitation) 동의서를 작성하고 환자분은 수술 없이 입원을 하게 되었다.
그 과정중 우는 사람은 며느리뿐이었다.
'넋두리 > 응급실&중환자실 이야기' 카테고리의 다른 글
| 논문 리뷰 - 응고 장애 교정으로 인해 늦어진 시술이 사망률을 높일 수 있다. (0) | 2025.09.08 |
|---|---|
| 응급실 의사 번아웃의 원인: 멀티태스킹(multitasking) (0) | 2025.08.20 |
| 죽음에 이를 때 나타나는 변화들.. (임종기 과정) (5) | 2025.08.11 |
| 응급실 괴담 - 피가래에 봉변을 당하다.. (6) | 2025.07.30 |
| 나이든 사람은 추억을 먹고 산다. (2) | 2025.05.27 |